症例詳細
Case detail
前歯をきれいな被せ物にしたい。
治療症例の内容
- 診療科目
- 治療カテゴリ
- 担当医
- 青山卓弘(ドクタープロフィール)
- 患者様
- 30代女性
- 治療期間
- 1ヶ月
- 治療回数
- 2-5回
- 治療計画
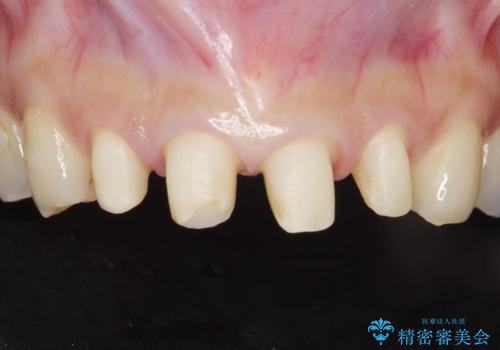
- 前歯の形が気に入らなく、粗造な感じがして色も気に入らないとの事で来院。
ホワイトニングは以前行っていてもうやりたくないとの事でした。
虫歯になっている歯はないので、患者様としっかり相談をして被せ物治療をする事に致しました。
- 費用(概算)
- フルジルコニアクラウン・仮歯 9.9万円×4費用は治療当時の料金となります
治療について
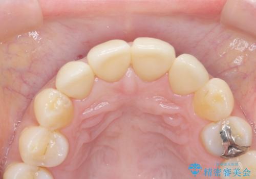
適合の良い被せ物が入りました。
樹脂の素材とは違い、セラミックやジルコニアの素材の被せ物は劣化をしません。また、虫歯の再発リスクも低くなります。
形、色、共に満足して頂けました。
その他の注意事項(リスク・副作用など)
- 担当歯科医師、歯科衛生士又は医院スタッフから受けた説明・注意事項をよくご確認ください
- 医療を提供するに当たり、適切な説明を行い、患者様の十分な理解を得るよう努めております
セラミック治療の注意事項(リスク・副作用など)
- 天然歯を削ります
- 硬い素材は天然歯を傷つけてしまう場合があります
- かみ合わせや歯ぎしりが強すぎる方はセラミックが割れてしまう可能性があります
- 自費診療(保険適用外治療)となります
当サイトの内容、テキスト、画像等の無断転載、複製、複写、盗用を固く禁じます。











