症例詳細
Case detail
遠心移動を伴うマウスピース非抜歯矯正治療
治療症例の内容
- 担当医
- 大元洋佑(ドクタープロフィール)
- 患者様
- 20代男性
- 矯正装置
- インビザライン
- 治療期間
- 2年
- 治療回数
- 10-30回
- 治療計画
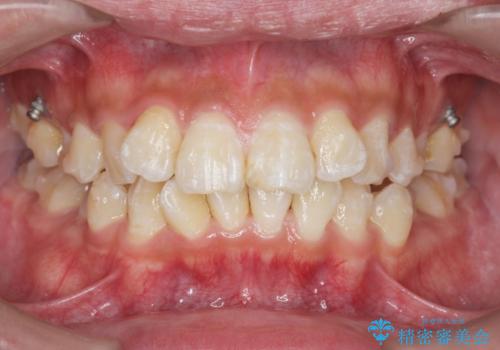
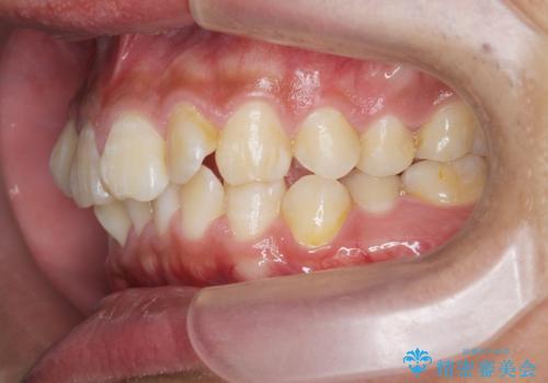
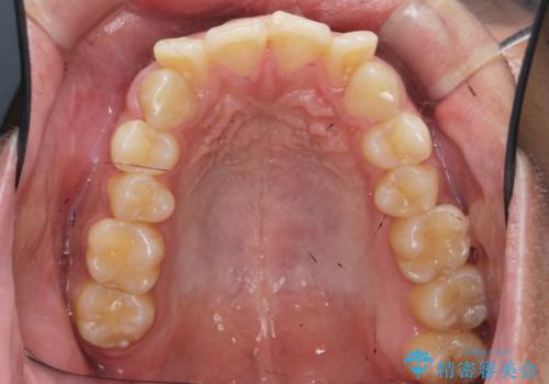
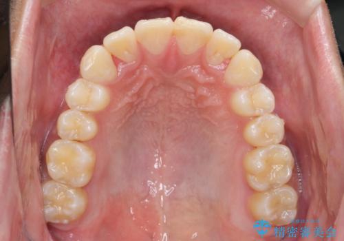
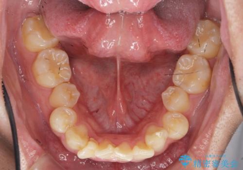
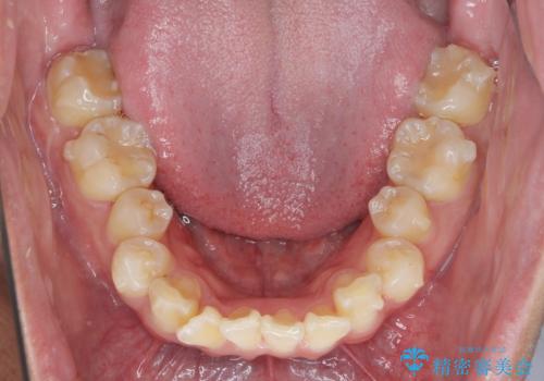
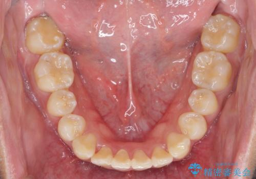
- 「前歯の見た目を改善したい。」と矯正治療を希望され来院されました。
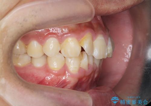
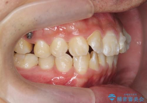
前歯のガタつきに加え、上顎が前にある咬合関係(上顎前突)を改善すべく、マイクロインプラントを用いた上顎奥歯の後方移動、拡大、ディスキングを用いたマウスピース矯正治療を計画します。
- 費用(概算)
- 99万円費用は治療当時の料金となります
治療について
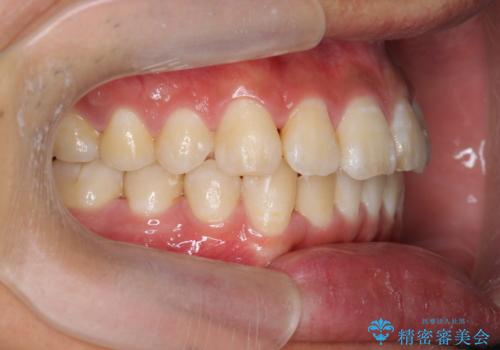
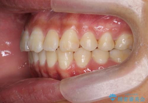
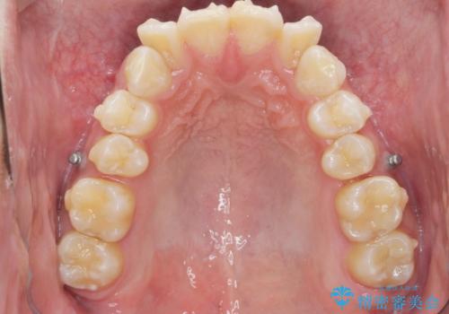
マイクロインプラントを使用したことで、しっかりと遠心移動が為され、良好な咬合関係が達成されました。
マウスピース矯正の注意事項(リスク・副作用など)
- 口腔内・歯並びの状態によっては対応できない場合があります
- マウスピース型矯正装置の長時間装着(1日20時間以上)が必須です
- 治療計画通りに進めるためには、患者様の意志が重要になります
- 矯正治療後の保定が不十分だと後戻り(元の位置に戻ろうとする動き)をします
- 薬機法対象外の矯正歯科装置のため医薬品副作用被害救済制度の対象外となる場合があります
- 自費診療(保険適用外)となります
当サイトの内容、テキスト、画像等の無断転載、複製、複写、盗用を固く禁じます。















