症例詳細
Case detail
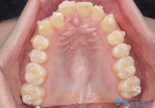
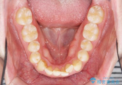
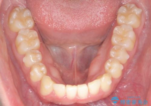
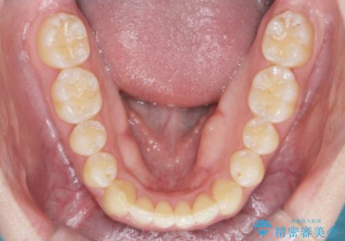
前歯が隠れていて見えない クロスバイトの矯正治療
治療症例の内容
- 診療科目
- 担当医
- 大元洋佑(ドクタープロフィール)
- 患者様
- 20代男性
- 治療期間
- 2年6ヶ月
- 治療回数
- 10-30回
- 治療計画
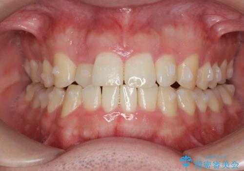
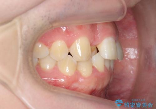
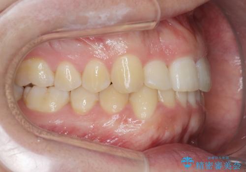
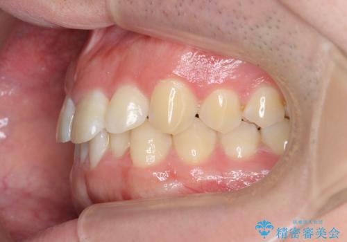
- 「前歯が1本隠れていて見えない、歯並びを矯正治療で改善したい。」と希望され来院されました。
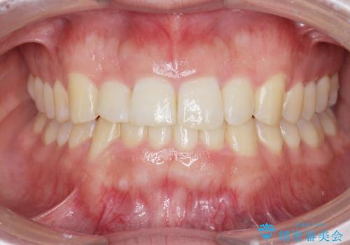
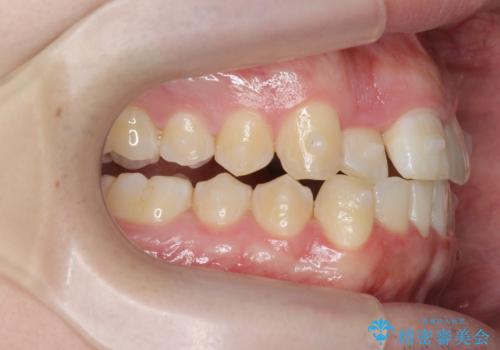
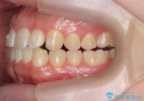
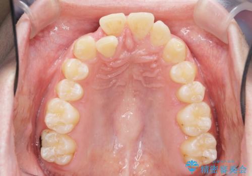
奥に隠れている前歯を並べられるスペースを確保したのち、歯並びを整えていきます。
- 費用(概算)
- 99万円費用は治療当時の料金となります
治療について
前歯のスペース不足により1本だけ後方に位置している状態でしたが、しっかりとスペースを確保し配列することができました。
マウスピース矯正の注意事項(リスク・副作用など)
- 口腔内・歯並びの状態によっては対応できない場合があります
- マウスピース型矯正装置の長時間装着(1日20時間以上)が必須です
- 治療計画通りに進めるためには、患者様の意志が重要になります
- 矯正治療後の保定が不十分だと後戻り(元の位置に戻ろうとする動き)をします
- 薬機法対象外の矯正歯科装置のため医薬品副作用被害救済制度の対象外となる場合があります
- 自費診療(保険適用外)となります
当サイトの内容、テキスト、画像等の無断転載、複製、複写、盗用を固く禁じます。















