症例詳細
Case detail
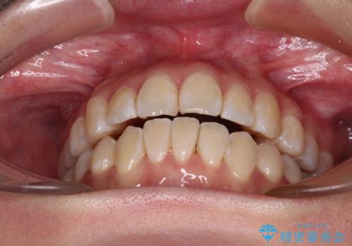
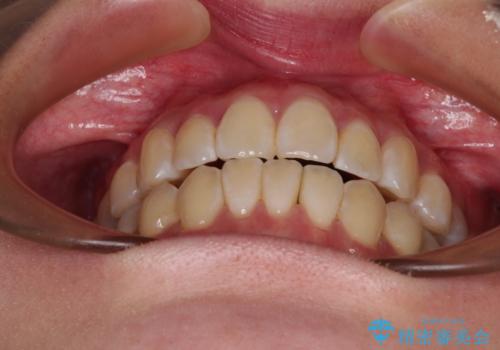
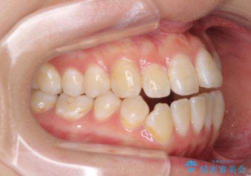
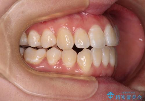
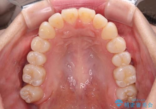
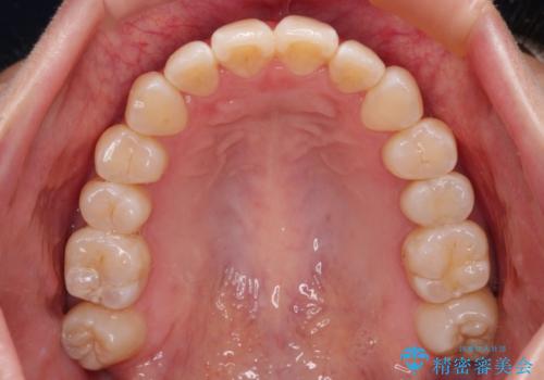
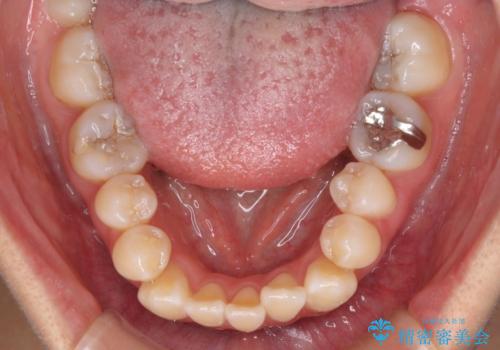
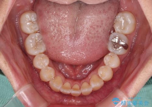
外に飛び出して磨きにくい奥歯と上下前歯の隙間 インビザラインによる矯正治療
治療症例の内容
- 診療科目
- 担当医
- 藤巻太一朗(ドクタープロフィール)
- 患者様
- 30代女性
- 矯正装置
- インビザライン
- 治療期間
- 3年
- 治療回数
- 10-30回
- 治療計画
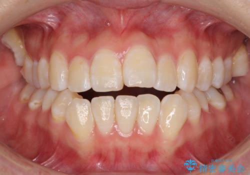
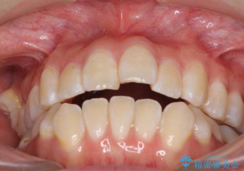
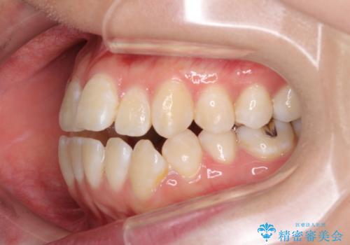
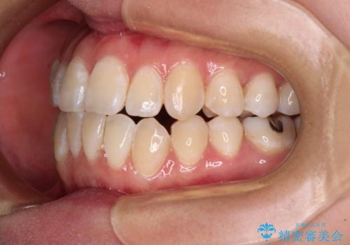
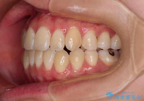
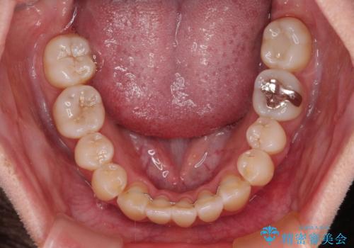
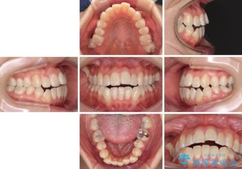
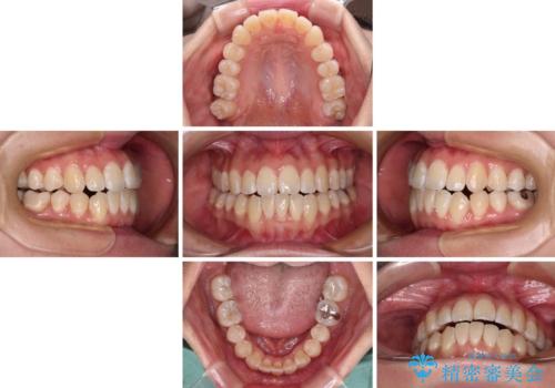
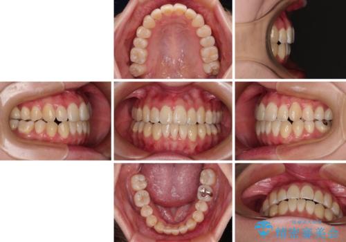
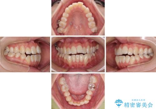
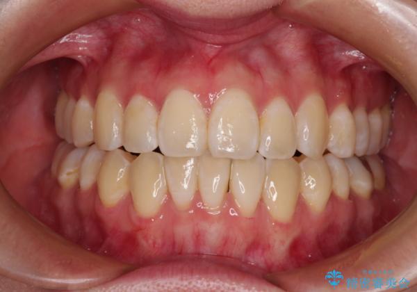
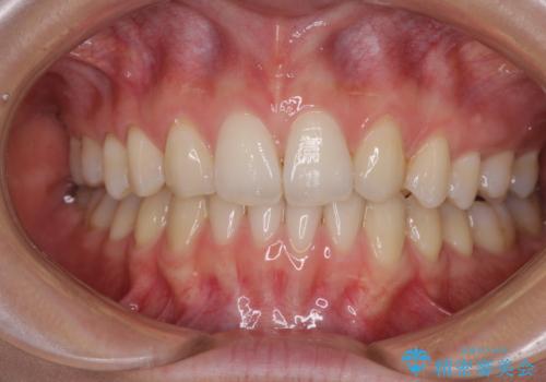
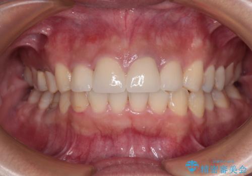
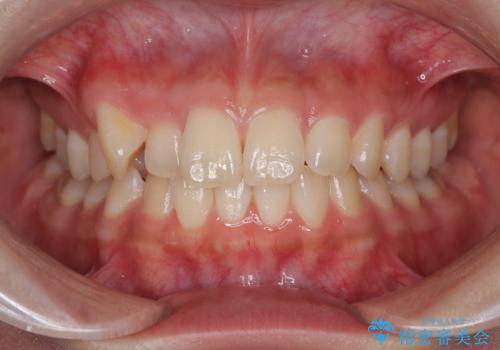
- 上下前歯の隙間と、外側を向いていて歯磨きのしにくい奥歯を気にして来院された患者様です。
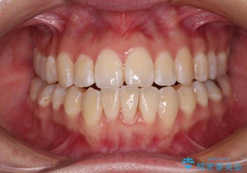
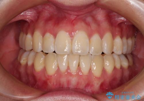
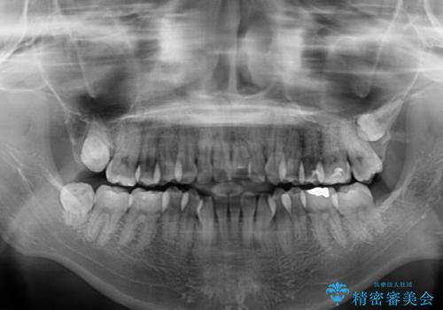
下顎前歯が1本欠損しており、上下アーチはアンバランスとなりますが、インビザラインを用いて上下の隙間を改善しながら歯列を整えることとしました。
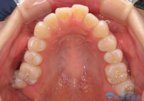
外側を向いている奥歯は、内側にアンカースクリューを埋入して牽引の固定ゲント氏、部分的にワイヤー装置を用いることで歯列に納めることとしました。
- 費用(概算)
- 治療費の目安: 100万円(税込)費用は治療当時の料金となります
治療について
下顎前歯の1本欠損により左右の咬合が不安定となり、治療経過で噛みにくい状態が続きましたが、最終的には違和感なく噛めるようになりました。
マウスピース矯正の注意事項(リスク・副作用など)
- 口腔内・歯並びの状態によっては対応できない場合があります
- マウスピース型矯正装置の長時間装着(1日20時間以上)が必須です
- 治療計画通りに進めるためには、患者様の意志が重要になります
- 矯正治療後の保定が不十分だと後戻り(元の位置に戻ろうとする動き)をします
- 薬機法対象外の矯正歯科装置のため医薬品副作用被害救済制度の対象外となる場合があります
- 自費診療(保険適用外)となります
当サイトの内容、テキスト、画像等の無断転載、複製、複写、盗用を固く禁じます。




























