症例詳細
Case detail
歯のがたつき 4本抜歯を回避してマウスピース矯正へ
治療症例の内容
- 診療科目
- 担当医
- 井上季実子(ドクタープロフィール)
- 患者様
- 20代女性
- 治療期間
- 治療回数
- 10-30回
- 治療計画
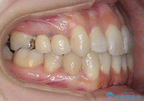
- 20代女性
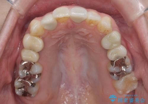
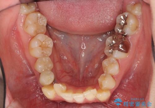
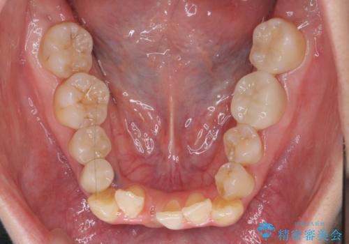
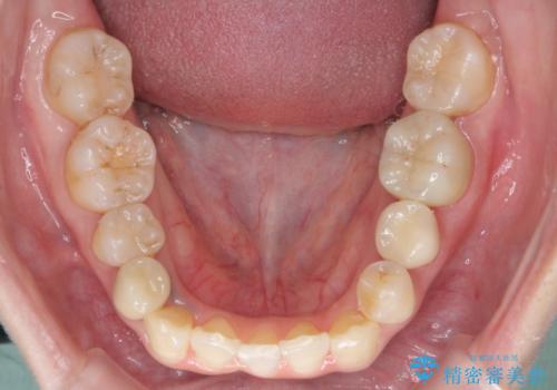
前歯のがたつきを主訴に来院。
ワイヤー矯正の古典的な治療方針である、4本抜歯して全体ワイヤーでも構わないとのことでした。
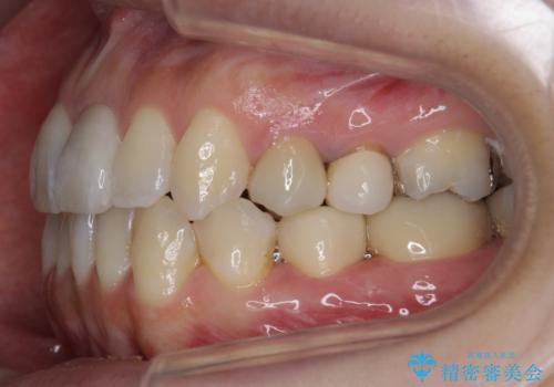
4本抜歯すると口元が下がりすぎてしまうため、下の前歯のみ1本抜歯および上顎の前歯が大きいため少し削らせてもらう提案をしました。
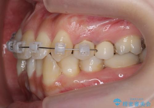
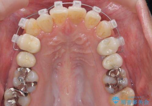
右上2番をしっかり並べるにはワイヤー矯正を上顎部分的に用いて、最後全体マウスピース治療を行いました。
- 費用(概算)
- 矯正治療 110万円費用は治療当時の料金となります
治療について
上顎前歯は神経がない歯で色も変わってきていたためセラミックでかぶせています。
ワイヤー矯正の注意事項(リスク・副作用など)
- 治療中は違和感や痛みが起こることがあります
- 症状により、抜歯が必要な場合があります
- 治療中は歯磨きがしにくくなるため、虫歯や歯周病になりやすくなります
- 矯正治療後の保定が不十分だと後戻り(元の位置に戻ろうとする動き)をします
- 自費診療(保険適用外)となります
マウスピース矯正の注意事項(リスク・副作用など)
- 口腔内・歯並びの状態によっては対応できない場合があります
- マウスピース型矯正装置の長時間装着(1日20時間以上)が必須です
- 治療計画通りに進めるためには、患者様の意志が重要になります
- 矯正治療後の保定が不十分だと後戻り(元の位置に戻ろうとする動き)をします
- 薬機法対象外の矯正歯科装置のため医薬品副作用被害救済制度の対象外となる場合があります
- 自費診療(保険適用外)となります
当サイトの内容、テキスト、画像等の無断転載、複製、複写、盗用を固く禁じます。

















