症例詳細
Case detail
銀歯をなくしたい ジルコニアクラウンでの修復
治療症例の内容
- 診療科目
- 治療カテゴリ
- 担当医
- 岡田康成(ドクタープロフィール)
- 患者様
- 20代男性
- 治療期間
- 1ヶ月
- 治療回数
- 2-5回
- 治療計画
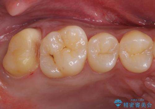
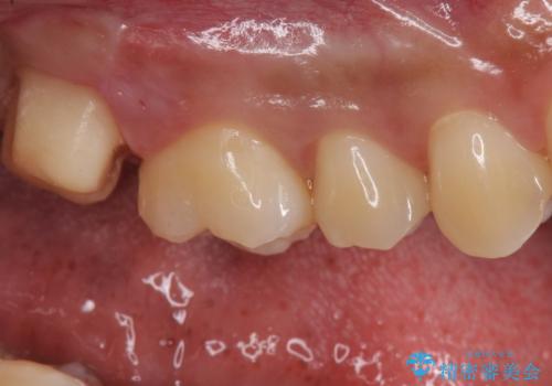
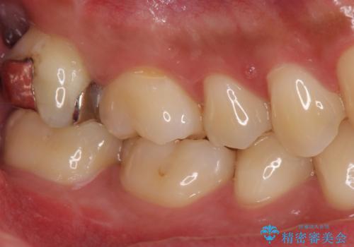
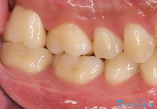
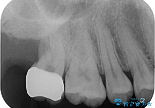
- 銀歯を白くしたいとのことで来院されました。
歯を覆っている銀の詰め物の面積が広く、セラミックで同じ形態にすると強度に不安が残るため被せ物での修復処置を行っていきます。
- 費用(概算)
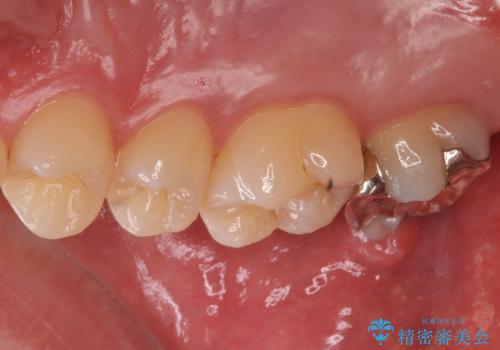
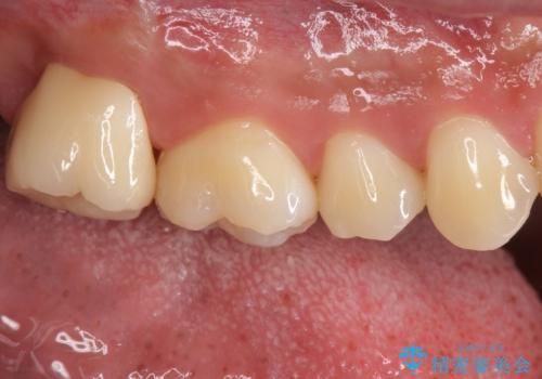
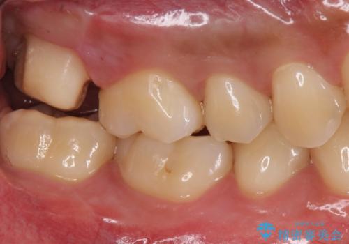
- 右上7 仮歯+ジルコニアクラウン:11,000円+121,000円費用は治療当時の料金となります
治療について
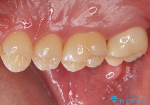
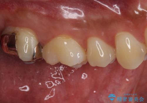
ブラッシングが上手な患者様であったため歯茎の締りもよく、大変適合の良い被せ物を装着することができました。
セラミック治療の注意事項(リスク・副作用など)
- 天然歯を削ります
- 硬い素材は天然歯を傷つけてしまう場合があります
- かみ合わせや歯ぎしりが強すぎる方はセラミックが割れてしまう可能性があります
- 自費診療(保険適用外治療)となります
当サイトの内容、テキスト、画像等の無断転載、複製、複写、盗用を固く禁じます。














