症例詳細
Case detail
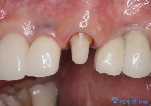
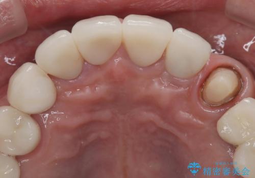
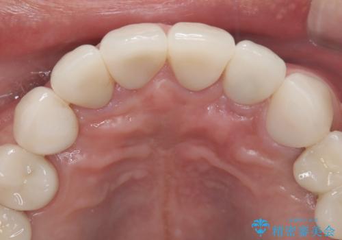
【オールセラミッククラウン・ファイバーコア】被せ物が揺れている
治療症例の内容
- 診療科目
- 治療カテゴリ
- 担当医
- 河野豊嘉(ドクタープロフィール)
- 患者様
- 60代男性
- 治療期間
- 1ヶ月
- 治療回数
- 2-5回
- 治療計画
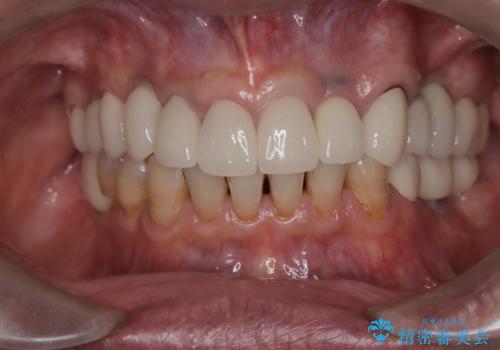
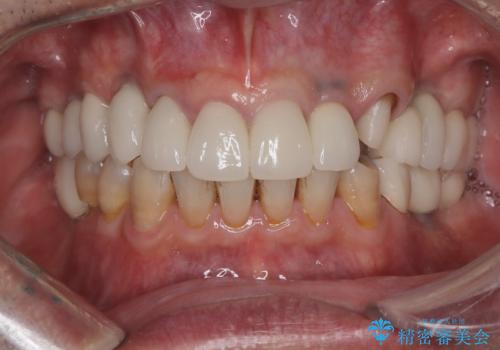
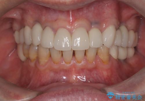
- 「被せ物が揺れている」を主訴に来院された患者様です。診査診断を行い被せ物が外れているのではなく、コアという土台ごと外れていたので、土台ごとやり変えた後オールセラミッククラウンで治療を行いました。
- 費用(概算)
- 176,000円(オールセラミッククラウンスペシャル143,000円+ファイバーコア22,000円+仮歯11,000円)※当時の価格です費用は治療当時の料金となります
治療について
ファイバーコアという土台を建てるときに唾液が入ると接着に良くないのでラバーダムシートを使用しています。加えてマイクロスコープを使用しながら行う事で外れにくい土台を作ることが出来ます。その後、形成を行いシリコンで型取りしたのち、オールセラミッククラウンで修復しました。
セラミック治療の注意事項(リスク・副作用など)
- 天然歯を削ります
- 硬い素材は天然歯を傷つけてしまう場合があります
- かみ合わせや歯ぎしりが強すぎる方はセラミックが割れてしまう可能性があります
- 自費診療(保険適用外治療)となります
当サイトの内容、テキスト、画像等の無断転載、複製、複写、盗用を固く禁じます。










