症例詳細
Case detail
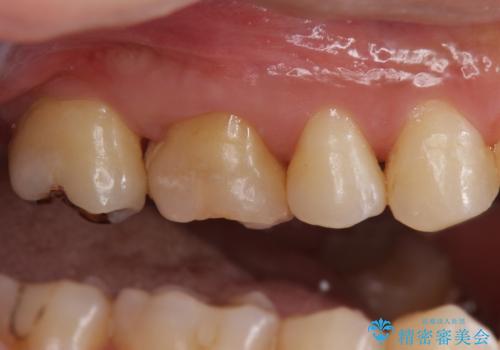
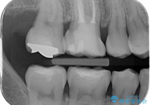
不適な樹脂の詰め物 被せ物で被覆
治療症例の内容
- 診療科目
- 治療カテゴリ
- 担当医
- 岡田康成(ドクタープロフィール)
- 患者様
- 30代女性
- 治療期間
- 1ヶ月
- 治療回数
- 2-5回
- 治療計画
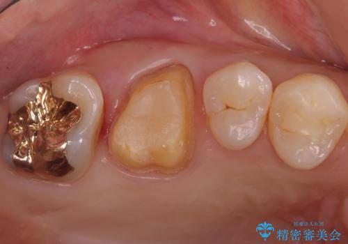
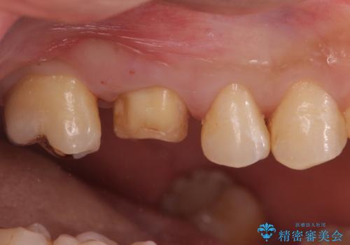
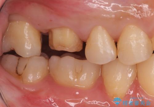
- 奥歯の劣化・変色した樹脂の詰め物をやり直していきます。
セラミックのインレーでは強度に不安が残るため、セラミッククラウンで全体を被覆することとしました。
- 費用(概算)
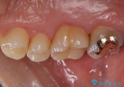
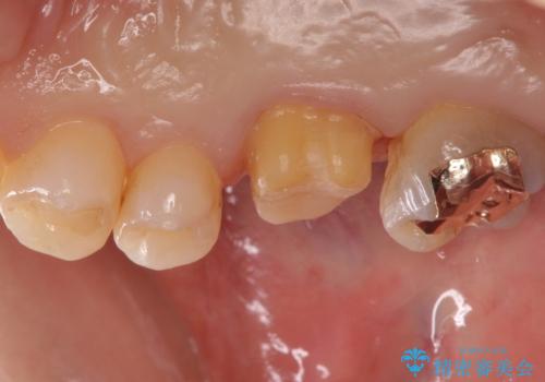
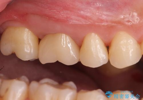
- 右上6:仮歯+ジルコニアクラウン/11,000円+110,000円費用は治療当時の料金となります
治療について
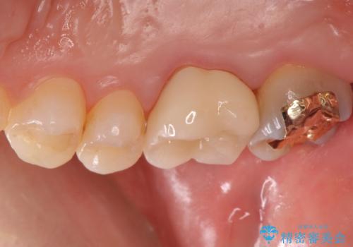
セラミックは劣化で変色することがありません。
表面も滑沢で汚れが付着しにくく、適合の良いセラミッククラウンは治療後の虫歯リスクを抑えてくれます。
セラミック治療の注意事項(リスク・副作用など)
- 天然歯を削ります
- 硬い素材は天然歯を傷つけてしまう場合があります
- かみ合わせや歯ぎしりが強すぎる方はセラミックが割れてしまう可能性があります
- 自費診療(保険適用外治療)となります
当サイトの内容、テキスト、画像等の無断転載、複製、複写、盗用を固く禁じます。












