症例詳細
Case detail
【モニター】前歯のデコボコをインビザラインで改善
治療症例の内容
- 診療科目
- 治療カテゴリ
- 担当医
- 藤巻太一朗(ドクタープロフィール)
- 患者様
- 30代女性
- 矯正装置
- インビザライン
- 治療期間
- 2年1ヶ月
- 治療回数
- 10-30回
- 治療計画
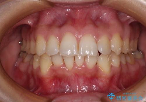
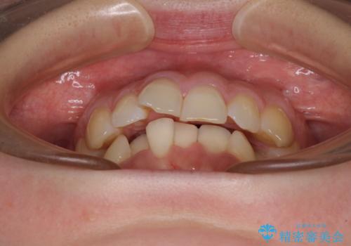
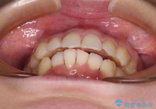
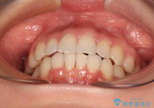
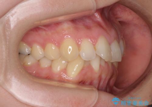
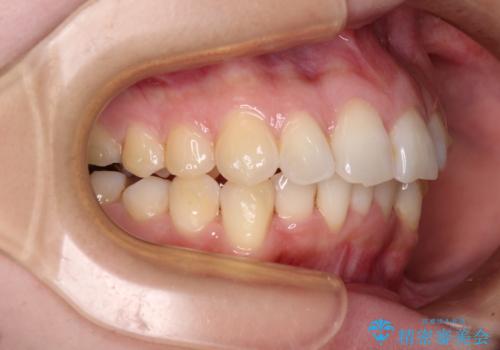
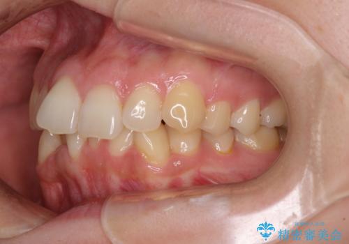
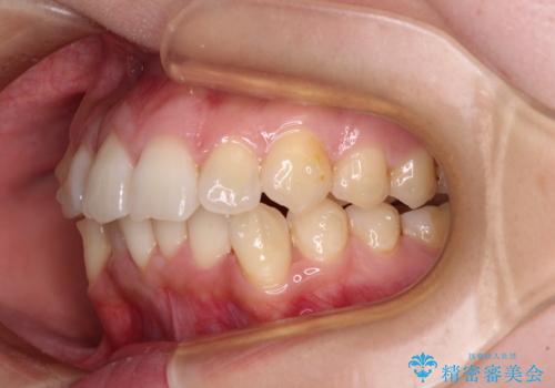
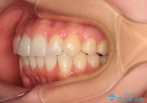
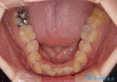
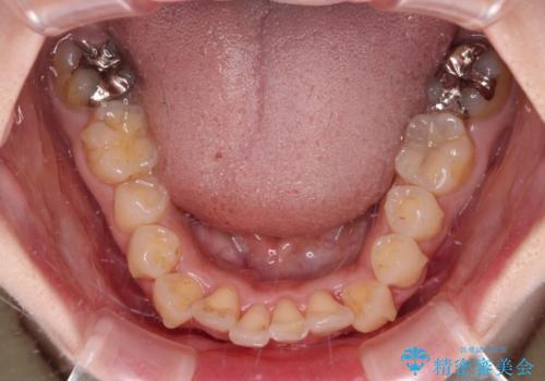
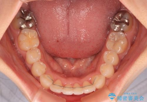
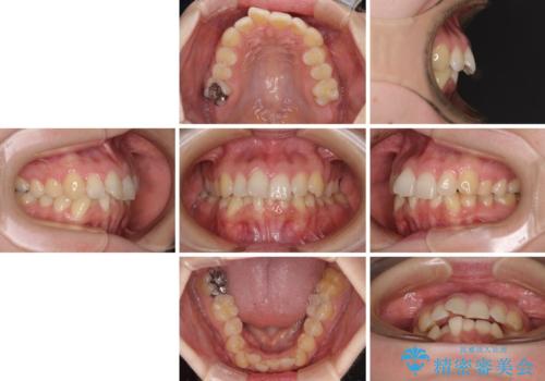
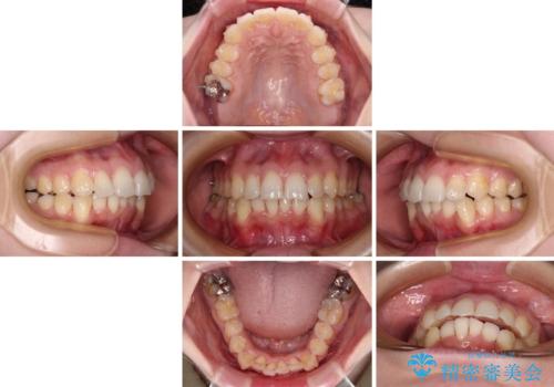
- 前歯のデコボコで前方に出ていることを気にして来院された患者様です。
上顎前歯が捻れて前方に飛び出しており、下顎前歯もそれに沿うようにデコボコとなっていました。
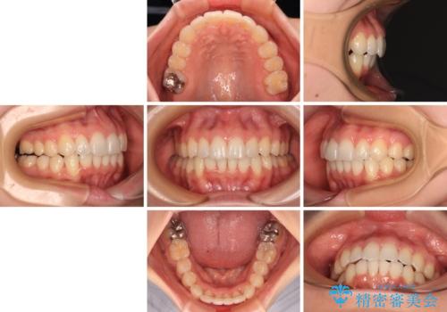
IPR(歯と歯の間を削る処置)によりスペースを獲得して上下顎前歯のデコボコを改善し、飛び出している前歯が引っ込むように設定し、インビザラインにて矯正治療を行うこととしました。
- 費用(概算)
- 治療費の目安: 72万円(税込)費用は治療当時の料金となります
治療について
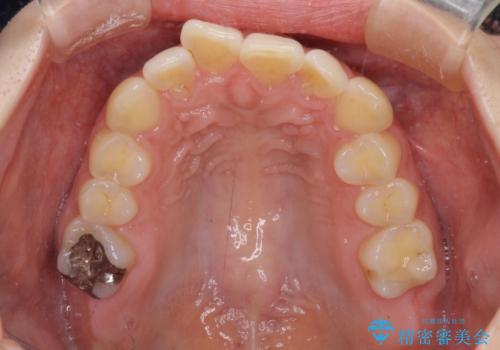
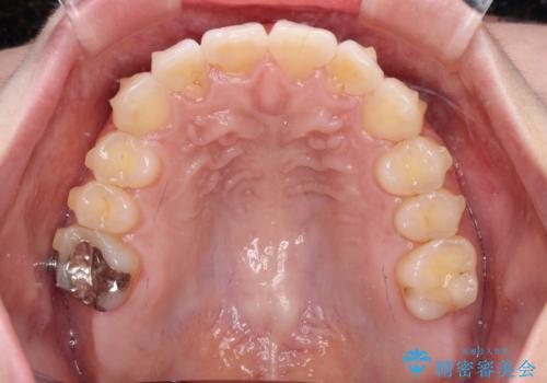
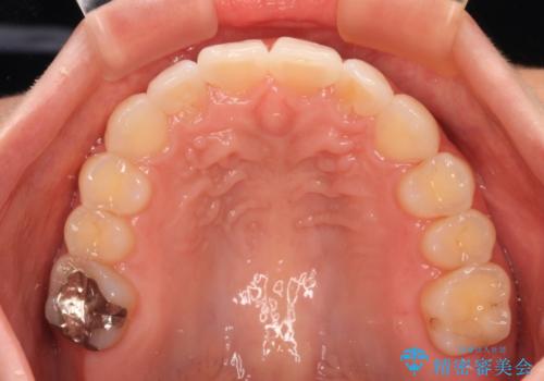
左右ともに、上顎第二大臼歯が欠損しており、下顎の第二大臼歯が十分に咬み合う歯がない状態のため、放置しておくと下顎の奥歯が挺出してくる可能性があります。
安定した咬み合わせを維持するためにも、将来的に上左右にインプラント補綴が必要となります。
マウスピース矯正の注意事項(リスク・副作用など)
- 口腔内・歯並びの状態によっては対応できない場合があります
- マウスピース型矯正装置の長時間装着(1日20時間以上)が必須です
- 治療計画通りに進めるためには、患者様の意志が重要になります
- 矯正治療後の保定が不十分だと後戻り(元の位置に戻ろうとする動き)をします
- 薬機法対象外の矯正歯科装置のため医薬品副作用被害救済制度の対象外となる場合があります
- 自費診療(保険適用外)となります
当サイトの内容、テキスト、画像等の無断転載、複製、複写、盗用を固く禁じます。



























