症例詳細
Case detail
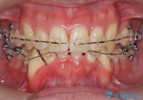
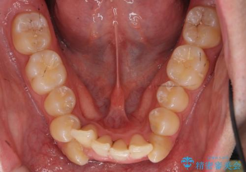
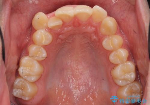
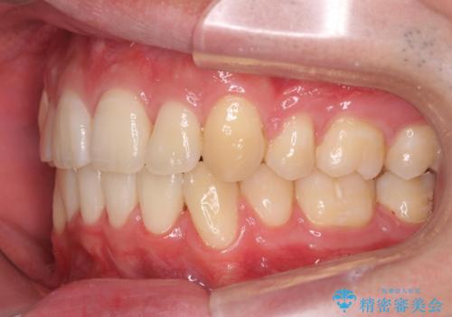
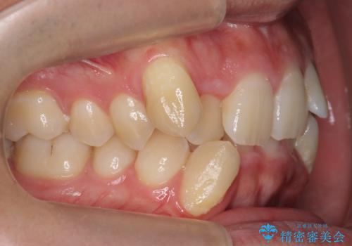
前歯のがたつき 下の八重歯
治療症例の内容
- 診療科目
- 担当医
- 井上季実子(ドクタープロフィール)
- 患者様
- 20代男性
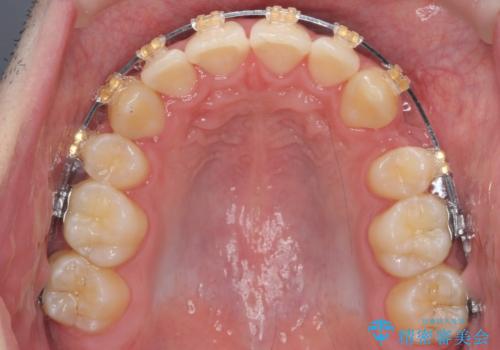
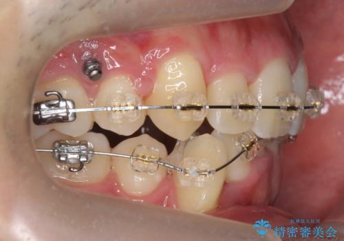
- 矯正装置
- ワイヤー矯正
- 治療期間
- 3年3ヶ月
- 治療回数
- 10-30回
- 治療計画
- 前歯のがたつきを主訴に来院。
上下左右の小臼歯を抜歯しています。
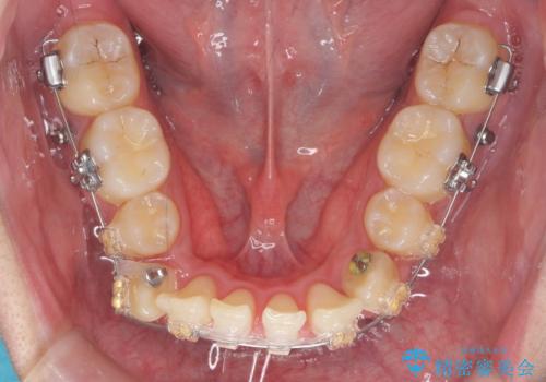
下のがたつきが大きいため、抜いたスペースをしっかり利用して並べるため矯正用インプラントを使用しています。
- 費用(概算)
- 100万円費用は治療当時の料金となります
治療について
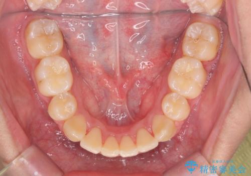
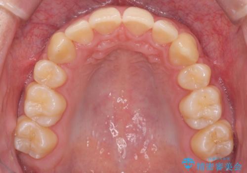
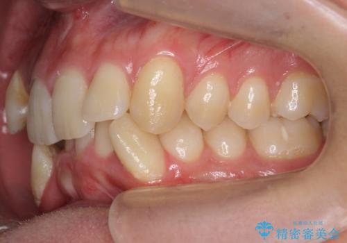
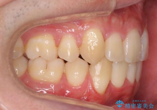
上下の前歯の重なりが大きく(過蓋咬合)時間がかかりましたが、しっかり浅く仕上げることができました。
矯正をしてよかったと大変喜んでおられました。
ワイヤー矯正の注意事項(リスク・副作用など)
- 治療中は違和感や痛みが起こることがあります
- 症状により、抜歯が必要な場合があります
- 治療中は歯磨きがしにくくなるため、虫歯や歯周病になりやすくなります
- 矯正治療後の保定が不十分だと後戻り(元の位置に戻ろうとする動き)をします
- 自費診療(保険適用外)となります
当サイトの内容、テキスト、画像等の無断転載、複製、複写、盗用を固く禁じます。



















