症例詳細
Case detail
【インビザライン】笑ったときに目立つ八重歯をなおしたい
治療症例の内容
- 診療科目
- 治療カテゴリ
- 担当医
- 河口智英(ドクタープロフィール)
- 患者様
- 20代女性
- 治療期間
- 1年6ヶ月
- 治療回数
- 10-30回
- 治療計画
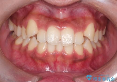
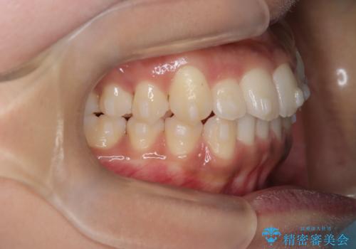
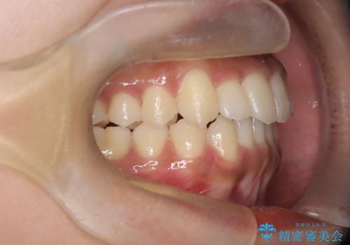
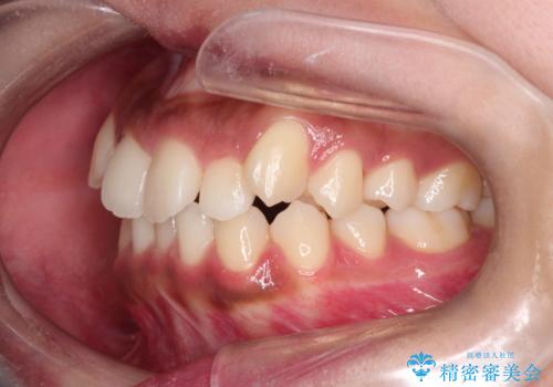
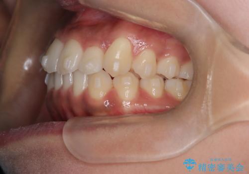
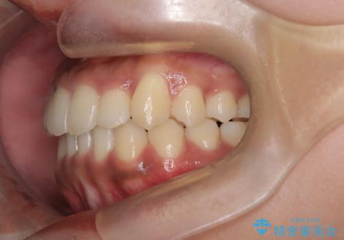
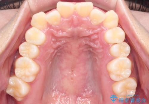
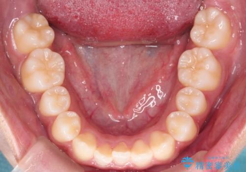
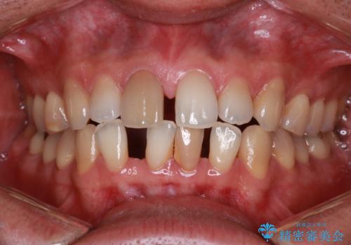
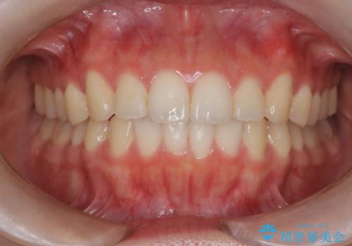
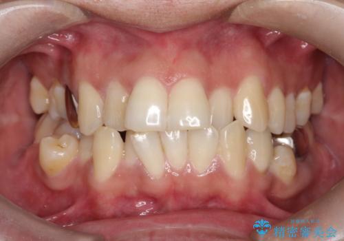
- 笑ったときに八重歯が見えることを主訴に来院されました。
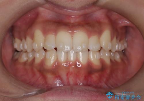
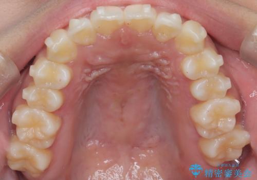
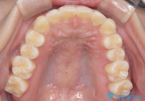
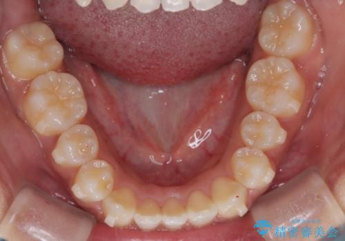
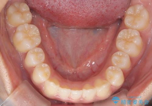
下の前歯が一本足りない患者様でしたので、シミュレーションを作り、事前に患者様と治療ゴールのイメージをしっかり共有したうえでインビザラインを用いて治療を行っています。
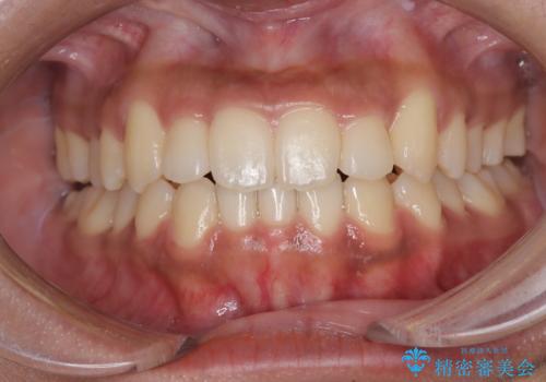
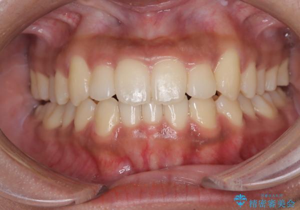
奥歯を後ろのほうに動かすことで、前歯も少し下がることができ、矯正後の口元も満足していただきました。
- 費用(概算)
- 85万円費用は治療当時の料金となります
治療について
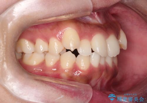
下顎の前歯が一本ない場合は上下の正中は合いません。
マウスピース矯正の注意事項(リスク・副作用など)
- 口腔内・歯並びの状態によっては対応できない場合があります
- マウスピース型矯正装置の長時間装着(1日20時間以上)が必須です
- 治療計画通りに進めるためには、患者様の意志が重要になります
- 矯正治療後の保定が不十分だと後戻り(元の位置に戻ろうとする動き)をします
- 薬機法対象外の矯正歯科装置のため医薬品副作用被害救済制度の対象外となる場合があります
- 自費診療(保険適用外)となります
当サイトの内容、テキスト、画像等の無断転載、複製、複写、盗用を固く禁じます。















