症例詳細
Case detail
【非抜歯】歯を抜かなくても短期間でキレイな歯並びに
治療症例の内容
- 診療科目
- 治療カテゴリ
- 担当医
- 今村大二郎(ドクタープロフィール)
- 患者様
- 30代 女性
- 矯正装置
- マウスピース(インビザライン)
- 治療期間
- 1年6ヶ月
- 治療回数
- 10-30回
- 治療計画
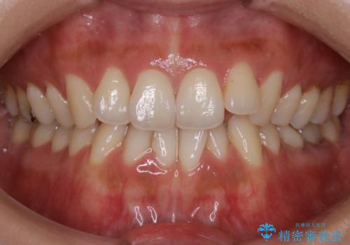
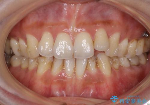
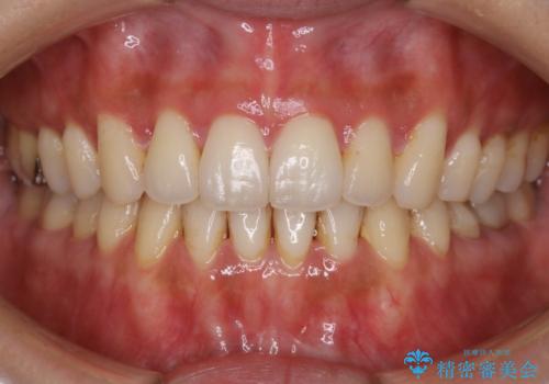
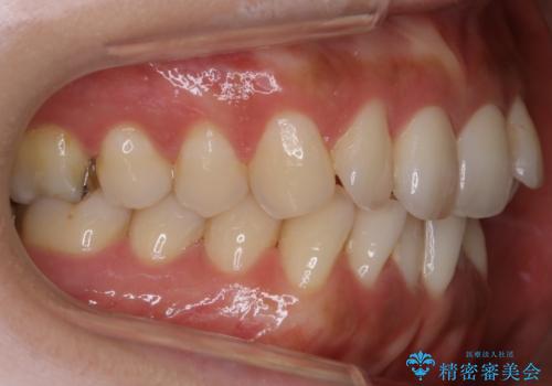
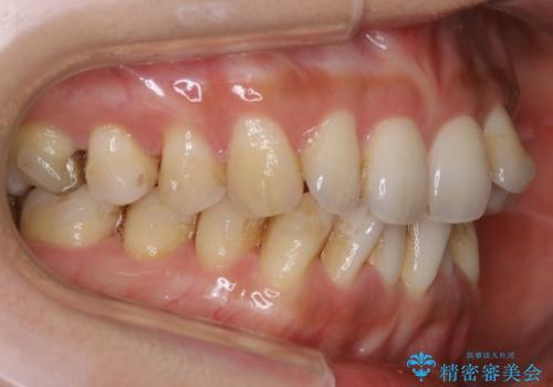
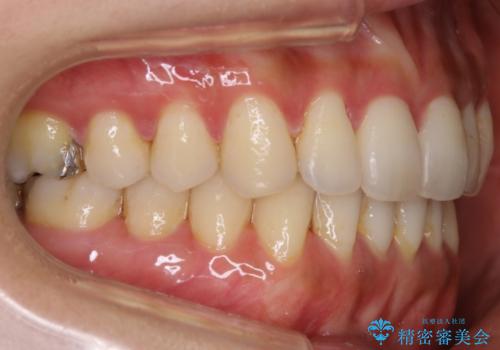
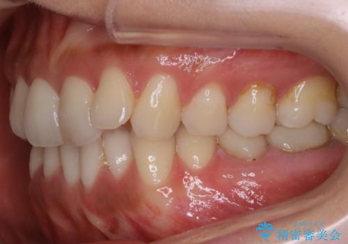
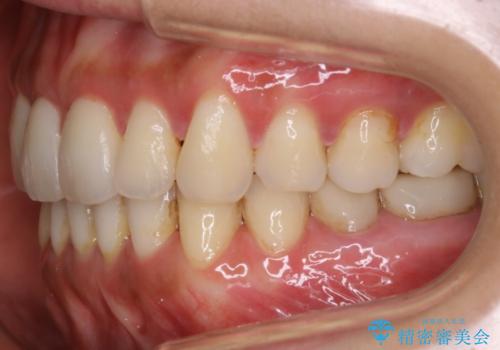
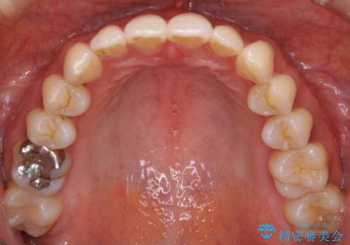
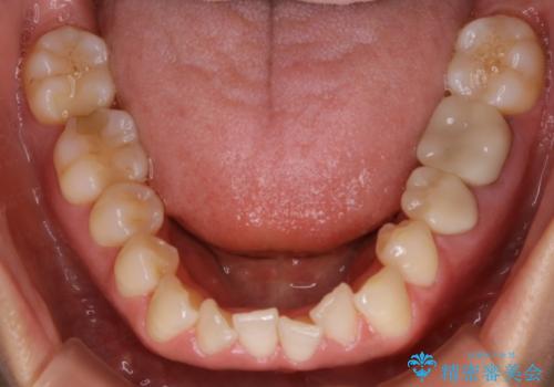
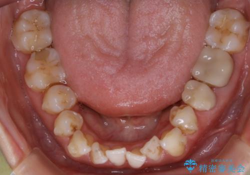
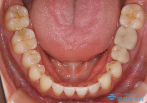
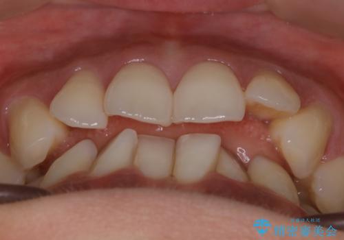
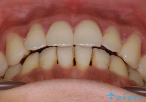
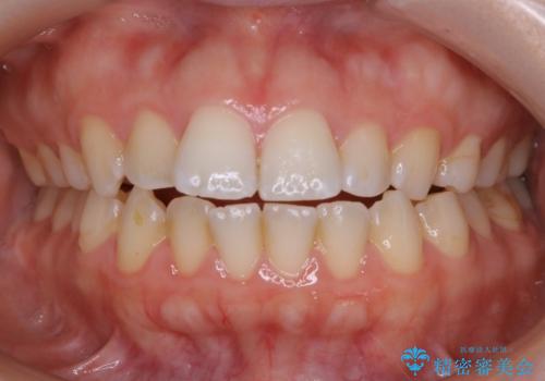
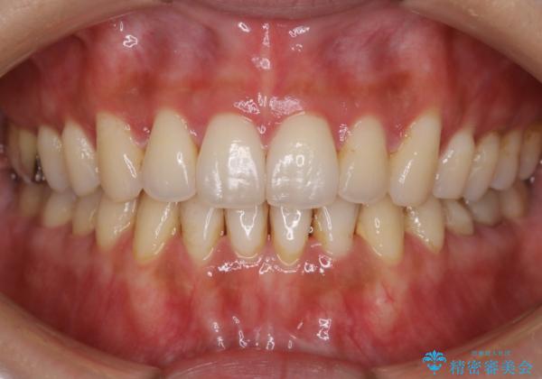
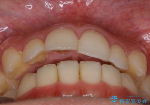
- 歯のガタつきによる見栄えや清掃困難を主訴にご来院されました。
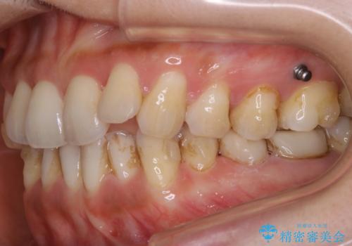
左側の噛み合わせは上の歯が前方に寄ってきてしまっていることが原因のズレがありました。
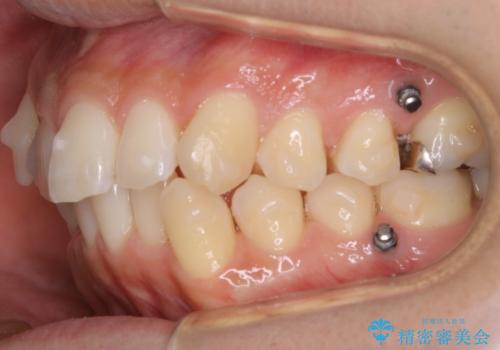
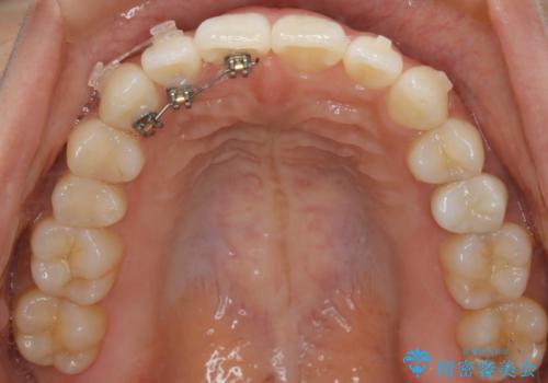
ガタつき自体は歯列の幅の拡大やディスキング(IPR)でほとんど解消可能でしたが、噛み合わせのズレは歯の移動が必要だったため、左上にマイクロインプラントを使用し噛み合わせの改善とガタつきの解消を同時に進めるという方針をとりました。
- 費用(概算)
- 税込 ¥902,000- (インビザライン コンプリヘンシブパッケージ + マイクロインプラント)費用は治療当時の料金となります
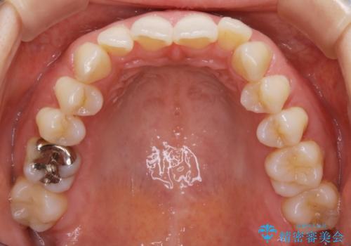
歯列弓の拡大
歯並びが悪くなる原因の一つに「歯列弓の狭窄」というものがあります。
奥歯や前歯が内側(舌側)に倒れ込んでしまったり、歯が生えてくる位置が内側になってしまうことにより歯並びのアーチが狭くなってしまうことを言います。
このような場合、歯並びのアーチを拡大してあげるだけでもガタつきを無くすためのスペースがかなり作れることがあります。
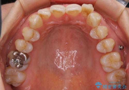
ディスキング(IPR)
歯のガタつきをとるためのスペース作りの方法の一つにディスキング(IPR)という方法があります。
歯と歯の間を一ケ所あたり最大0.5mmまでの範囲内で削ることで歯自体が少し小さくなり、それにより作られるスペースを数ヶ所分合わせることで合計で数mmの大きなスペースが作れるという方法です。
当院ではなるべく歯の機能や見た目に影響の出ないよう、作業時に拡大鏡の使用や削るタイミングの微調整を行っています。
マウスピース矯正の注意事項(リスク・副作用など)
- 口腔内・歯並びの状態によっては対応できない場合があります
- マウスピース型矯正装置の長時間装着(1日20時間以上)が必須です
- 治療計画通りに進めるためには、患者様の意志が重要になります
- 矯正治療後の保定が不十分だと後戻り(元の位置に戻ろうとする動き)をします
- 薬機法対象外の矯正歯科装置のため医薬品副作用被害救済制度の対象外となる場合があります
- 自費診療(保険適用外)となります
当サイトの内容、テキスト、画像等の無断転載、複製、複写、盗用を固く禁じます。





















