症例詳細
Case detail
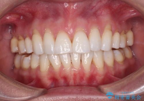
後戻りで突出した口元を引っ込めたい インビザライン矯正治療
治療症例の内容
- 診療科目
- 治療カテゴリ
- 担当医
- 藤巻太一朗(ドクタープロフィール)
- 患者様
- 20代女性
- 矯正装置
- インビザライン
- 治療期間
- 5年3ヶ月
- 治療回数
- 10-30回
- 治療計画
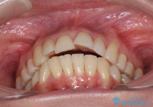
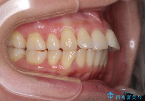
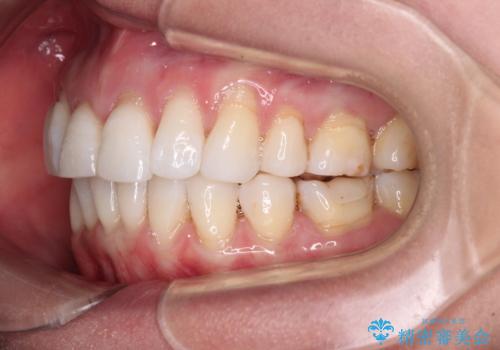
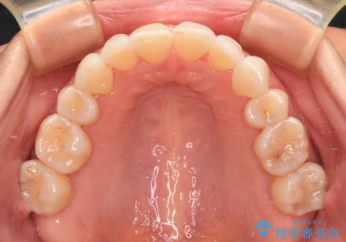
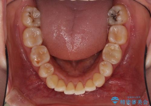
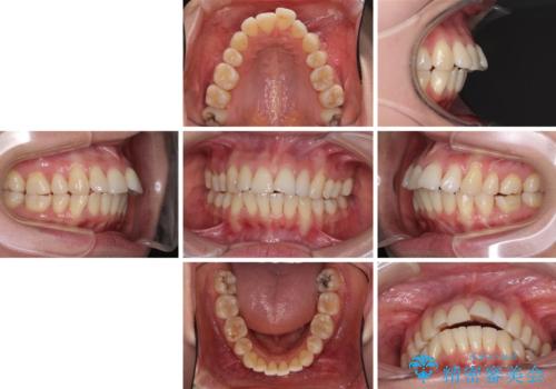
- 上の前歯の出っ歯を治したいとのことで来院された患者様です。
後戻りによる再矯正というもともあり、インビザラインを希望されていました。
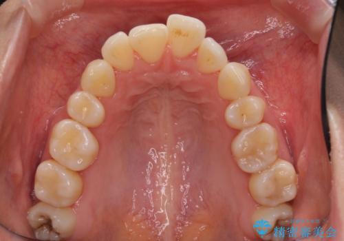
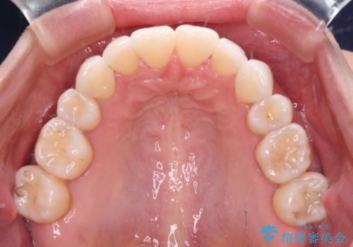
上顎の歯は後方移動とIPR(歯と歯の間を削る)によって口元が引っ込むように、下顎は歯列全体の拡大とIPRによって上顎とバランスよく咬み合うように設計し、インビザラインにより治療を行うこととしました。
- 費用(概算)
- 治療費の目安: 90万円(税込)費用は治療当時の料金となります
治療について
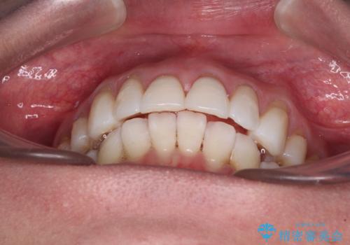
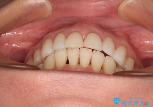
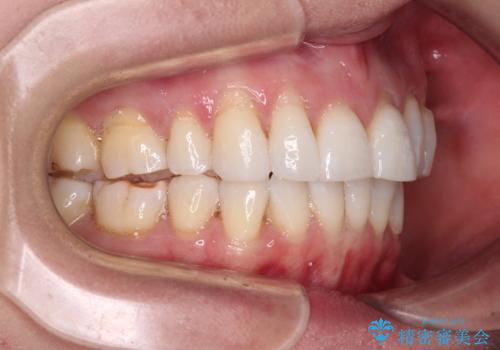
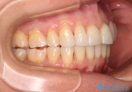
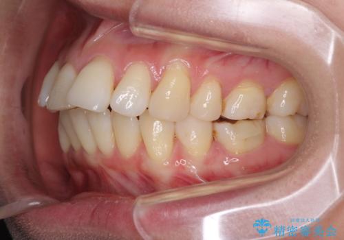
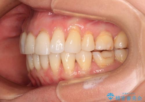
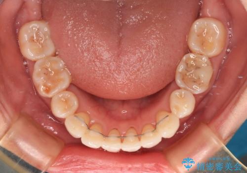
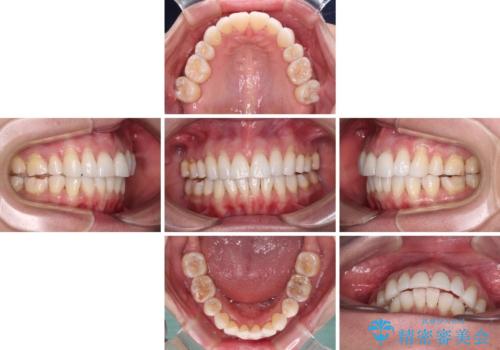
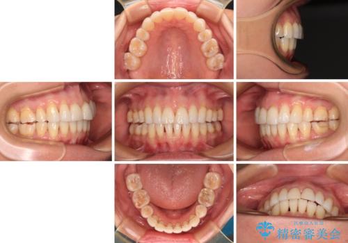
治療を開始して暫くして、勤務先から2年以上帰国することができず、それまでの移動がほとんど後戻りしてしまい、帰国後に再度後戻りをリカバリーするための治療を行うこととなりました。
5年以上の治療期間がかかりましたが、気になっている部分を改善することができました。
マウスピース矯正の注意事項(リスク・副作用など)
- 口腔内・歯並びの状態によっては対応できない場合があります
- マウスピース型矯正装置の長時間装着(1日20時間以上)が必須です
- 治療計画通りに進めるためには、患者様の意志が重要になります
- 矯正治療後の保定が不十分だと後戻り(元の位置に戻ろうとする動き)をします
- 薬機法対象外の矯正歯科装置のため医薬品副作用被害救済制度の対象外となる場合があります
- 自費診療(保険適用外)となります
当サイトの内容、テキスト、画像等の無断転載、複製、複写、盗用を固く禁じます。



























