症例詳細
Case detail
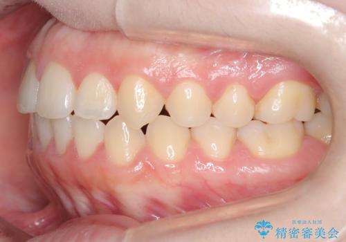
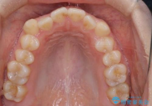
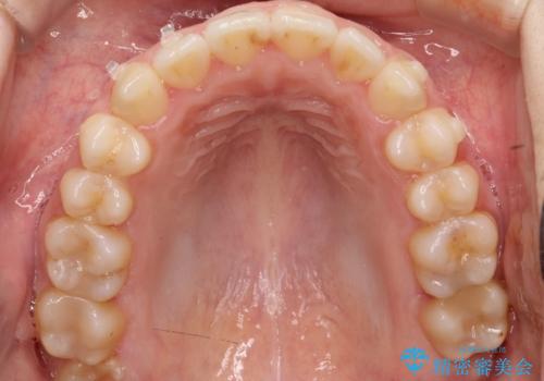
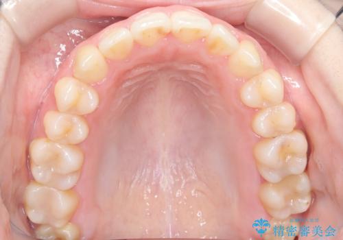
前歯のガタツキ、前歯の噛み合わせ(開咬)をインビザライン治療で治しました
治療症例の内容
- 担当医
- 患者様
- 20代女性
- 矯正装置
- インビザライン
- 治療期間
- 1年10ヶ月
- 治療回数
- 10-30回
- 治療計画
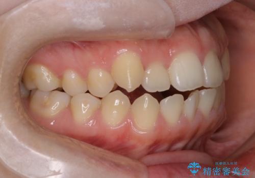
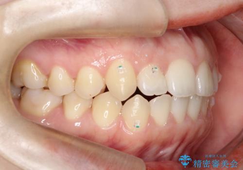
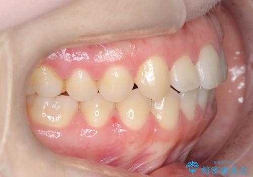
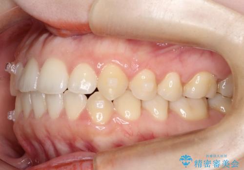
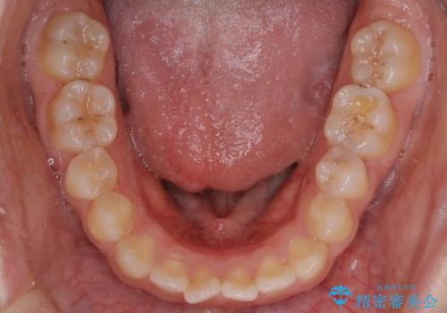
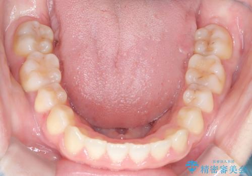
- 前歯のがたつき、噛み合わせが気になるとのことで来院された患者様です。
インビザラインを使用して治療しました。
前歯がしっかり噛んでない状態(開咬)を治すために、前歯にゴムをかける必要があります。ゴムかけは患者様にご協力していただきます。
- 費用(概算)
- 83万円費用は治療当時の料金となります
治療について
前歯のガタツキを改善したい方は、マウスピース矯正が適している場合があります。マウスピース矯正は、透明なマウスピースを装着して歯を移動させる方法です。そのため、目立たず、痛みも少ないです。
前歯が嚙んでない場合(開咬)、顎間ゴムというゴムを使用してもらうことがあります。顎間ゴムは、前歯を噛み合わせるための力を与える補助的な役割があります。
マウスピース矯正は、患者様のご協力が必要です。マウスピースをきちんと装着し、歯科医院での定期検診を欠かせません。
マウスピース矯正で前歯のガタツキを治したい方は、ぜひ当院にご相談ください。
マウスピース矯正の注意事項(リスク・副作用など)
- 口腔内・歯並びの状態によっては対応できない場合があります
- マウスピース型矯正装置の長時間装着(1日20時間以上)が必須です
- 治療計画通りに進めるためには、患者様の意志が重要になります
- 矯正治療後の保定が不十分だと後戻り(元の位置に戻ろうとする動き)をします
- 薬機法対象外の矯正歯科装置のため医薬品副作用被害救済制度の対象外となる場合があります
- 自費診療(保険適用外)となります
当サイトの内容、テキスト、画像等の無断転載、複製、複写、盗用を固く禁じます。















