症例詳細
Case detail
【モニター】後戻りで飛び出してきた前歯 ワイヤー装置での再矯正
治療症例の内容
- 診療科目
- 治療カテゴリ
- 担当医
- 藤巻太一朗(ドクタープロフィール)
- 患者様
- 30代男性
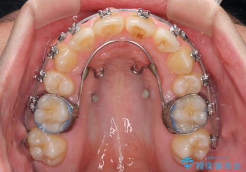
- 矯正装置
- メタルブラケット
- 治療期間
- 1年2ヶ月
- 治療回数
- 10-30回
- 治療計画
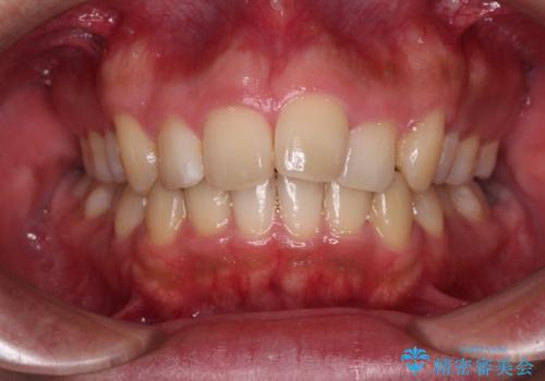
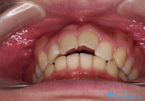
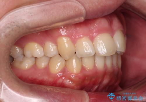
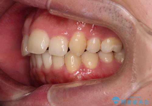
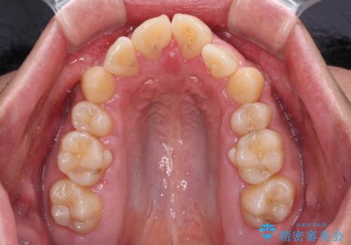
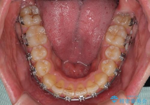
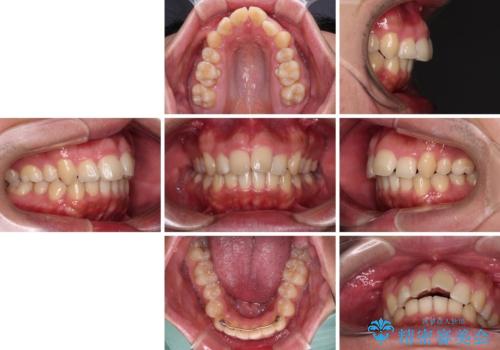
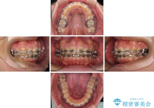
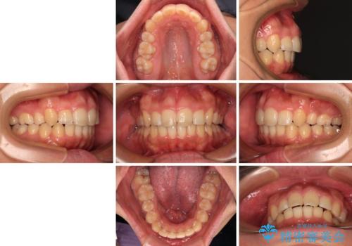
- 学生時代に抜歯矯正した歯列が後戻りしてきたとのことで来院された患者様です。
舌の突出癖が原因で上顎前歯が前方に移動したと考えられたため、舌のトレーニングを徹底して行っていただきながら、後戻りを解消していくこととしました。
マウスピース矯正でもワイヤー矯正でも対応可能でしたが、患者様の希望によりワイヤー装置による矯正治療を行うこととしました。
ワイヤー矯正ということで、上顎大臼歯を後方に移動するための補助装置を併用して、積極的に前歯を引っ込めていくこととしました。
- 費用(概算)
- 治療費の目安: 77万円(税込)費用は治療当時の料金となります
※顔写真掲載にあたり、患者様の了解を得ております
治療について
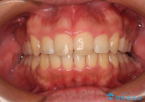
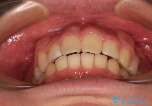
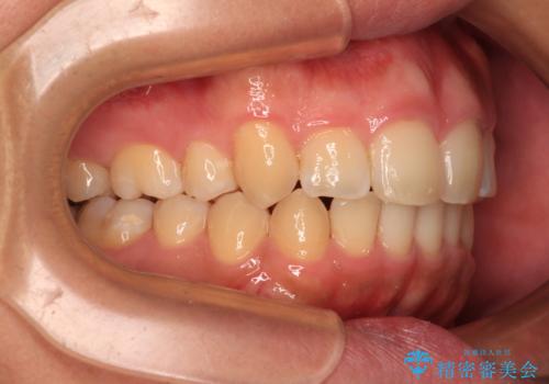
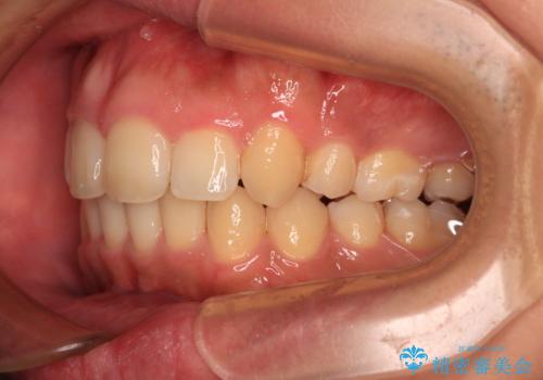
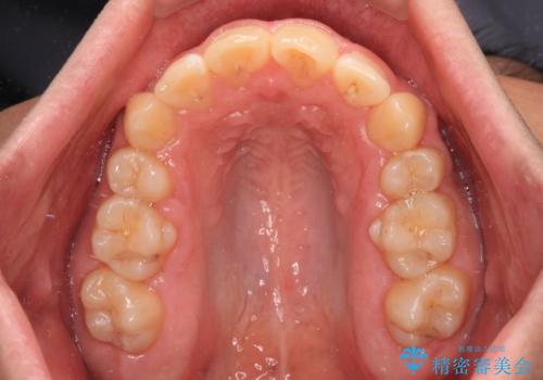
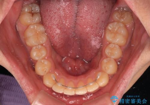
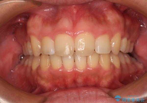
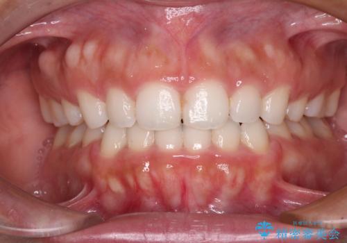
上顎歯列全体がスムーズに後方移動でき、1年で治療を終えることができました。
ワイヤー矯正の注意事項(リスク・副作用など)
- 治療中は違和感や痛みが起こることがあります
- 症状により、抜歯が必要な場合があります
- 治療中は歯磨きがしにくくなるため、虫歯や歯周病になりやすくなります
- 矯正治療後の保定が不十分だと後戻り(元の位置に戻ろうとする動き)をします
- 自費診療(保険適用外)となります
当サイトの内容、テキスト、画像等の無断転載、複製、複写、盗用を固く禁じます。


























