症例詳細
Case detail
前歯をキレイにしたい ジルコニアクラウンでの治療
治療症例の内容
- 診療科目
- 治療カテゴリ
- 担当医
- 岡田康成(ドクタープロフィール)
- 患者様
- 30代男性
- 治療期間
- 3ヶ月
- 治療回数
- 2-5回
- 治療計画
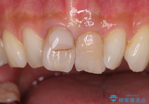
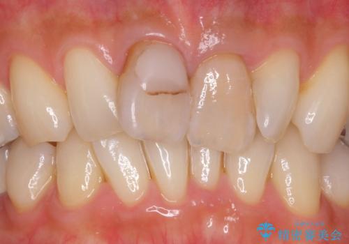
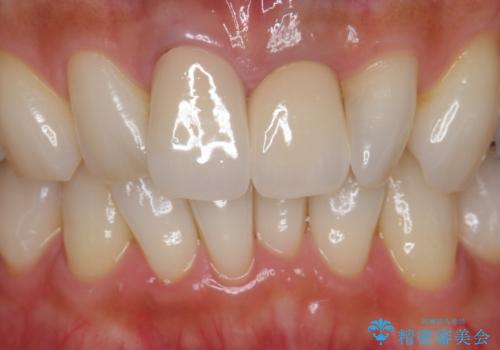
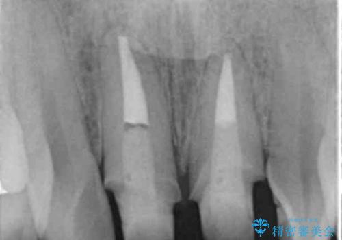
- 前歯の変色とガタつきがきになるとのことで来院されました。
矯正治療の希望はなかったため、セラミッククラウンで被せて治療していくことになりました。
- 費用(概算)
- 右上1+左上1/根管治療(保険),仮歯+ジルコニアクラウン(スペシャル):11,000円×2+130,000円×2 計282,000円(税別)費用は治療当時の料金となります
治療について
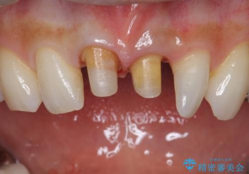
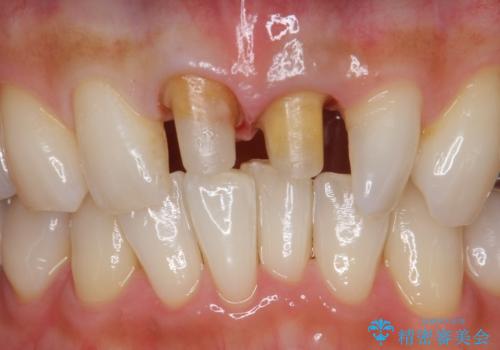
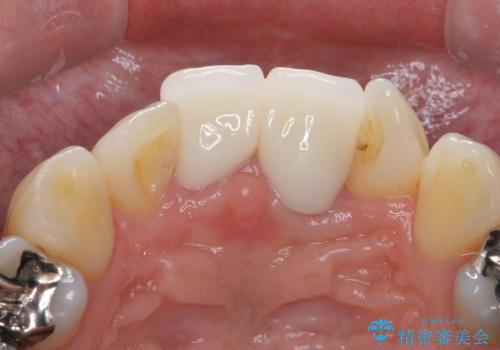
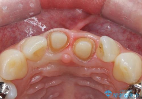
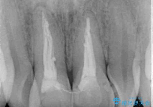
元々根管治療がされていたにも関わらず被せ物が作られておらず、このままではどんどん変色が進んでいってしまう状態でした。
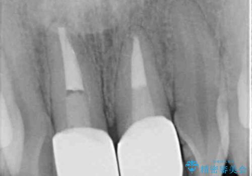
歯をある程度削ることにはなりますが、被せ物にすることで歯の変色を隠し短期間でキレイな口元に仕上げることができました。
前歯の色・形・ガタつきともに改善することができ、大変喜んでいただけました。
セラミック治療の注意事項(リスク・副作用など)
- 天然歯を削ります
- 硬い素材は天然歯を傷つけてしまう場合があります
- かみ合わせや歯ぎしりが強すぎる方はセラミックが割れてしまう可能性があります
- 自費診療(保険適用外治療)となります
当サイトの内容、テキスト、画像等の無断転載、複製、複写、盗用を固く禁じます。













