症例詳細
Case detail
カリエール・マイクロインプラントを併用した歯の突出を改善する大きな遠心移動
治療症例の内容
- 担当医
- 大元洋佑(ドクタープロフィール)
- 患者様
- 20代女性
- 治療期間
- 3年
- 治療計画
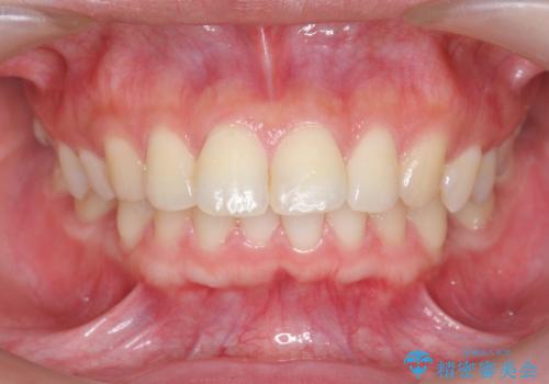
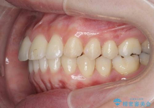
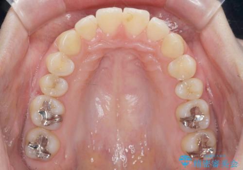
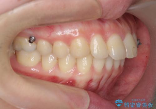
- 口が閉じづらく、突出し歯が出っ歯に見えてしまうことの改善を求めて来院されました。
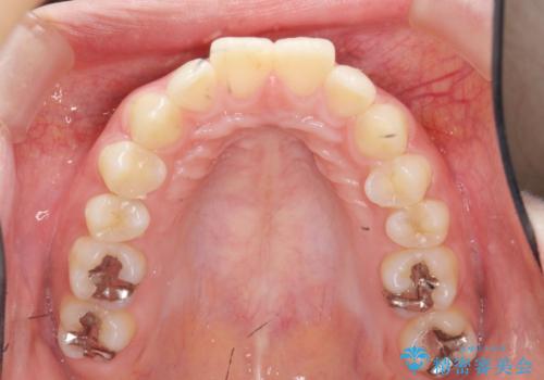
通常このような場合、抜歯してのワイヤー矯正治療も選択肢に入りますが、患者様の強い希望により抜歯を行わずマウスピースによる治療を選択しました。
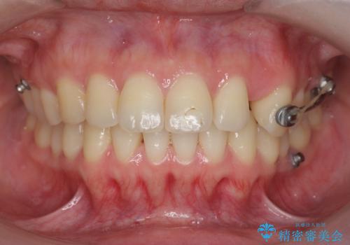
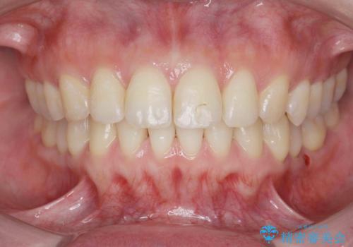
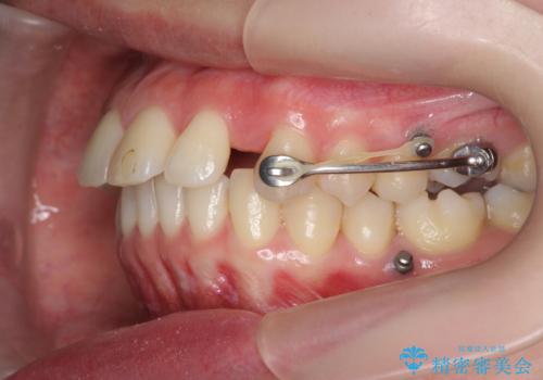
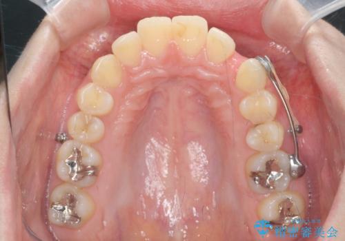
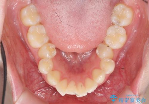
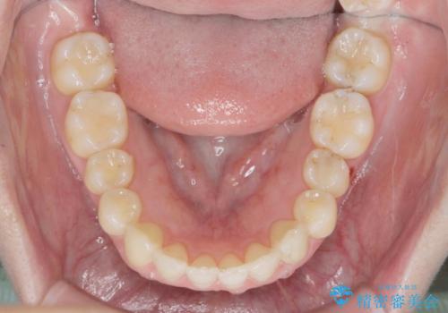
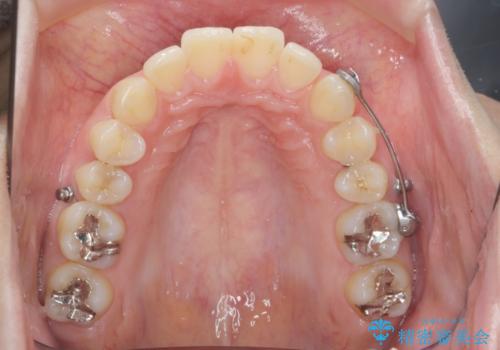
カリエール・マイクロインプラントを用い、時間はかかりましたが大きく歯の後方移動が達成され、前歯の見た目が大きく改善されました。
- 費用(概算)
- 99万円費用は治療当時の料金となります
治療について
大きな後方移動を達成するにはマイクロインプラントと日常的なゴムかけが大切です。
マウスピース矯正の注意事項(リスク・副作用など)
- 口腔内・歯並びの状態によっては対応できない場合があります
- マウスピース型矯正装置の長時間装着(1日20時間以上)が必須です
- 治療計画通りに進めるためには、患者様の意志が重要になります
- 矯正治療後の保定が不十分だと後戻り(元の位置に戻ろうとする動き)をします
- 薬機法対象外の矯正歯科装置のため医薬品副作用被害救済制度の対象外となる場合があります
- 自費診療(保険適用外)となります
当サイトの内容、テキスト、画像等の無断転載、複製、複写、盗用を固く禁じます。




















