症例詳細
Case detail
【ゴールドインレー】長持ち優先の治療
治療症例の内容
- 診療科目
- 治療カテゴリ
- 担当医
- 河口智英(ドクタープロフィール)
- 患者様
- 30代男性
- 治療期間
- 1ヶ月
- 治療回数
- 2-5回
- 治療計画
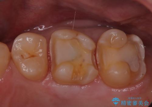
- 定期検診にて虫歯を認めた患者さんです。
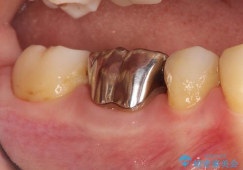
患者さんの希望により、修復物の割れる心配が少ないゴールドインレーでの治療を行いました。
- 費用(概算)
- 14万円費用は治療当時の料金となります
治療について
ゴールドインレーの場合、歯質とのすり合いを行い適合性を高めています。
PGA(ゴールド)クラウン、インレーの注意事項(リスク・副作用など)
- インレーおよびクラウンは脱離するリスクがあります
- 形成量はセラミックより少ないですが、歯の形成、修復後に歯に症状が出ることがあります
- 自費診療(保険適用外治療)となります
当サイトの内容、テキスト、画像等の無断転載、複製、複写、盗用を固く禁じます。



