症例詳細
Case detail
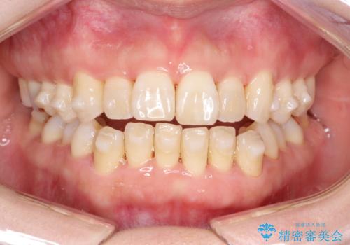
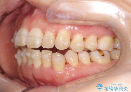
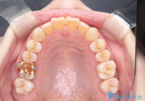
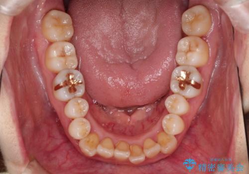
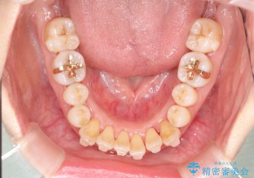
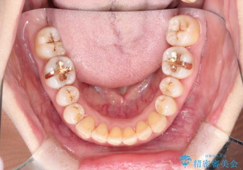
インビザラインによる矯正治療(非抜歯) 上下前歯の開き(開咬)と上下のガタつき(叢生)の改善
治療症例の内容
- 患者様
- 40代女性
- 矯正装置
- インビザライン
- 治療期間
- 1年4ヶ月
- 治療回数
- 10-30回
- 治療計画
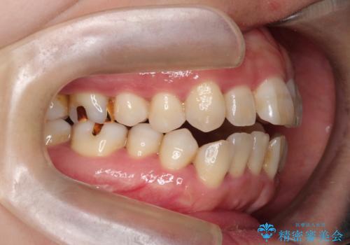
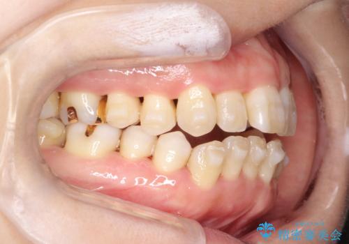
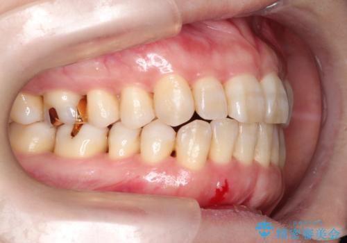
- 上下の前歯の開き(開咬)と上下前歯にガタつき(叢生)が見られます。
マウスピース矯正ではメカニクス的に開咬へのアプローチが容易です。
インビザラインの特色を生かした歯牙移動計画を作成し、非抜歯にて治療を行いました。
- 費用(概算)
- 88万円費用は治療当時の料金となります
治療について
マウスピース枚数 初回36枚 + 追加26枚
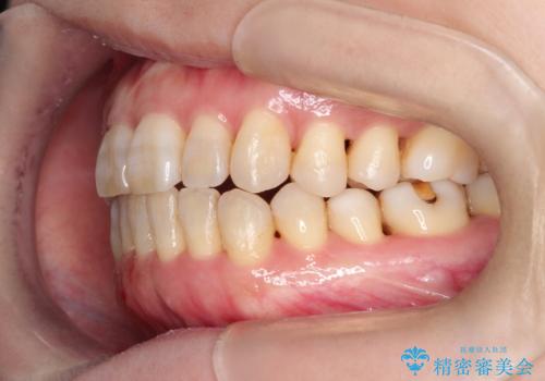
概ね1年4ヶ月で治療完了しました。
マウスピース矯正は開咬(オープンバイト)に対して有利な治療メカニクスを持ちます。
当院独自の工夫を随所に盛り込み、狙い通りの治療結果が得られました。
マウスピース矯正の注意事項(リスク・副作用など)
- 口腔内・歯並びの状態によっては対応できない場合があります
- マウスピース型矯正装置の長時間装着(1日20時間以上)が必須です
- 治療計画通りに進めるためには、患者様の意志が重要になります
- 矯正治療後の保定が不十分だと後戻り(元の位置に戻ろうとする動き)をします
- 薬機法対象外の矯正歯科装置のため医薬品副作用被害救済制度の対象外となる場合があります
- 自費診療(保険適用外)となります
当サイトの内容、テキスト、画像等の無断転載、複製、複写、盗用を固く禁じます。















