症例詳細
Case detail
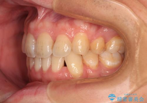
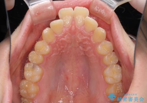
出っ歯と八重歯 目立たない裏側装置でスッキリとした口元に
治療症例の内容
- 担当医
- 藤巻太一朗(ドクタープロフィール)
- 患者様
- 20代男性
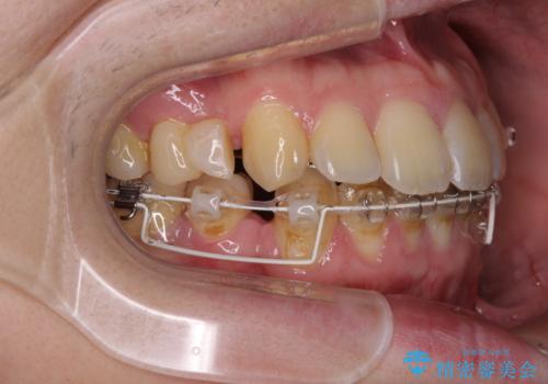
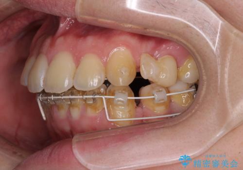
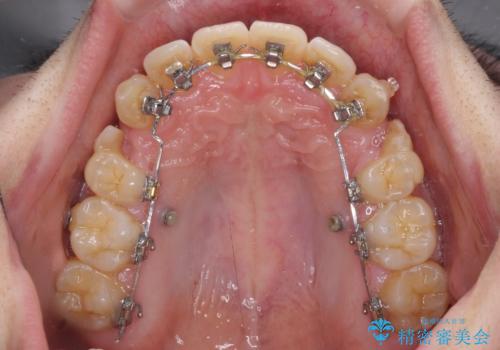
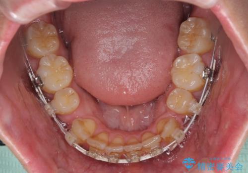
- 矯正装置
- ハーフリンガル
- 治療期間
- 4年5ヶ月
- 治療回数
- 10-30回
- 治療計画
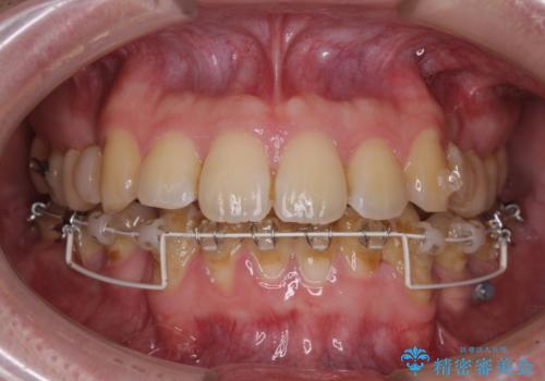
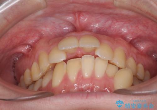
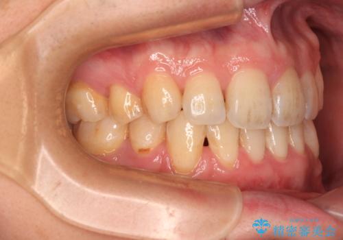
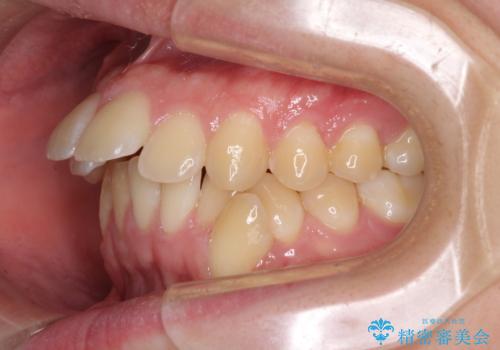
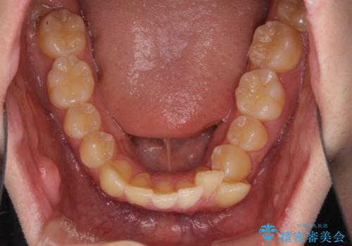
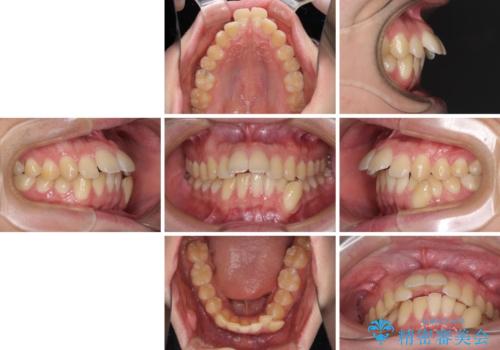
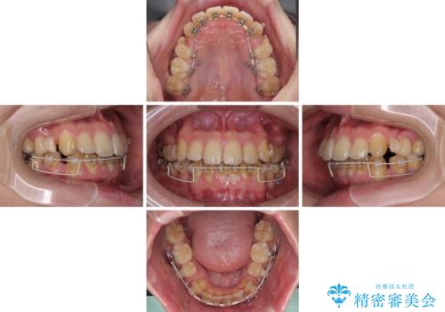
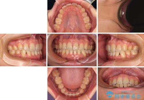
- 上顎の前突感による口の閉じにくさと八重歯を気にして来院された患者様です。
目立たない装置を希望されたので、上顎が裏側装置のハーフリンガルを選択し、上下左右の小臼歯(計4歯)を抜歯して矯正治療を行うこととしました。
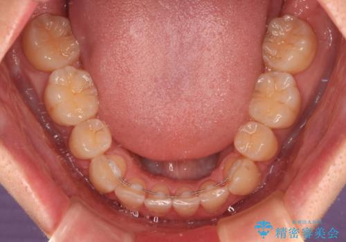
下顎骨が左側に大きく変位しているため、上下の正中位置は極力一致するところをゴールとしました。
- 費用(概算)
- 治療費の目安: 130万円(税込)費用は治療当時の料金となります
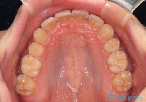
治療について
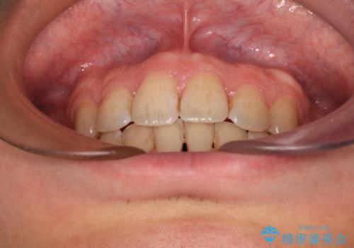
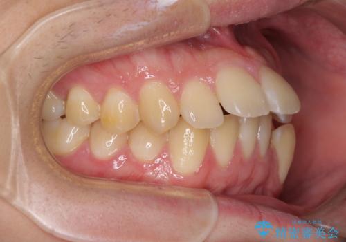
上下顎で左右差の大きい抜歯矯正を裏側装置で行ったため、非常に時間がかかりましたが、正中位置も良い位置に改善され、気になっていた突出感も解消されました。
ワイヤー矯正の注意事項(リスク・副作用など)
- 治療中は違和感や痛みが起こることがあります
- 症状により、抜歯が必要な場合があります
- 治療中は歯磨きがしにくくなるため、虫歯や歯周病になりやすくなります
- 矯正治療後の保定が不十分だと後戻り(元の位置に戻ろうとする動き)をします
- 自費診療(保険適用外)となります
当サイトの内容、テキスト、画像等の無断転載、複製、複写、盗用を固く禁じます。


























