症例詳細
Case detail
【モニター】飛び出した上の前歯 ワイヤー装置を併用してインビザラインできれいに
治療症例の内容
- 診療科目
- 治療カテゴリ
- 担当医
- 藤巻太一朗(ドクタープロフィール)
- 患者様
- 20代男性
- 矯正装置
- インビザライン
- 治療期間
- 1年9ヶ月
- 治療回数
- 10-30回
- 治療計画
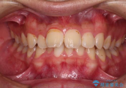
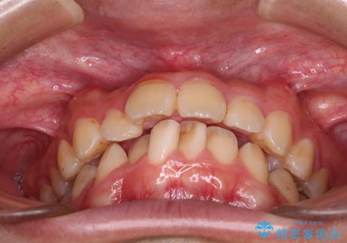
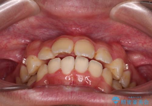
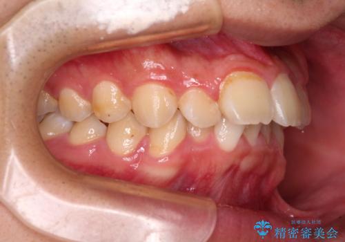
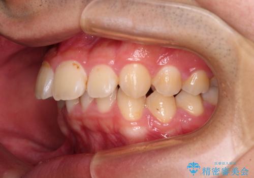
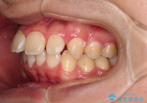
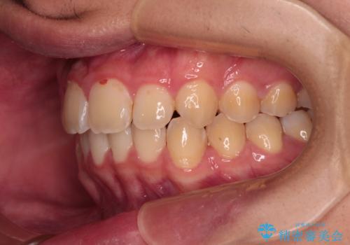
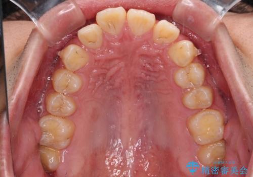
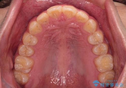
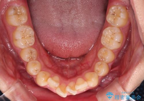
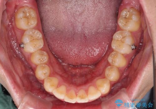
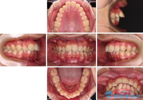
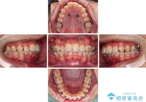
- 深く咬みこんだ前歯と、それに伴い前方に突出した上顎前歯を気にして来院された患者様です。
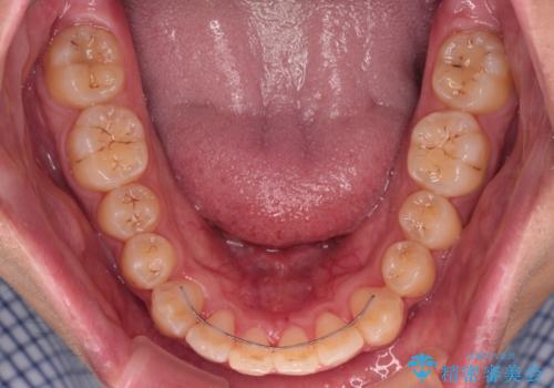
下顎の歯列は、奥歯が前方に傾斜し、前歯が上顎の歯の付け根に食い込むように内側に傾斜していました。
また、左右の犬歯の位置関係は上顎歯列が前方に位置する咬み合わせとなっており、インビザライン単体で治療するよりは、ワイヤー装置や補助装置を併用した方がより良い仕上がりになることが期待されました。
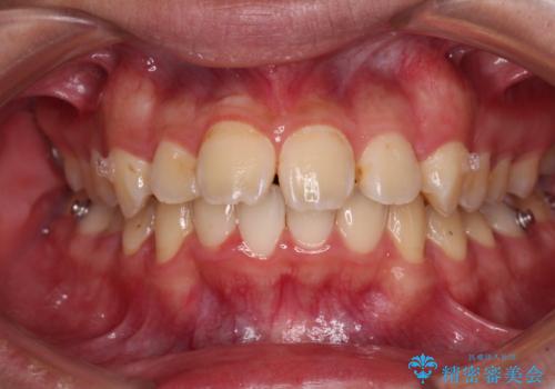
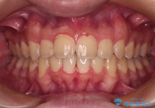
来院時は学生であったので、補助装置により上顎臼歯を後方に移動させ、下顎歯列はワイヤー装置による傾斜を改善させ、就職のタイミングでインビザラインにて仕上げていくこととしました。
- 費用(概算)
- 治療費の目安: 90万円(税込)費用は治療当時の料金となります
※顔写真掲載にあたり、患者様の了解を得ております
治療について
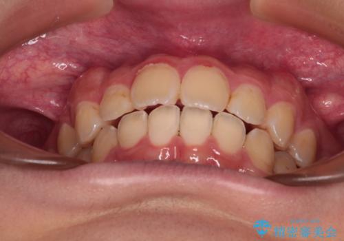
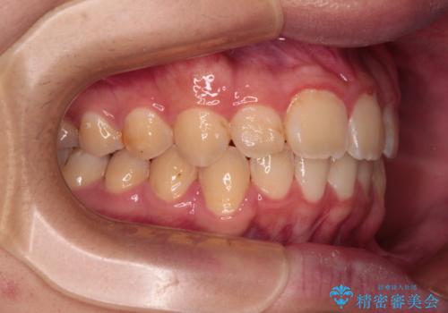
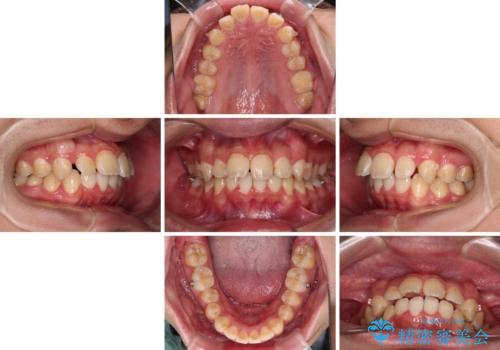
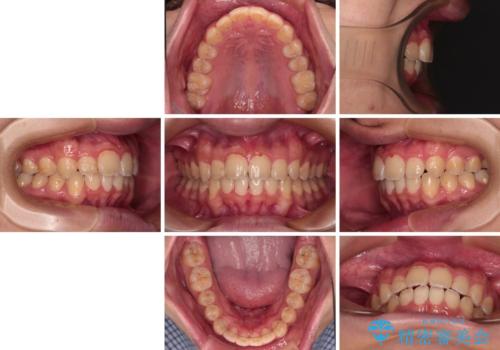
インビザラインで難儀する部分をワイヤー装置にて確実に改善しておくことで、インビザラインのみで行うよりも治療期間を短縮するとともに、より理想的な歯列に近づけて仕上げることができました。
マウスピース矯正の注意事項(リスク・副作用など)
- 口腔内・歯並びの状態によっては対応できない場合があります
- マウスピース型矯正装置の長時間装着(1日20時間以上)が必須です
- 治療計画通りに進めるためには、患者様の意志が重要になります
- 矯正治療後の保定が不十分だと後戻り(元の位置に戻ろうとする動き)をします
- 薬機法対象外の矯正歯科装置のため医薬品副作用被害救済制度の対象外となる場合があります
- 自費診療(保険適用外)となります
当サイトの内容、テキスト、画像等の無断転載、複製、複写、盗用を固く禁じます。




























