症例詳細
Case detail
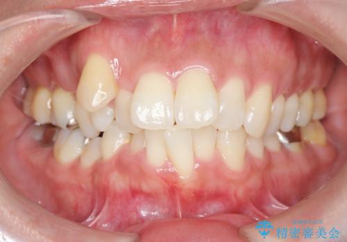
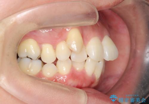
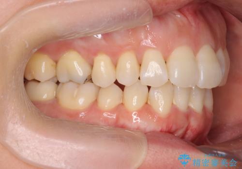
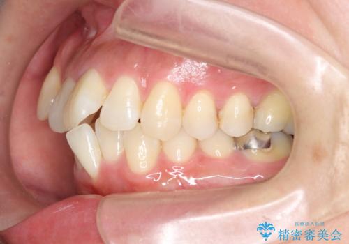
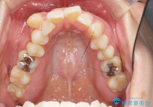
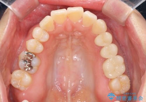
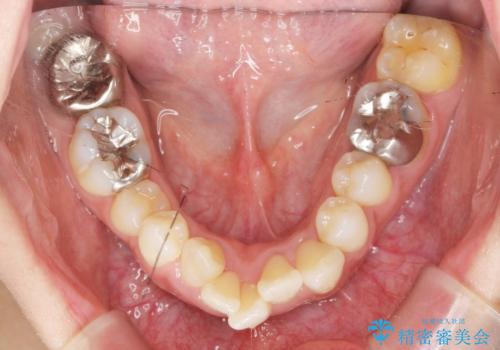
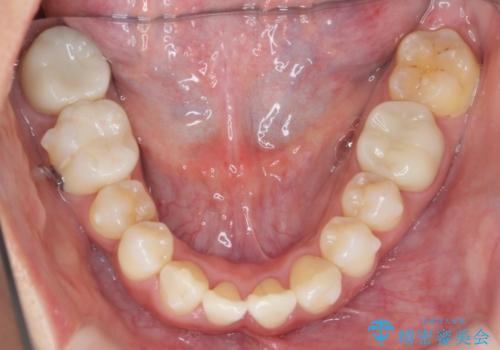
職業柄ワイヤー矯正ができない、マウスピース矯正で行う八重歯抜歯症例
治療症例の内容
- 診療科目
- 治療カテゴリ
- 担当医
- 大元洋佑(ドクタープロフィール)
- 患者様
- 30代女性
- 矯正装置
- インビザライン
- 治療期間
- 2年6ヶ月
- 治療回数
- 10-30回
- 治療計画
- 「長年気になっている八重歯を矯正治療で治したい、ただし職業柄ワイヤー矯正は絶対にできないのでマウスピース矯正を希望。」
、と矯正治療を希望され来院されました。
通常は八重歯の抜去は行わず、小臼歯の抜去を行いワイヤー矯正を行いますが、八重歯を抜去することでマウスピースで現実的に達成できる機能的な歯並びを獲得できるよう治療計画を立案します。
- 費用(概算)
- 99万円費用は治療当時の料金となります
治療について
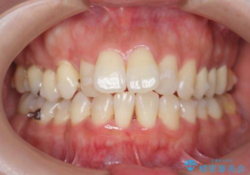
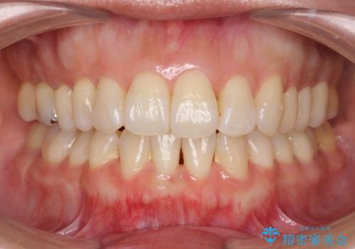
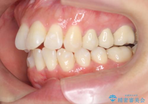
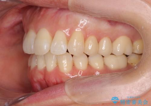
治療に制約がある場合でも、現実的な治療ゴールを設定することで機能的・審美的な歯並びを手に入れることができました。
マウスピース矯正の注意事項(リスク・副作用など)
- 口腔内・歯並びの状態によっては対応できない場合があります
- マウスピース型矯正装置の長時間装着(1日20時間以上)が必須です
- 治療計画通りに進めるためには、患者様の意志が重要になります
- 矯正治療後の保定が不十分だと後戻り(元の位置に戻ろうとする動き)をします
- 薬機法対象外の矯正歯科装置のため医薬品副作用被害救済制度の対象外となる場合があります
- 自費診療(保険適用外)となります
当サイトの内容、テキスト、画像等の無断転載、複製、複写、盗用を固く禁じます。















