症例詳細
Case detail
産後の虫歯治療 セラミッククラウンでの治療
治療症例の内容
- 診療科目
- 治療カテゴリ
- 担当医
- 岡田康成(ドクタープロフィール)
- 患者様
- 30代女性
- 治療期間
- 1ヶ月
- 治療回数
- 2-5回
- 治療計画
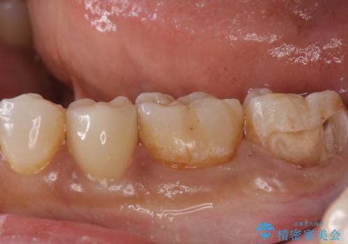
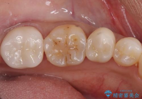
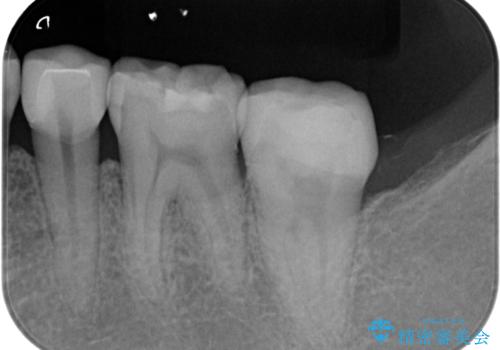
- 出産して落ち着いたから虫歯のチェックをしてほしいとのことで来院されました。
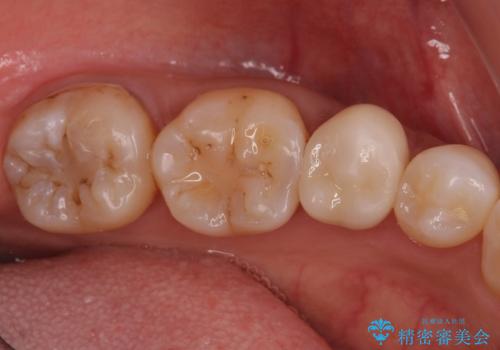
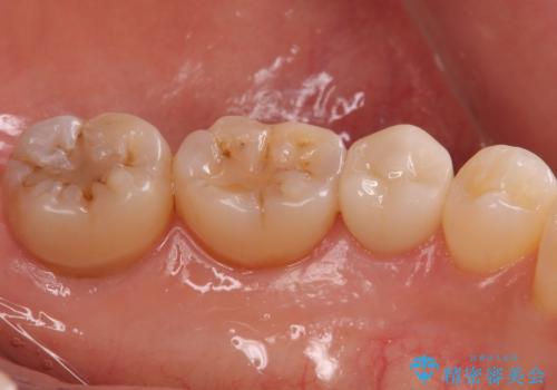
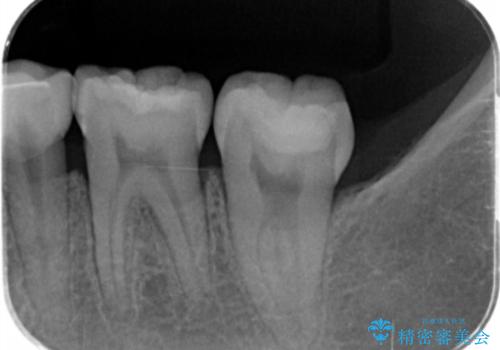
左下の奥歯に詰まっている樹脂の周辺が虫歯になっていたため、治療を進めていくこととなしました。
- 費用(概算)
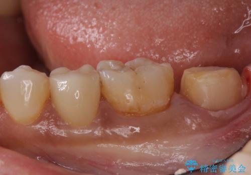
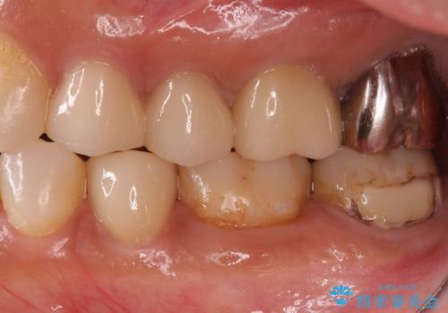
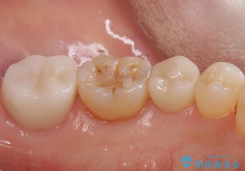
- 左下7 仮歯+e-maxクラウン:11,000円+77,000円費用は治療当時の料金となります
治療について
今回の場合、虫歯の大きさが大きく本来であれば歯茎に対しても治療をすることが検討されケースですが、ご希望されなかったため被せ物のみでの治療となりました。
出産前後では口腔内環境が変わることが多々あります。
是非落ち着いたタイミングで検査を受けることをお勧めします。
セラミック治療の注意事項(リスク・副作用など)
- 天然歯を削ります
- 硬い素材は天然歯を傷つけてしまう場合があります
- かみ合わせや歯ぎしりが強すぎる方はセラミックが割れてしまう可能性があります
- 自費診療(保険適用外治療)となります
当サイトの内容、テキスト、画像等の無断転載、複製、複写、盗用を固く禁じます。

















