症例詳細
Case detail
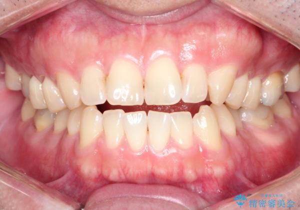
マウスピース矯正で自然な笑顔を実現! 前歯の咬み合わせを治しました。
治療症例の内容
- 診療科目
- 担当医
- 患者様
- 20代男性
- 矯正装置
- インビザライン
- 治療期間
- 1年5ヶ月
- 治療回数
- 10-30回
- 治療計画
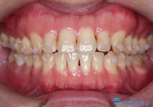
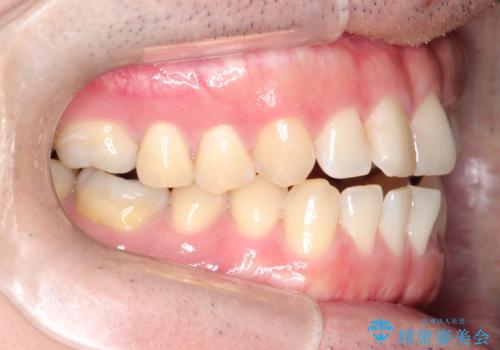
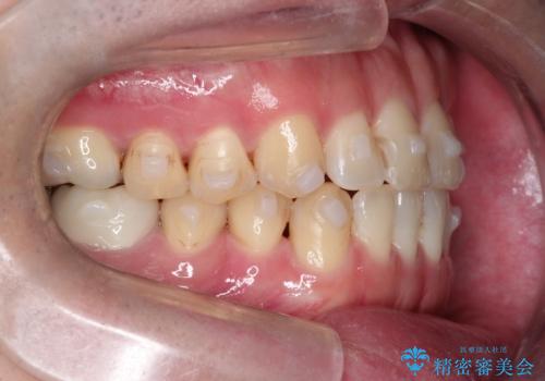
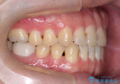
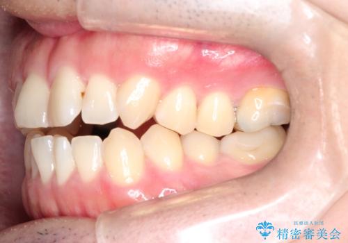
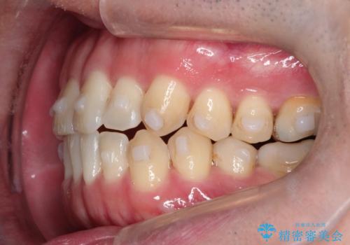
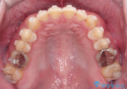
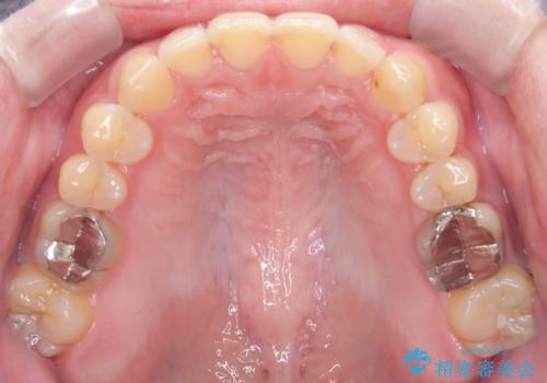
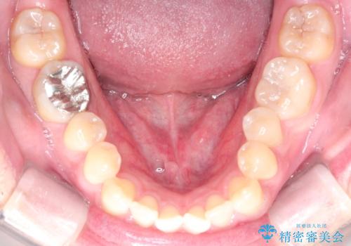
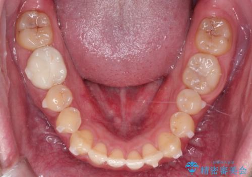
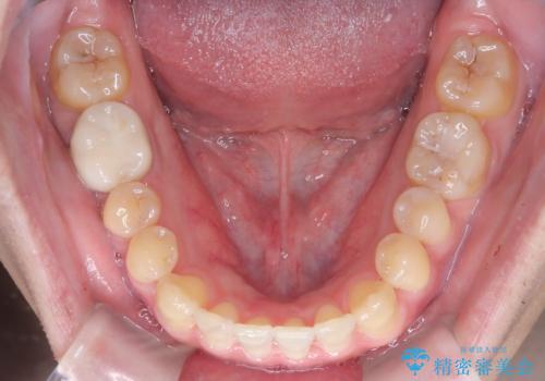
- 前歯の咬み合わせが気になるとのことで来院されました。
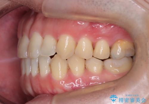
前歯が噛んでいない状態(開咬)のため、インビザライン矯正で改善することとしました。
- 費用(概算)
- 88万円費用は治療当時の料金となります
治療について
前歯が嚙んでない場合(開咬)、顎間ゴムというゴムを使用してもらうことがあります。顎間ゴムは、前歯を噛み合わせるための力を与える補助的な役割があります。
マウスピース矯正は、患者様のご協力が重要です。マウスピースをきちんと装着し、歯科医院での定期検診が必要になります。
マウスピース矯正で前歯の開咬を治したい方は、ぜひ当院にご相談ください。
マウスピース矯正の注意事項(リスク・副作用など)
- 口腔内・歯並びの状態によっては対応できない場合があります
- マウスピース型矯正装置の長時間装着(1日20時間以上)が必須です
- 治療計画通りに進めるためには、患者様の意志が重要になります
- 矯正治療後の保定が不十分だと後戻り(元の位置に戻ろうとする動き)をします
- 薬機法対象外の矯正歯科装置のため医薬品副作用被害救済制度の対象外となる場合があります
- 自費診療(保険適用外)となります
当サイトの内容、テキスト、画像等の無断転載、複製、複写、盗用を固く禁じます。















