症例詳細
Case detail
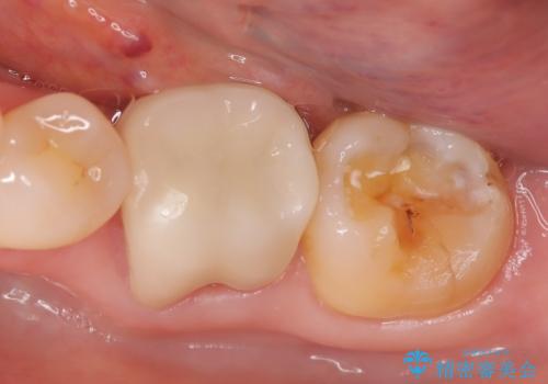
プラスチックが欠けた。
治療症例の内容
- 診療科目
 
- 治療カテゴリ
 
- 担当医
 - 河口智英(ドクタープロフィール)
 
- 患者様
 - 40代女性
 
- 治療期間
 - 1ヶ月
 
- 治療回数
 - 2-5回
 
- 治療計画
 - 奥歯の咬合面のプラスチックが欠けたことを主訴に来院されました。
金属での修復も提案しましたが審美的な希望から
セラミックインレーでの修復を行うことになりました。 
- 費用(概算)
 - 7万円費用は治療当時の料金となります
 
治療について
セラミックインレーは金属よりも歯を削って厚みを確保する必要があります。
セラミック治療の注意事項(リスク・副作用など)
- 天然歯を削ります
 - 硬い素材は天然歯を傷つけてしまう場合があります
 - かみ合わせや歯ぎしりが強すぎる方はセラミックが割れてしまう可能性があります
 - 自費診療(保険適用外治療)となります
 
当サイトの内容、テキスト、画像等の無断転載、複製、複写、盗用を固く禁じます。

                      
                                                          

