症例詳細
Case detail
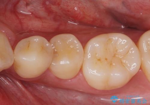
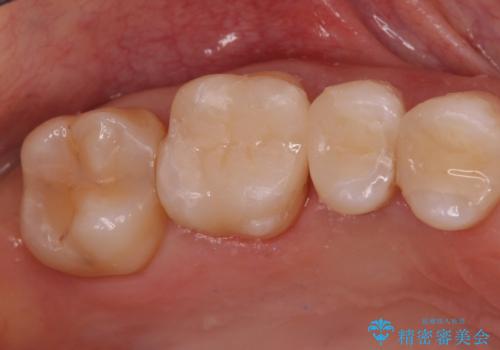
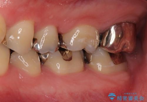
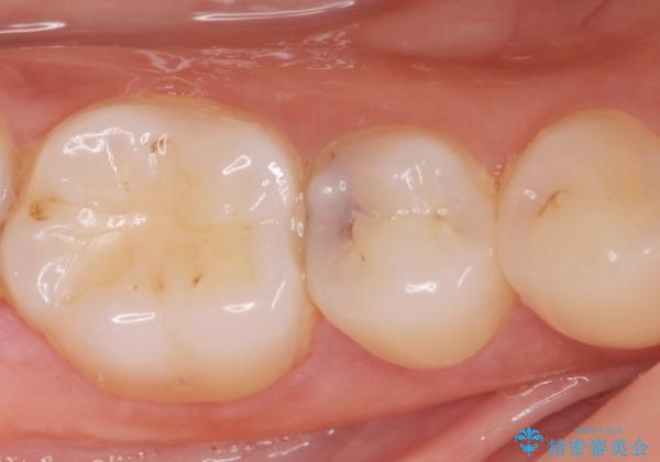
[e-maxインレー] 矯正治療前の虫歯治療
治療症例の内容
- 診療科目
- 治療カテゴリ
- 担当医
- 青山卓弘(ドクタープロフィール)
- 患者様
- 20代女性
- 治療期間
- 1ヶ月
- 治療回数
- 2-5回
- 治療計画
- 矯正治療前の患者様です。
う蝕があったのでe-maxインレーにて治療しました。
- 費用(概算)
- e-maxインレー 7.7万円 費用は治療当時の料金となります
治療について
う蝕があるままで矯正を始めてしまうと矯正治療中にう蝕が悪化する可能性があります。矯正治療を行う前はう蝕や歯周病がある場合にはしっかり治療を行なってから矯正治療がスタートします。
その他の注意事項(リスク・副作用など)
- 担当歯科医師、歯科衛生士又は医院スタッフから受けた説明・注意事項をよくご確認ください
- 医療を提供するに当たり、適切な説明を行い、患者様の十分な理解を得るよう努めております
セラミック治療の注意事項(リスク・副作用など)
- 天然歯を削ります
- 硬い素材は天然歯を傷つけてしまう場合があります
- かみ合わせや歯ぎしりが強すぎる方はセラミックが割れてしまう可能性があります
- 自費診療(保険適用外治療)となります
当サイトの内容、テキスト、画像等の無断転載、複製、複写、盗用を固く禁じます。

![[e-maxインレー] 矯正治療前の虫歯治療の治療前](https://seimitsushinbi.jp/wp/wp-content/uploads/2023/08/IMG_1022-2-500x350.jpg?v=1691812242)
![[e-maxインレー] 矯正治療前の虫歯治療の治療中](https://seimitsushinbi.jp/wp/wp-content/uploads/2023/08/IMG_2859-1-500x350.jpg?v=1691812264)
![[e-maxインレー] 矯正治療前の虫歯治療の治療後](https://seimitsushinbi.jp/wp/wp-content/uploads/2023/08/IMG_2869-1-500x350.jpg?v=1691812292)
![[e-maxインレー] 矯正治療前の虫歯治療の治療前](https://seimitsushinbi.jp/wp/wp-content/uploads/2023/08/IMG_1023-1-500x350.jpg?v=1691812306)
![[e-maxインレー] 矯正治療前の虫歯治療の治療後](https://seimitsushinbi.jp/wp/wp-content/uploads/2023/08/IMG_2870-1-500x350.jpg?v=1691812325)
![[e-maxインレー] 矯正治療前の虫歯治療の治療中](https://seimitsushinbi.jp/wp/wp-content/uploads/2023/08/IMG_2851-500x350.jpg?v=1691393510)
![[e-maxインレー] 矯正治療前の虫歯治療の治療前](https://seimitsushinbi.jp/wp/wp-content/uploads/2023/08/CI3-500x350.jpg?v=1691393536)
![[e-maxインレー] 矯正治療前の虫歯治療の治療後](https://seimitsushinbi.jp/wp/wp-content/uploads/2023/08/CI.4593c652336511ee8bf6-500x350.jpg?v=1691393550)