症例詳細
Case detail
前歯を綺麗にしたい。 ジルコニアクラウンでの修復
治療症例の内容
- 診療科目
- 治療カテゴリ
- 担当医
- 岡田康成(ドクタープロフィール)
- 患者様
- 30代女性
- 治療期間
- 1ヶ月
- 治療回数
- 2-5回
- 治療計画
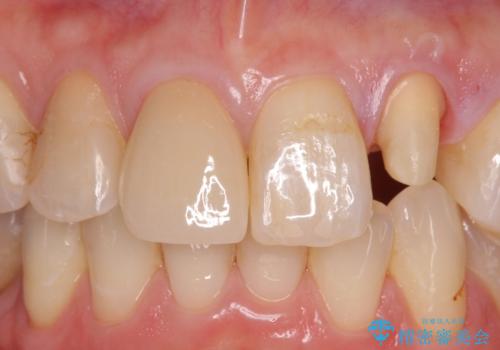
- 継ぎ接ぎになった前歯を綺麗にしたいとのことで来院されました。
継ぎ目のないクラウンで修復処置していきます。
- 費用(概算)
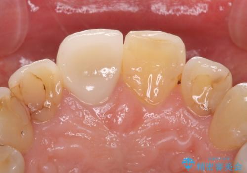
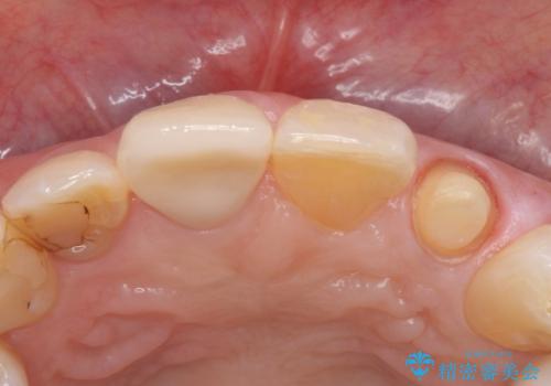
- 左上2 仮歯+ジルコニアクラウン:11,000円+121,000円費用は治療当時の料金となります
治療について
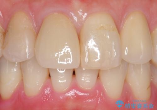
精度の良い被せ物を装着することで、違和感のない自然な見た目を獲得することができます。
セラミック治療の注意事項(リスク・副作用など)
- 天然歯を削ります
- 硬い素材は天然歯を傷つけてしまう場合があります
- かみ合わせや歯ぎしりが強すぎる方はセラミックが割れてしまう可能性があります
- 自費診療(保険適用外治療)となります
当サイトの内容、テキスト、画像等の無断転載、複製、複写、盗用を固く禁じます。









