症例詳細
Case detail
【根管治療・オールセラミッククラウン】何もしなくても歯が痛い 咬むと更に痛い
治療症例の内容
- 患者様
- 40代女性
- 治療期間
- 2ヶ月
- 治療回数
- 2-5回
- 治療計画
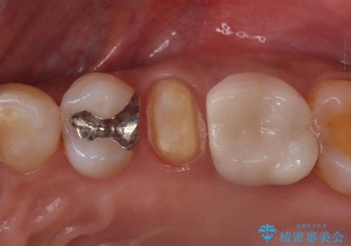
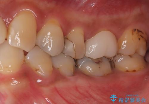
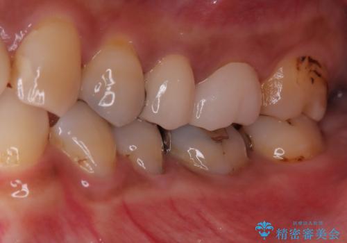
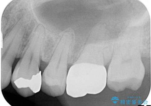
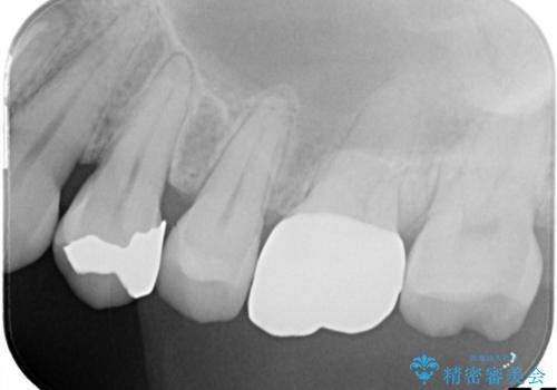
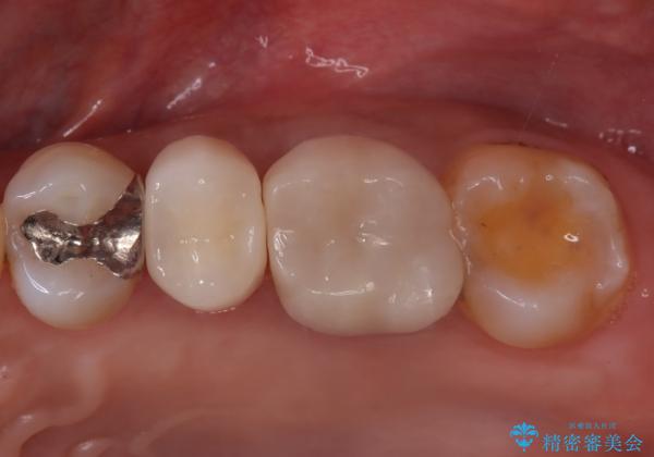
- 「何もしなくても歯が痛む、咬むと歯が痛む」を主訴に来院された患者さんです。検査の結果、歯髄の部分壊死と診断しました。根管治療を行いファイバーコアとオールセラミッククラウンで治療を行いました。
- 費用(概算)
- 297,000円【根管治療110,000円+ファイバーコア22,000円+仮歯11,000円+オールセラミッククラウンスペシャル154,000円】費用は治療当時の料金となります
治療について
術前に神経の部分壊死と診断しましたが、神経をあけたときに出血が一切無かったので神経が死んでいるという診断は正しかったという事になります。
神経の処置にはマイクロスコープを使用しながら唾液を根管内に入れないようにラバーダムシートを使用しながら治療を行っています。
神経が死んでしまった原因はプラスチック(保険適用治療)の被せ物が劣化し歯と被せ物の間に生じた隙間からのリークが原因だと考えます。
セラミック治療の注意事項(リスク・副作用など)
- 天然歯を削ります
- 硬い素材は天然歯を傷つけてしまう場合があります
- かみ合わせや歯ぎしりが強すぎる方はセラミックが割れてしまう可能性があります
- 自費診療(保険適用外治療)となります
根管治療の注意事項(リスク・副作用など)
- 根管治療により類似の全ての症例の問題が解決するわけではなく、症例はあくまでも一例です
- 根管治療により痛みや腫れがひかない事や、術後に痛みや腫れが生じる事、治療によるファイル破折やパーフォレーションなどの偶発症、術後の歯根破折を生じる可能性もあります
- 自費診療(保険適用外)となります
当サイトの内容、テキスト、画像等の無断転載、複製、複写、盗用を固く禁じます。















