症例詳細
Case detail
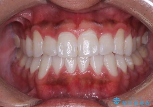
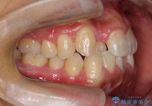
マウスピース矯正で素敵な笑顔に変身!前歯のガタツキを治しました
治療症例の内容
- 診療科目
- 担当医
- 患者様
- 20代男性
- 矯正装置
- インビザライン
- 治療期間
- 1年4ヶ月
- 治療回数
- 10-30回
- 治療計画
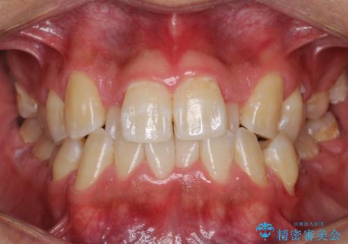
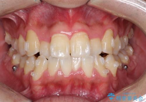
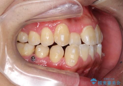
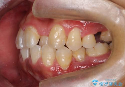
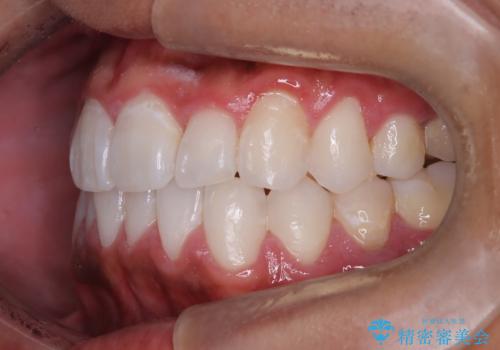
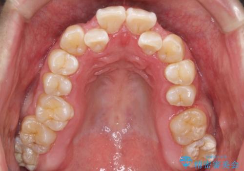
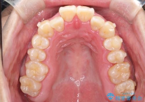
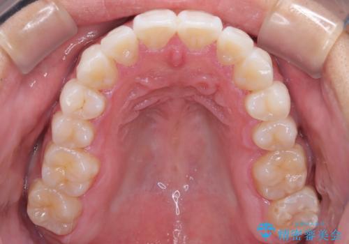
- 上下の前歯のガタガタが気になるとのことで来院されました。
インビザライン治療でガタツキを改善することにしました。
- 費用(概算)
- 75万円費用は治療当時の料金となります
治療について
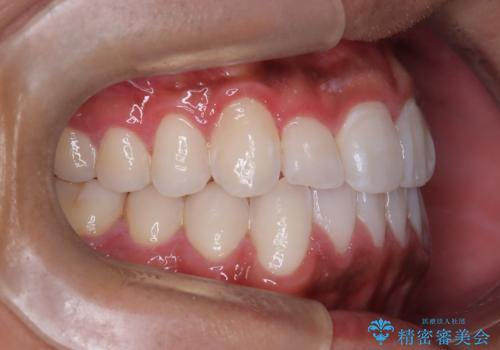
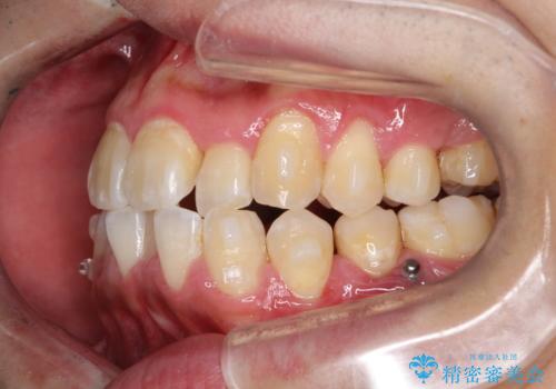
前歯のガタツキを改善する治療法として、マウスピース矯正が適していることが多いです。
マウスピース矯正は、金属製のブラケットやワイヤーを使用せずに、透明なマウスピースを装着して歯を移動させる方法です。そのため、目立たず、痛みも少ないです。
マウスピース矯正で前歯のガタツキを治したい方は、ぜひ当院にご相談ください。
マウスピース矯正の注意事項(リスク・副作用など)
- 口腔内・歯並びの状態によっては対応できない場合があります
- マウスピース型矯正装置の長時間装着(1日20時間以上)が必須です
- 治療計画通りに進めるためには、患者様の意志が重要になります
- 矯正治療後の保定が不十分だと後戻り(元の位置に戻ろうとする動き)をします
- 薬機法対象外の矯正歯科装置のため医薬品副作用被害救済制度の対象外となる場合があります
- 自費診療(保険適用外)となります
当サイトの内容、テキスト、画像等の無断転載、複製、複写、盗用を固く禁じます。

















