症例詳細
Case detail
【再矯正】後戻りによるガタつきをマウスピースで改善!
治療症例の内容
- 診療科目
- 担当医
- 今村大二郎(ドクタープロフィール)
- 患者様
- 20代 女性
- 矯正装置
- マウスピース(インビザライン)
- 治療期間
- 1年6ヶ月
- 治療回数
- 10-30回
- 治療計画
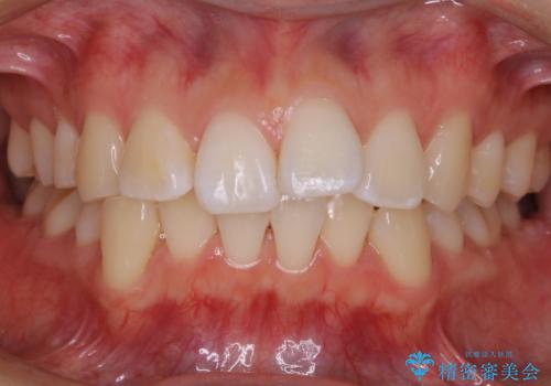
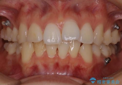
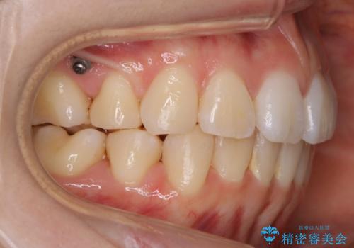
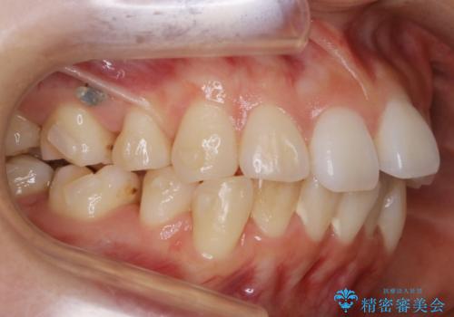
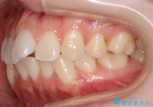
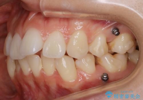
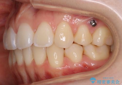
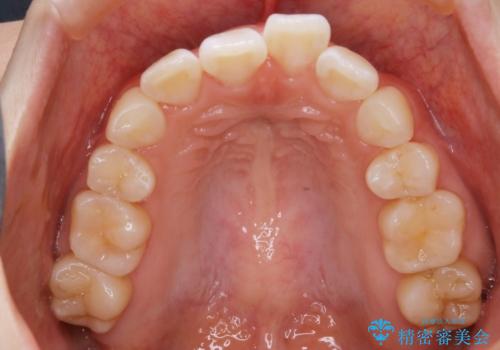
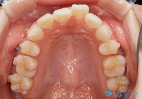
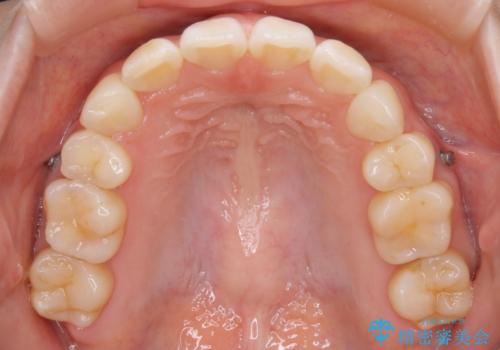
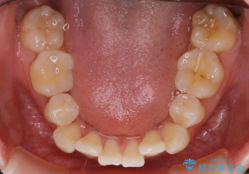
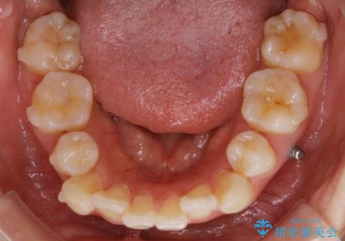
- 以前、中学生から高校生にかけてワイヤー装置による抜歯矯正を経験されている患者さんで、大人になってからのライフスタイルの変化でリテーナーを継続使用することができず、ガタつきが目立つようになってきてしまったのでもう一度矯正治療がしたいという主訴でご来院されました。
既に上下左右の4番目の歯が抜歯されているため、今回の治療では抜歯をせず歯の移動だけでガタつきを治す必要があり難易度が高くなっていました。
- 費用(概算)
- 税込 ¥968,000- (インビザライン コンプリヘンシブパッケージ + マイクロインプラント費用)費用は治療当時の料金となります
再治療
小学生~高校生の頃に一度矯正治療を経験している方も、その後の生活の変化の中でリテーナー(後戻り防止装置)の継続使用が困難となり、時間の経過とともにガタつきが再発現してしまうケースが多くあります。
最初の治療の時点で抜歯をしている場合や、ガタつきの度合いによっては再治療といえど初回の矯正治療と同じくらいの期間を要する場合もあります。
マウスピース矯正の注意事項(リスク・副作用など)
- 口腔内・歯並びの状態によっては対応できない場合があります
- マウスピース型矯正装置の長時間装着(1日20時間以上)が必須です
- 治療計画通りに進めるためには、患者様の意志が重要になります
- 矯正治療後の保定が不十分だと後戻り(元の位置に戻ろうとする動き)をします
- 薬機法対象外の矯正歯科装置のため医薬品副作用被害救済制度の対象外となる場合があります
- 自費診療(保険適用外)となります
当サイトの内容、テキスト、画像等の無断転載、複製、複写、盗用を固く禁じます。
















