症例詳細
Case detail
前歯の色が気になる。
治療症例の内容
- 診療科目
- 治療カテゴリ
- 担当医
- 青山卓弘(ドクタープロフィール)
- 患者様
- 20代女性
- 治療期間
- 2ヶ月
- 治療回数
- 2-5回
- 治療計画
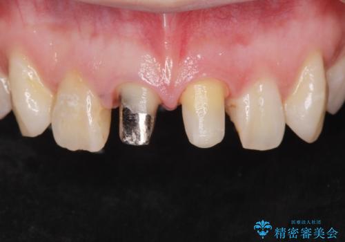
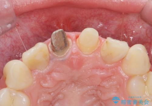
- 前歯のバランスが悪いとの事で来院。
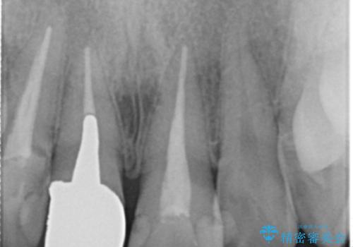
左の前歯は樹脂での治療がされていてう蝕が再発していたので全て取り除き、再根管治療(保険)を行いました。
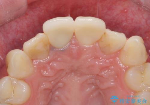
右の前歯も被せ物を外して左右一緒に作製した方が同じ色で作れるので被せ物のやりかえを行いました。(再根管治療は望まなかった)
- 費用(概算)
- ジルコニアクラウンスタンダード・仮歯 13.2万円×2費用は治療当時の料金となります
治療について
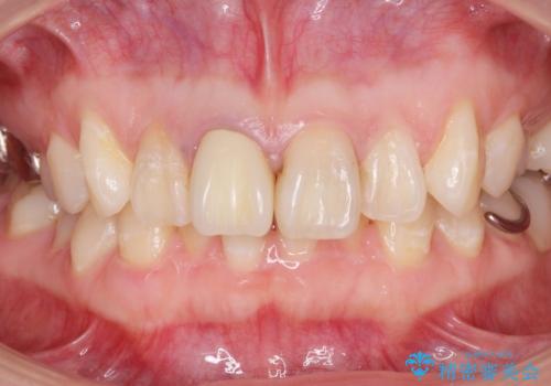
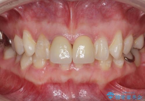
色のバランスもよく、適合も良い被せ物が入りました。
根管治療をした後、樹脂で埋めるだけで治療を終えてしまうと歯質と樹脂の隙間から細菌が入り込み、う蝕や根の感染の再発に繋がります。
適合の良い被せ物を入れることで再発リスクが低くなります。
セラミック治療の注意事項(リスク・副作用など)
- 天然歯を削ります
- 硬い素材は天然歯を傷つけてしまう場合があります
- かみ合わせや歯ぎしりが強すぎる方はセラミックが割れてしまう可能性があります
- 自費診療(保険適用外治療)となります
その他の注意事項(リスク・副作用など)
- 担当歯科医師、歯科衛生士又は医院スタッフから受けた説明・注意事項をよくご確認ください
- 医療を提供するに当たり、適切な説明を行い、患者様の十分な理解を得るよう努めております
当サイトの内容、テキスト、画像等の無断転載、複製、複写、盗用を固く禁じます。










