症例詳細
Case detail
飛び出した上顎前歯 インビザラインで引っ込める
治療症例の内容
- 診療科目
- 担当医
- 藤巻太一朗(ドクタープロフィール)
- 患者様
- 20代女性
- 矯正装置
- インビザライン
- 治療期間
- 2年
- 治療回数
- 10-30回
- 治療計画
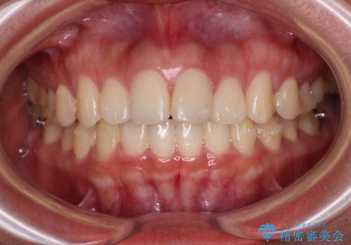
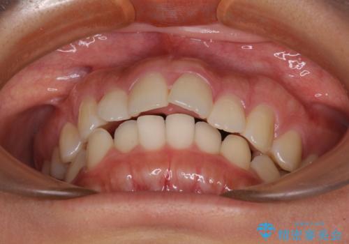
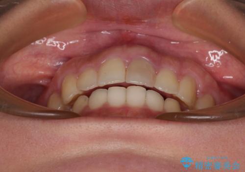
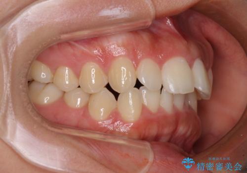
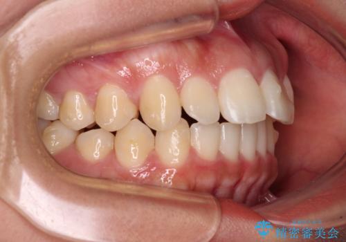
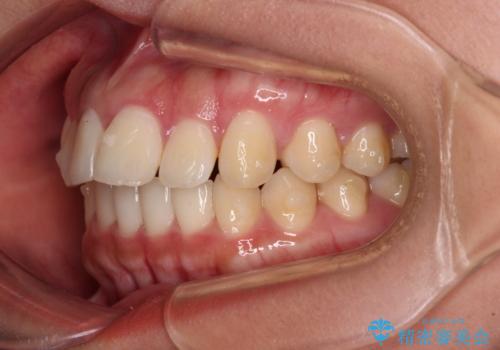
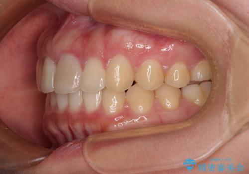
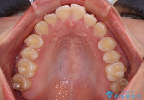
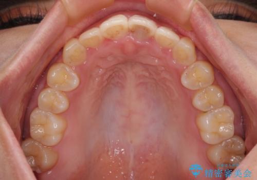
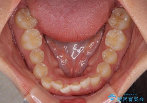
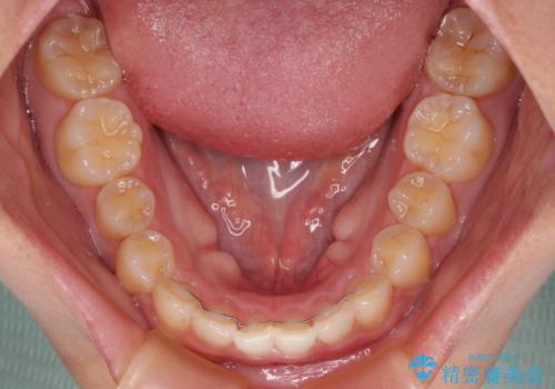
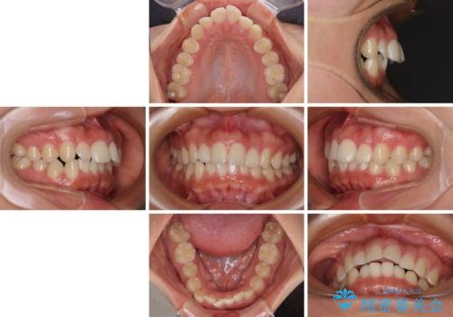
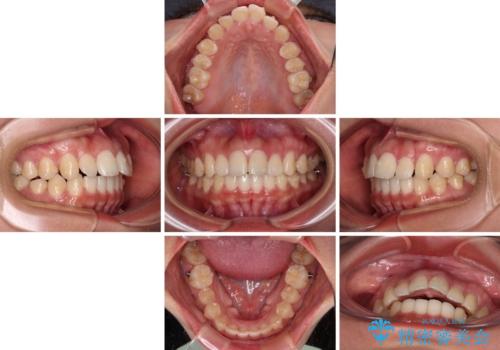
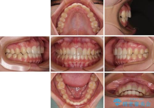
- 前歯の突出感を気にして来院された患者様です。
奥歯の咬み合わせは理想的な咬合に近く、インビザラインでも十分に対応できる歯列でした。
舌の突出癖を改善するためのトレーニングを行いつつ、上下歯列全体を後方に移動させ、更にはIPR(歯と歯の間を削る)によりスペースを獲得することで、口元の突出感を改善することとしました。
- 費用(概算)
- 治療費の目安: 90万円(税込)費用は治療当時の料金となります
治療について
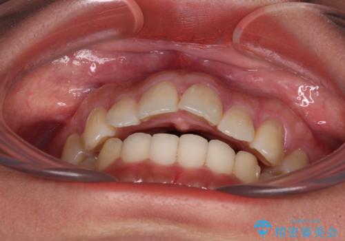
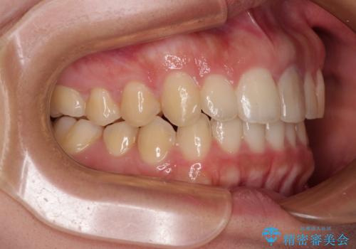
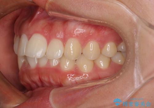
治療途中に上顎前歯が歯髄壊死を起こし、変色してしまいました。
痛みを感じたらすぐに連絡いただくよう伝えていましたが、忘れてしまっており、痛みと変色が発現したことで、すぐに連絡することを思い出されたとのことでした。
今後は、根管治療を行った後に、オールセラミッククラウンにて補綴治療を行う予定です。
マウスピース矯正の注意事項(リスク・副作用など)
- 口腔内・歯並びの状態によっては対応できない場合があります
- マウスピース型矯正装置の長時間装着(1日20時間以上)が必須です
- 治療計画通りに進めるためには、患者様の意志が重要になります
- 矯正治療後の保定が不十分だと後戻り(元の位置に戻ろうとする動き)をします
- 薬機法対象外の矯正歯科装置のため医薬品副作用被害救済制度の対象外となる場合があります
- 自費診療(保険適用外)となります
当サイトの内容、テキスト、画像等の無断転載、複製、複写、盗用を固く禁じます。



























