症例詳細
Case detail
出っ歯を部分矯正で目立たなくする セラミック治療も
治療症例の内容
- 診療科目
- 治療カテゴリ
- 担当医
- 井上季実子(ドクタープロフィール)
- 患者様
- 30代男性
- 治療期間
- 1年
- 治療回数
- 10-30回
- 治療計画
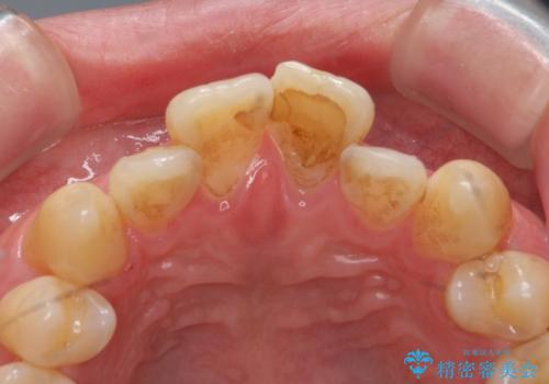
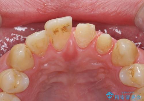
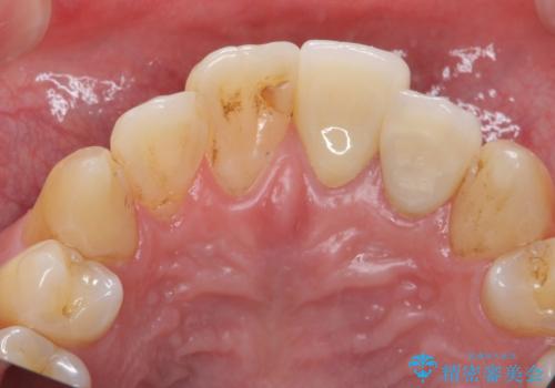
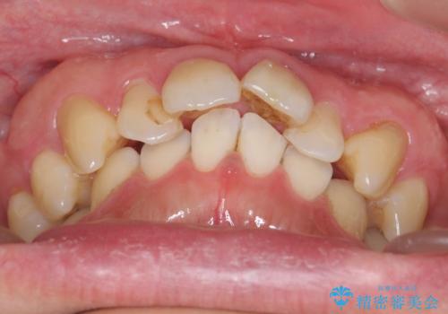
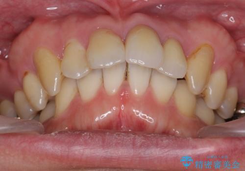
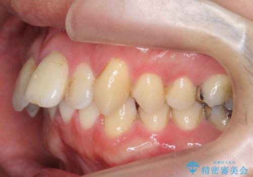
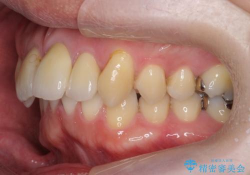
- 前歯の突出を主訴に来院。
全体矯正を行うとなると健康な歯を4本抜歯することになるため、歯は抜かず上だけの部分矯正で最小限で前歯を整えることにしました。
前歯は少し細く削って前に出ないように整えました。
左上の1番目の前歯は神経を取ってある歯でした。今後変色もすすんでいくため、治療のやり直しを行いセラミックでかぶせました。
- 費用(概算)
- 部分矯正25万円 左上12(ジルコニアクラウンスペシャル13万円x2、ファイバーコア2万円x2、精密根管治療(左上1:再治療9万円、左上2:初回治療6万円)費用は治療当時の料金となります
治療について
左上の2番目の前歯は虫歯治療を行い、神経治療まで行っています。
セラミック治療の注意事項(リスク・副作用など)
- 天然歯を削ります
- 硬い素材は天然歯を傷つけてしまう場合があります
- かみ合わせや歯ぎしりが強すぎる方はセラミックが割れてしまう可能性があります
- 自費診療(保険適用外治療)となります
ワイヤー矯正の注意事項(リスク・副作用など)
- 治療中は違和感や痛みが起こることがあります
- 症状により、抜歯が必要な場合があります
- 治療中は歯磨きがしにくくなるため、虫歯や歯周病になりやすくなります
- 矯正治療後の保定が不十分だと後戻り(元の位置に戻ろうとする動き)をします
- 自費診療(保険適用外)となります
当サイトの内容、テキスト、画像等の無断転載、複製、複写、盗用を固く禁じます。










