症例詳細
Case detail
笑顔が魅力的に変わる! インビザライン矯正で前歯のすきっぱを改善しました
治療症例の内容
- 診療科目
- 治療カテゴリ
- 担当医
- 患者様
- 20代男性
- 矯正装置
- インビザライン
- 治療期間
- 1年2ヶ月
- 治療回数
- 10-30回
- 治療計画
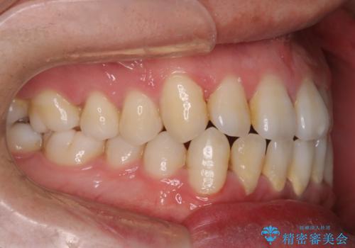
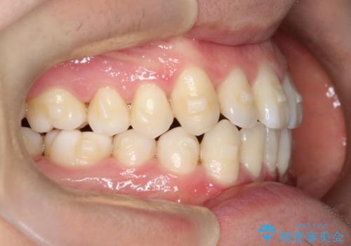
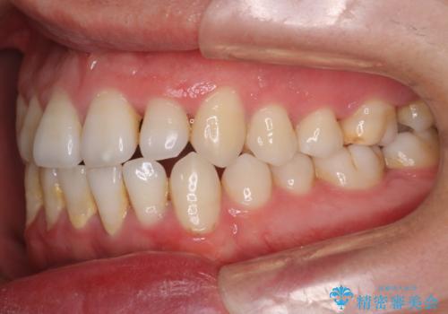
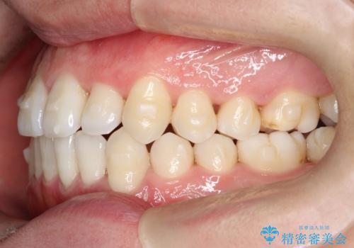
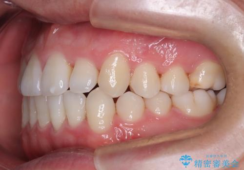
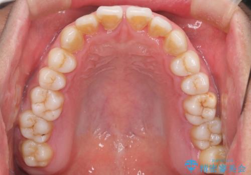
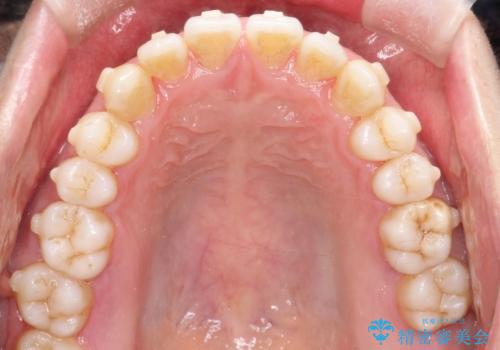
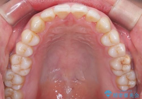
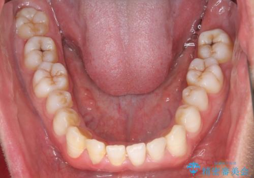
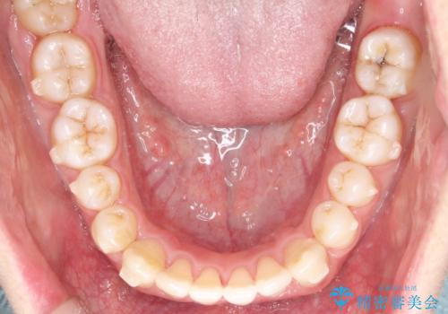
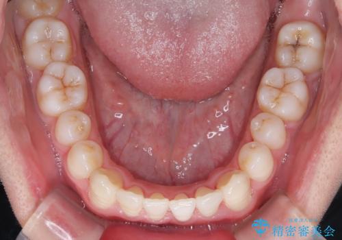
- 前歯のすきっ歯が気になると来院された患者様です。
前歯の隙間をマウスピース矯正(インビザライン)を使用して、閉じていきました。
- 費用(概算)
- 72万円費用は治療当時の料金となります
治療について
すきっ歯に悩んでいる方は、マウスピース矯正でも治すことができます。マウスピース矯正は、透明で目立ちにくく、取り外しもできるので、仕事や学校でも気にせずに矯正することができます。
当院では、マウスピース矯正治療の経験豊富な歯科医師が、患者様の歯並びや噛み合わせに合わせて、最適な矯正治療計画を立案いたします。
すきっ歯に悩んでいる方は、ぜひ当院にご相談ください。
マウスピース矯正の注意事項(リスク・副作用など)
- 口腔内・歯並びの状態によっては対応できない場合があります
- マウスピース型矯正装置の長時間装着(1日20時間以上)が必須です
- 治療計画通りに進めるためには、患者様の意志が重要になります
- 矯正治療後の保定が不十分だと後戻り(元の位置に戻ろうとする動き)をします
- 薬機法対象外の矯正歯科装置のため医薬品副作用被害救済制度の対象外となる場合があります
- 自費診療(保険適用外)となります
当サイトの内容、テキスト、画像等の無断転載、複製、複写、盗用を固く禁じます。















