症例詳細
Case detail
目立つ銀歯を白くしたい ジルコニアクラウンでの修復
治療症例の内容
- 診療科目
- 治療カテゴリ
- 担当医
- 岡田康成(ドクタープロフィール)
- 患者様
- 30代男性
- 治療期間
- 1ヶ月
- 治療回数
- 2-5回
- 治療計画
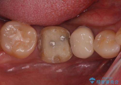
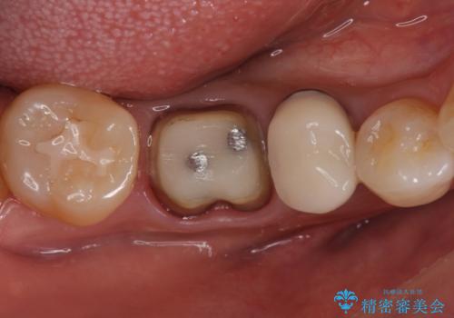
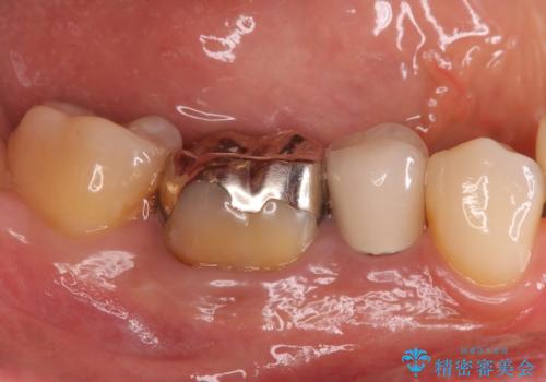
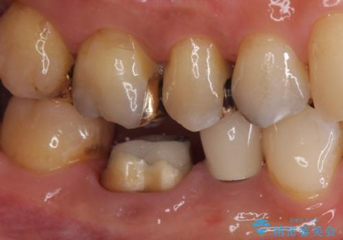
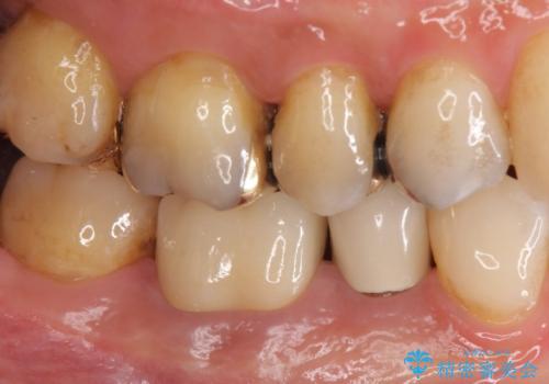
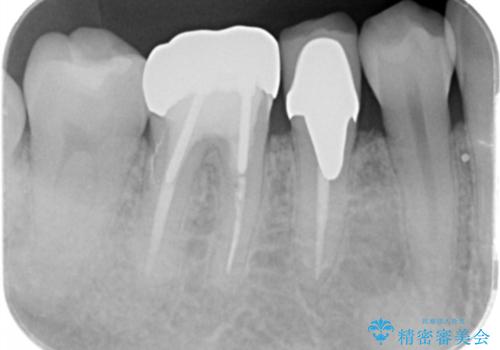
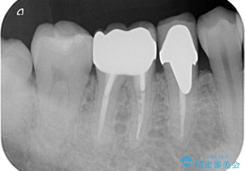
- 口を開けたときに下の歯の銀歯が目立つから白くしたいとのことで来院されました。
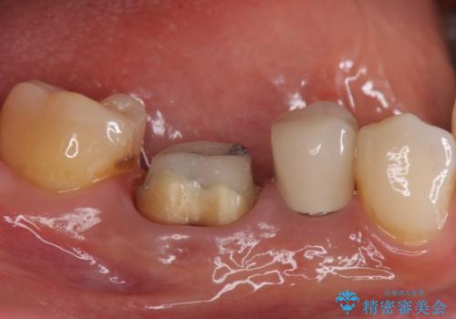
根管治療はご希望されなかったため、被せ物のみをやり替えていきます。
- 費用(概算)
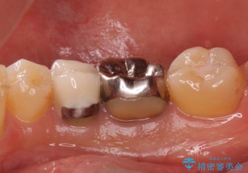
- 右下6 仮歯+ジルコニアクラウン 11,000円+121,000円費用は治療当時の料金となります
治療について
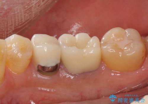
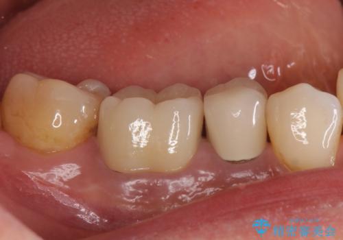
気になっていた銀歯を自然な色に変えることができ、大変喜んでいただけました。
セラミック治療の注意事項(リスク・副作用など)
- 天然歯を削ります
- 硬い素材は天然歯を傷つけてしまう場合があります
- かみ合わせや歯ぎしりが強すぎる方はセラミックが割れてしまう可能性があります
- 自費診療(保険適用外治療)となります
当サイトの内容、テキスト、画像等の無断転載、複製、複写、盗用を固く禁じます。















