症例詳細
Case detail
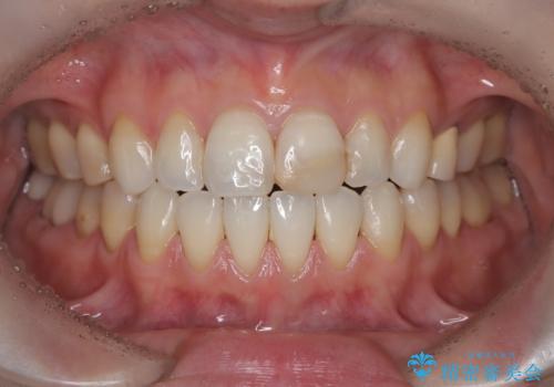
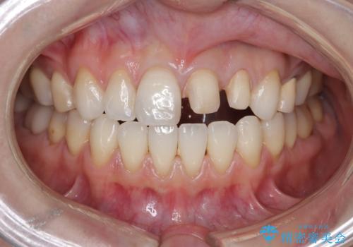
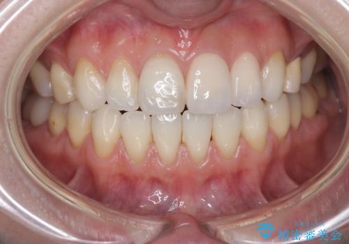
【オールセラミッククラウン】前歯の色が気になる! 左右で歯の長さが違う
治療症例の内容
- 診療科目
- 治療カテゴリ
- 担当医
- 河野豊嘉(ドクタープロフィール)
- 患者様
- 30代女性
- 治療期間
- 2ヶ月
- 治療回数
- 2-5回
- 治療計画
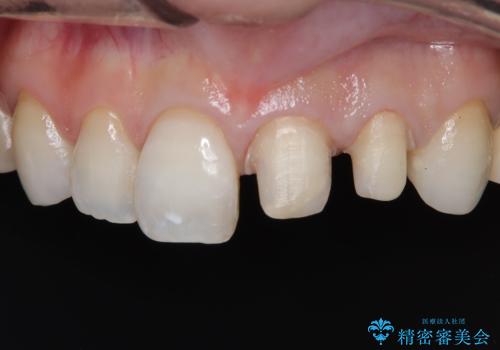
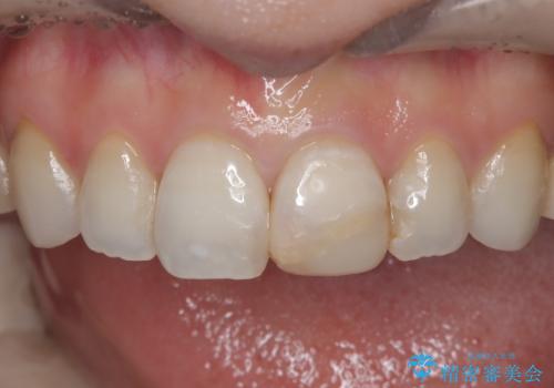
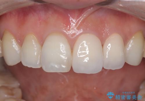
- 「前歯の色が気になる」を主訴に来院された患者さんです。以前他院にて、前歯2本をCR(プラスチック)で治療されていたところが劣化し変色していました。歯の長さも左右で異なっている状態でした。大部分がCR(プラスチック)修復されていたので、オールセラミッククラウンで治療を行いました。
- 費用(概算)
- 30万8千円(オールセラミッククラウンスペシャル14万3千円×2本 仮歯1万1千円×2本) ※改定前の価格費用は治療当時の料金となります
治療について
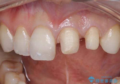
古いCR(プラスチック)とその下の虫歯を除去した後に新しい土台を立てています。適合が良い被せ物を作るために拡大鏡を使用しながら歯を削り、変形のほとんどないシリコンという材料で型取りを行っています。
セラミック治療の注意事項(リスク・副作用など)
- 天然歯を削ります
- 硬い素材は天然歯を傷つけてしまう場合があります
- かみ合わせや歯ぎしりが強すぎる方はセラミックが割れてしまう可能性があります
- 自費診療(保険適用外治療)となります
当サイトの内容、テキスト、画像等の無断転載、複製、複写、盗用を固く禁じます。














