症例詳細
Case detail
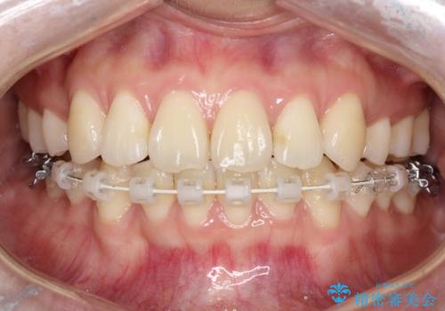
裏側矯正でEラインを改善! すっきりした口元に!
治療症例の内容
- 担当医
- 患者様
- 20代女性
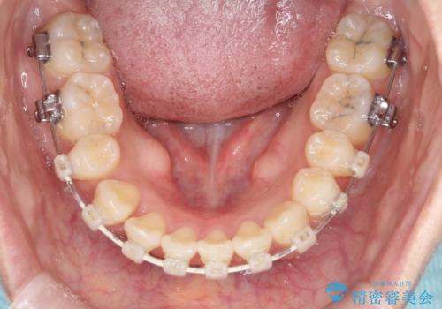
- 矯正装置
- ワイヤー矯正
- 治療期間
- 2年3ヶ月
- 治療回数
- 10-30回
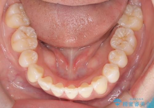
- 治療計画
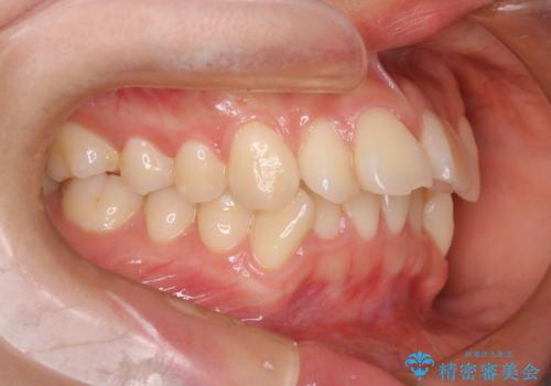
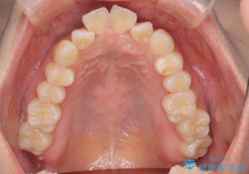
- 出っ歯、ガタツキ、噛み合わせが気になるとのことで来院された患者様です。
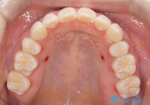
小臼歯を抜歯することでスペースを作り、前歯を下げて口元を下げ、Eラインを改善する治療方針としました。
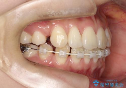
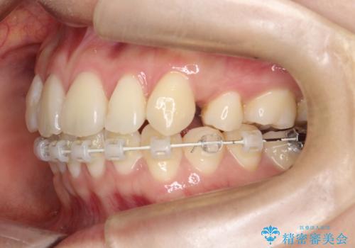
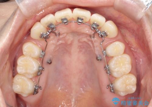
表側のワイヤーは見た目が気になるとのことで、上の歯だけ裏側に付くハーフリンガルという装置で治療を行いました。
- 費用(概算)
- 110万円費用は治療当時の料金となります
治療について
ワイヤー矯正治療では、抜歯を行うことで口元が引っ込み、理想的なEラインを形成することができます。抜歯によって、口元の輪郭が整って顔のバランスがより良くなります。これにより、お顔の印象が引き締まり、自然な笑顔が生まれます。
当院では裏側矯正という方法も提供しています。裏側矯正は、装置を歯の裏側に取り付けるため、外側からは目立ちにくくなります。この治療法は、見た目に気を使いたい方に特におすすめです。
ワイヤー矯正治療は、歯並びの問題を改善し、美しい笑顔を取り戻すための効果的な方法です。当院では経験豊富なスタッフが、患者様一人ひとりのニーズに合わせた最適な治療を提供しています。治療の詳細やご予約については、お気軽にお問い合わせください。
ワイヤー矯正の注意事項(リスク・副作用など)
- 治療中は違和感や痛みが起こることがあります
- 症状により、抜歯が必要な場合があります
- 治療中は歯磨きがしにくくなるため、虫歯や歯周病になりやすくなります
- 矯正治療後の保定が不十分だと後戻り(元の位置に戻ろうとする動き)をします
- 自費診療(保険適用外)となります
当サイトの内容、テキスト、画像等の無断転載、複製、複写、盗用を固く禁じます。



















