症例詳細
Case detail
【非抜歯】結婚式に向けて矯正で素敵な笑顔を!
治療症例の内容
- 担当医
- 今村大二郎(ドクタープロフィール)
- 患者様
- 20代 女性
- 矯正装置
- マウスピース(インビザライン)
- 治療期間
- 1年10ヶ月
- 治療回数
- 10-30回
- 治療計画
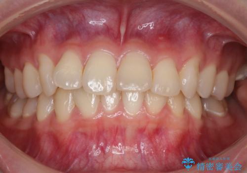
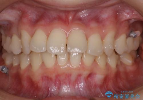
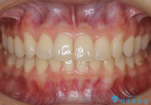
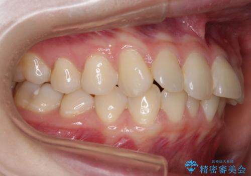
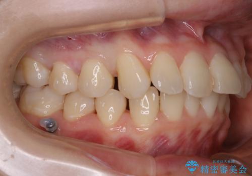
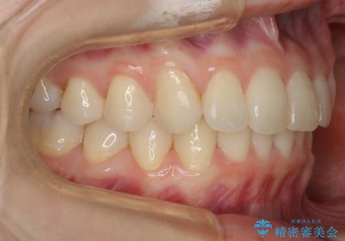
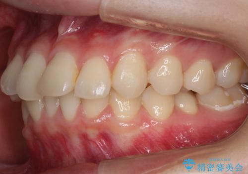
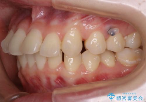
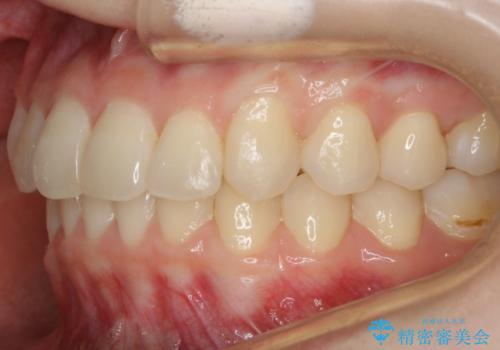
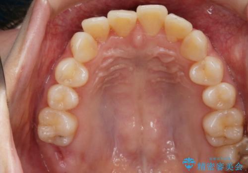
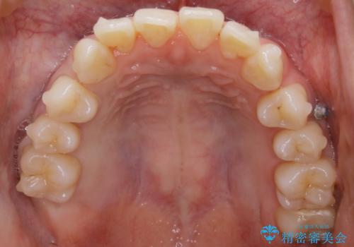
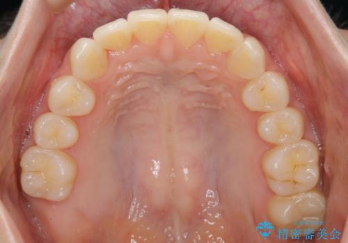
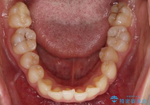
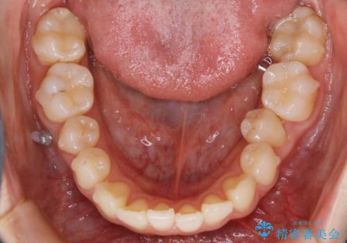
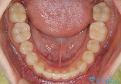
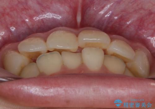
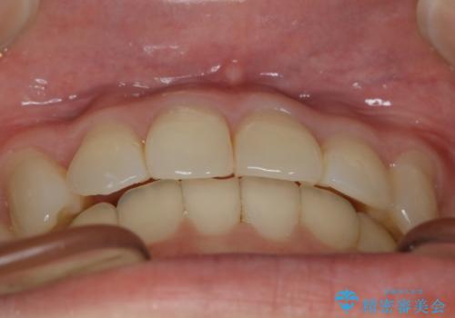
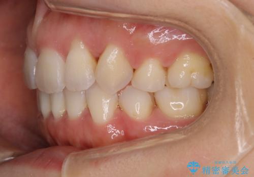
- 笑った時の歯の見え方を治したいとのことで矯正相談にいらっしゃいました。
一見そこまで大きなガタつきはないようにも見えますが、前歯の角度の不揃いや噛み合わせのズレなどから見え方に影響が出てしまっていました。
抜歯は全く必要のないレベルのガタつきだったため、マイクロインプラントを用いて歯全体を後方に移動させていくことできれいな歯並びを獲得することができました。
- 費用(概算)
- 税込 ¥880,000- (インビザライン コンプリヘンシブパッケージ + マイクロインプラント)費用は治療当時の料金となります
※顔写真掲載にあたり、患者様の了解を得ております
非抜歯矯正
マウスピースとマイクロインプラントを組み合わせることで、抜歯をしなくても歯並びを治すためのスペースを作ることができます。奥歯から順に移動させていくので前歯に変化が出るまでには時間がかかりますが、どの分健康な歯を抜歯することなく理想的な歯並びを手に入れることができます。
結婚式に向けての矯正治療
結婚式に向けて、矯正治療をご希望される患者さんは数多くいらっしゃいます。
矯正治療を行う上で、抜歯・非抜歯の判断や矯正装置の選択などが治療期間や過程に影響を与えます。
ガタつきが大きかったり歯の移動距離が大きいケースなどは、式の直前に矯正を開始しても当日までに満足のいく効果が得られない可能性もあります。
結婚式など、時期・期限が限定される場合はなるべく早くにご相談に行かれることをお勧めいたします。
マウスピース矯正の注意事項(リスク・副作用など)
- 口腔内・歯並びの状態によっては対応できない場合があります
- マウスピース型矯正装置の長時間装着(1日20時間以上)が必須です
- 治療計画通りに進めるためには、患者様の意志が重要になります
- 矯正治療後の保定が不十分だと後戻り(元の位置に戻ろうとする動き)をします
- 薬機法対象外の矯正歯科装置のため医薬品副作用被害救済制度の対象外となる場合があります
- 自費診療(保険適用外)となります
当サイトの内容、テキスト、画像等の無断転載、複製、複写、盗用を固く禁じます。





















