症例詳細
Case detail
滑舌の改善 舌小帯の形成術
治療症例の内容
- 診療科目
- 治療カテゴリ
- 担当医
- 大元洋佑(ドクタープロフィール)
- 患者様
- 20代男性
- 治療期間
- 1日
- 治療回数
- 1回
- 治療計画
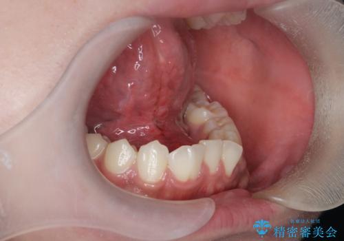
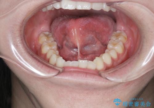
- 友人に滑舌の悪さを指摘され、改善を求めて来院されました。
舌下部に位置する小帯(ヒダ)の長い付着が認められるので、形成術を行うことで滑舌の改善を計画します。
- 費用(概算)
- ¥33,000費用は治療当時の料金となります
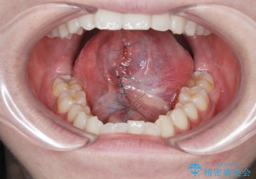
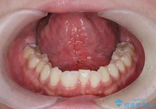
治療について
小手術は5〜10分程度で終了します。
外科処置の注意事項(リスク・副作用など)
- 外科手術のため、術後に出血、痛みや腫れ、違和感を伴います
- 口腔内の状態によっては適応できないことがあります
当サイトの内容、テキスト、画像等の無断転載、複製、複写、盗用を固く禁じます。






