症例詳細
Case detail
虫歯の治療 できれば歯の向きも変えたい
治療症例の内容
- 診療科目
- 治療カテゴリ
- 担当医
- 岡田康成(ドクタープロフィール)
- 患者様
- 50代女性
- 治療期間
- 2ヶ月
- 治療回数
- 2-5回
- 治療計画
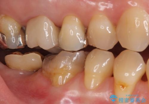
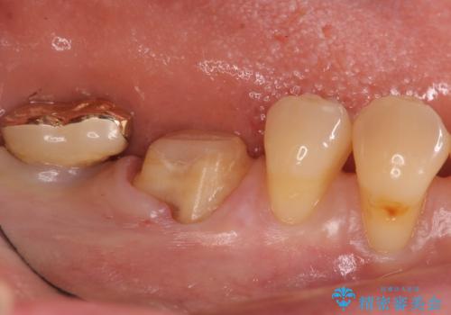
- 昔つめた材料が欠けたこと、歯の捻転を主訴に来院されました。
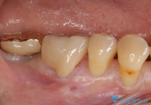
 矯正治療の希望はなかったため、被せ物で歯の形を修正することになりました。
- 費用(概算)
- 右下6 仮歯+セラミッククラウン 11,000円+121,000円費用は治療当時の料金となります
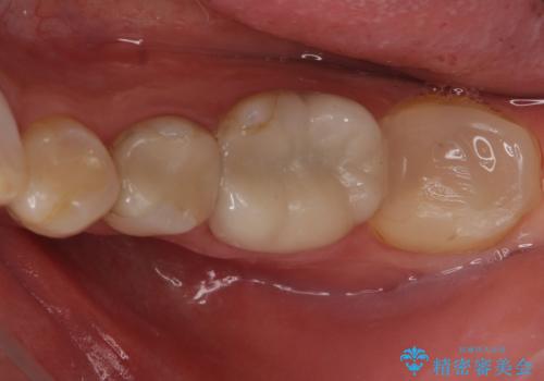
治療について
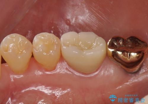
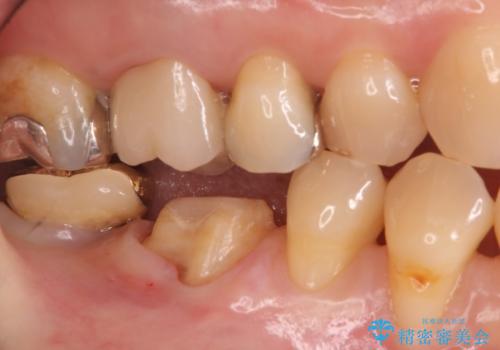
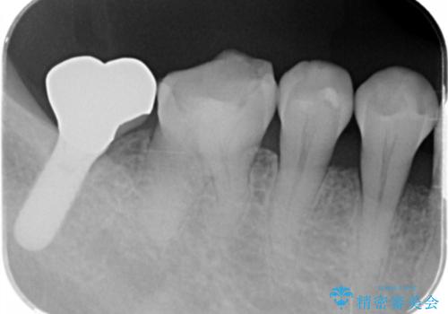
不適合だった詰め物の裏側に大きな虫歯がありました。
セラミックインレーやアンレーでは強度に不安が残るため、クラウンでの修復処置としました。
クラウンでは歯のがたつきを修正することもできます。
虫歯の除去と歯の捻転の両方を解決することができました。
セラミック治療の注意事項(リスク・副作用など)
- 天然歯を削ります
- 硬い素材は天然歯を傷つけてしまう場合があります
- かみ合わせや歯ぎしりが強すぎる方はセラミックが割れてしまう可能性があります
- 自費診療(保険適用外治療)となります
当サイトの内容、テキスト、画像等の無断転載、複製、複写、盗用を固く禁じます。








 
                       
                                                          














 
                   
                   
                  