症例詳細
Case detail
骨造成を行ったインプラント治療
治療症例の内容
- 担当医
- 大元洋佑(ドクタープロフィール)
- 患者様
- 50代女性
- 治療期間
- 1年4ヶ月
- 治療回数
- 5-10回
- 治療計画
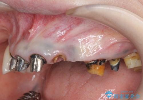
- 「歯がぐらぐらして噛めない。」、全体的な治療を希望されて来院されました。
クラウン・コアを除去したところ支台となる歯は破折し残すことが難しい状況でした。
抜去を行ったのち、インプラント治療を計画しますが骨量が少ないため、まず骨の造成を行ったのちインプラントを埋入していく治療計画としました。
- 費用(概算)
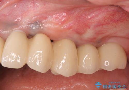
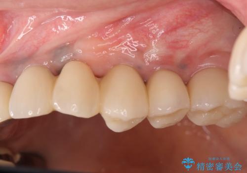
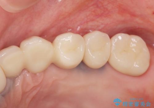
- 99万円(インプラント×2・アバットメント×2・ジルコニアクラウン×2・骨造成)費用は治療当時の料金となります
治療について
インプラント治療を行ったことでしっかりとした咬合関係を確立することができました。
インプラント治療の注意事項(リスク・副作用など)
- 外科手術のため、術後に痛みや腫れ、違和感を伴います
- メンテナンスを怠ったり喫煙により、お口の中に大きな悪影響を及ぼすインプラント周囲炎等にかかる可能性があります
- 糖尿病、肝硬変、心臓病等の場合、インプラント治療ができない可能性があります
- 高血圧、貧血・不整脈等の場合、インプラント治療後に治癒不全を招く可能性があります
- 自費診療(保険適用外治療)となります
当サイトの内容、テキスト、画像等の無断転載、複製、複写、盗用を固く禁じます。




















