症例詳細
Case detail
変色した前歯をキレイにしたい ジルコニアクラウンでの修復
治療症例の内容
- 診療科目
- 治療カテゴリ
- 担当医
- 岡田康成(ドクタープロフィール)
- 患者様
- 20代女性
- 治療期間
- 1ヶ月
- 治療回数
- 2-5回
- 治療計画
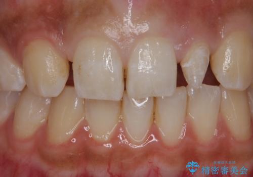
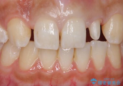
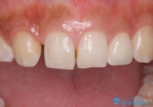
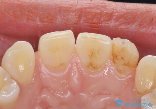
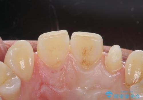
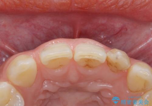
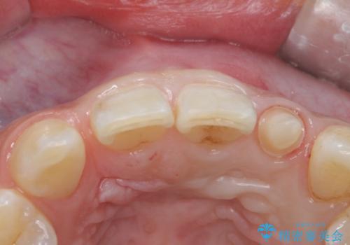
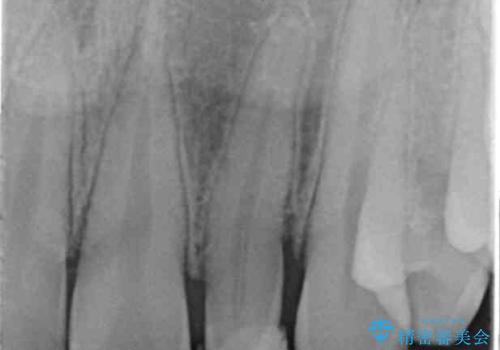
- 左上の前歯の変色が気になるとのことで来院されました。
もともと小さい歯(矮小歯)に樹脂が盛り足されている状態でした。
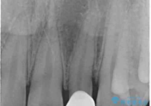
今後の変色をなくすために樹脂ではなくセラミックでの治療を行います。
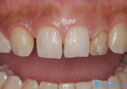
- 費用(概算)
- 左上2:仮歯+ジルコニアクラウン/11,000円+110,000円費用は治療当時の料金となります
治療について
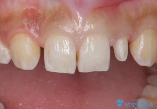
セラミックでの治療をすることにより今後の変色を抑えることができます。
色・形ともに改善することができ大変喜んでいただけました。
セラミック治療の注意事項(リスク・副作用など)
- 天然歯を削ります
- 硬い素材は天然歯を傷つけてしまう場合があります
- かみ合わせや歯ぎしりが強すぎる方はセラミックが割れてしまう可能性があります
- 自費診療(保険適用外治療)となります
当サイトの内容、テキスト、画像等の無断転載、複製、複写、盗用を固く禁じます。















