症例詳細
Case detail
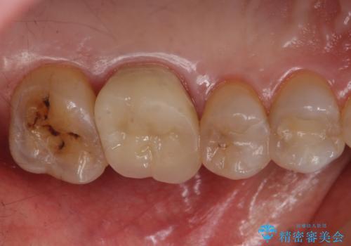
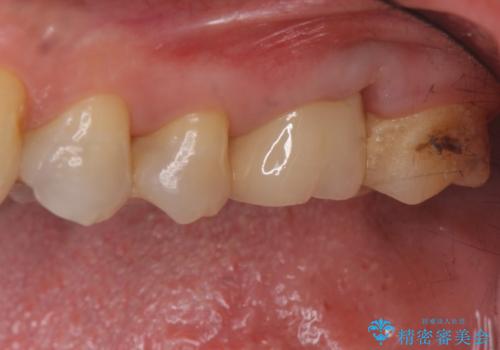
検査で見つかった虫歯 セラミッククラウンでの治療
治療症例の内容
- 診療科目
- 治療カテゴリ
- 担当医
- 岡田康成(ドクタープロフィール)
- 患者様
- 40代女性
- 治療期間
- 2ヶ月
- 治療回数
- 2-5回
- 治療計画
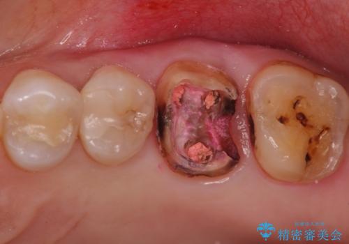
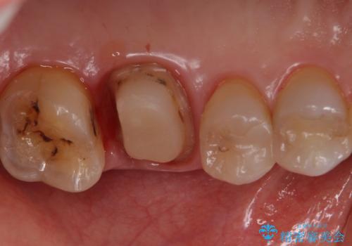
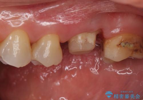
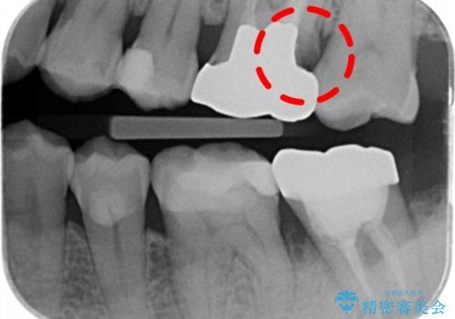
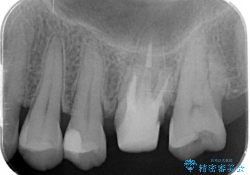
- 検査の結果被せ物の下に虫歯が確認された患者様です。
虫歯を取りきった後セラミッククラウンでの修復処置を行います。
- 費用(概算)
- 左上6/仮歯+ジルコニアクラウン:11,000円+110,000円 (根管治療:保険)費用は治療当時の料金となります
治療について
被せ物の裏側の虫歯は被せ物を取らないと除去できません。
今回は過去に治療された部分をすべてやり直しました。
再治療にならないような精密な治療が重要です。
セラミック治療の注意事項(リスク・副作用など)
- 天然歯を削ります
- 硬い素材は天然歯を傷つけてしまう場合があります
- かみ合わせや歯ぎしりが強すぎる方はセラミックが割れてしまう可能性があります
- 自費診療(保険適用外治療)となります
当サイトの内容、テキスト、画像等の無断転載、複製、複写、盗用を固く禁じます。
















