症例詳細
Case detail
物が詰まりやすく歯茎が腫れる
治療症例の内容
- 診療科目
- 治療カテゴリ
- 担当医
- 町田睦月(ドクタープロフィール)
- 患者様
- 40代女性
- 治療期間
- 1ヶ月
- 治療回数
- 2-5回
- 治療計画
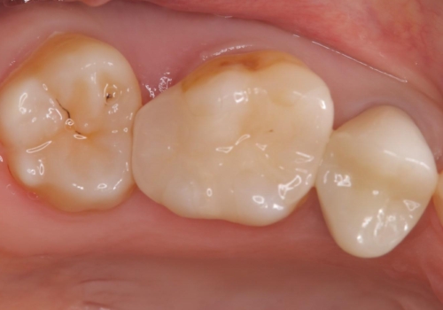
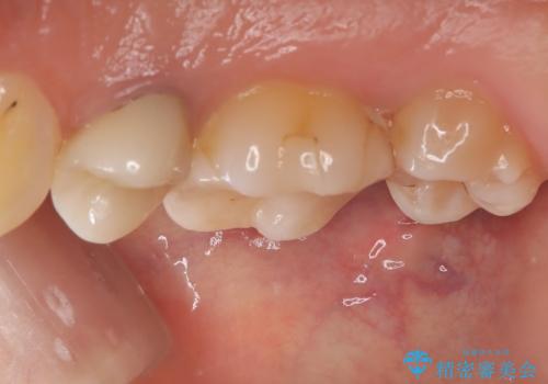
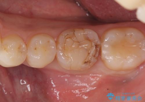
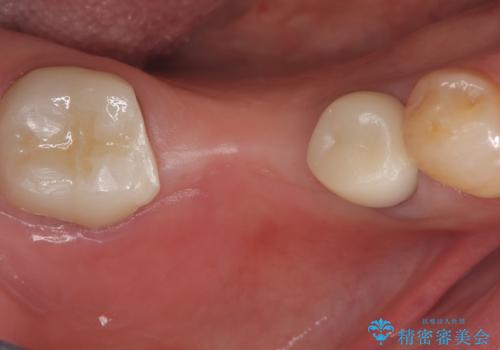
- 元々入っていたセラミックインレーは、6番目と7番目の歯の隙間を無理やり咬合面の近遠心的幅径を伸ばし埋めたような形態で、下部鼓形空隙が広めで食渣が溜まりやすい状態でした。
セラミックインレーを除去したところ、残存歯質が少なく破折のリスクを説明し、オールセラミッククラウン(スタンダード)でのやり替えとなりました。
- 費用(概算)
- 132,000円費用は治療当時の料金となります
治療について
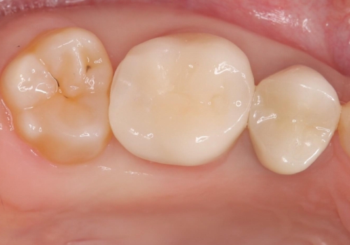
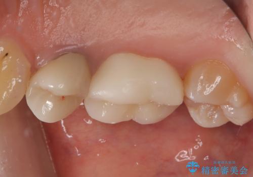
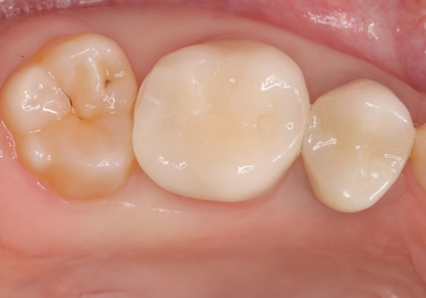
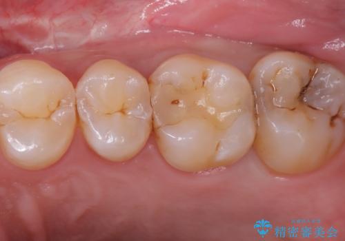
オールセラミッククラウンの膨隆で下部鼓形空隙を適切な大きさに調整しました。
治療費内訳
仮歯:11,000円(税込み)
オールセラミッククラウン(スタンダード):121,000円(税込み)
セラミック治療の注意事項(リスク・副作用など)
- 天然歯を削ります
- 硬い素材は天然歯を傷つけてしまう場合があります
- かみ合わせや歯ぎしりが強すぎる方はセラミックが割れてしまう可能性があります
- 自費診療(保険適用外治療)となります
当サイトの内容、テキスト、画像等の無断転載、複製、複写、盗用を固く禁じます。







