症例詳細
Case detail
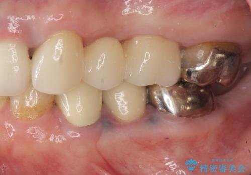
銀歯の見た目を改善、ジルコニア製セラミックブリッジ
治療症例の内容
- 診療科目
- 治療カテゴリ
- 担当医
- 大元洋佑(ドクタープロフィール)
- 患者様
- 50代女性
- 治療期間
- 1ヶ月
- 治療回数
- 2-5回
- 治療計画
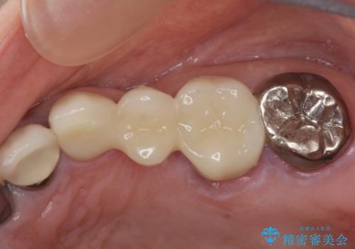
- 長年使用し、見た目の気になってきた金属製のブリッジのやりかえを希望され来院されました。
老朽化した金属製のブリッジを丁寧に除去したのち、金属を用いない審美性の高いセラミック製のブリッジでのやりかえを計画します。
- 費用(概算)
- 39.6万円(ジルコニアクラウン×3・仮歯×3)費用は治療当時の料金となります
治療について
ジルコニア製セラミックブリッジは、審美性にすぐれた補綴方法です。
セラミック治療の注意事項(リスク・副作用など)
- 天然歯を削ります
- 硬い素材は天然歯を傷つけてしまう場合があります
- かみ合わせや歯ぎしりが強すぎる方はセラミックが割れてしまう可能性があります
- 自費診療(保険適用外治療)となります
当サイトの内容、テキスト、画像等の無断転載、複製、複写、盗用を固く禁じます。









