症例詳細
Case detail
目立たないハーフリンガル矯正 抜歯矯正で口元の突出感を改善
治療症例の内容
- 診療科目
- 担当医
- 藤巻太一朗(ドクタープロフィール)
- 患者様
- 20代女性
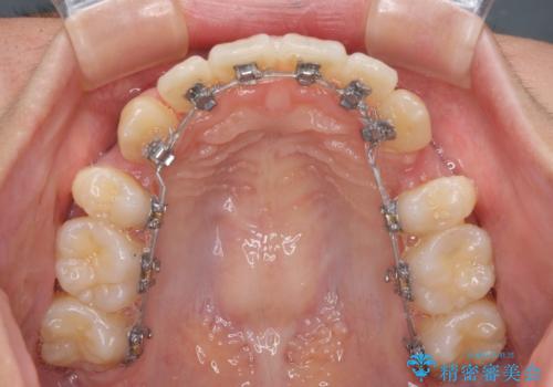
- 矯正装置
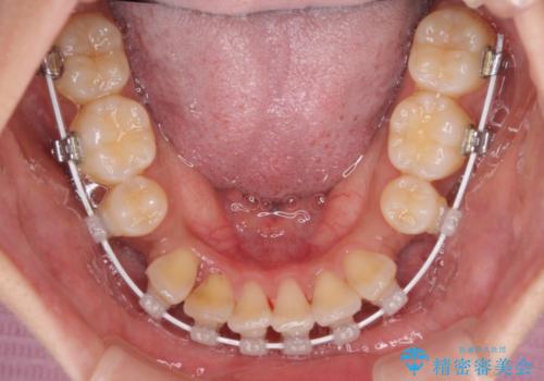
- ハーフリンガル
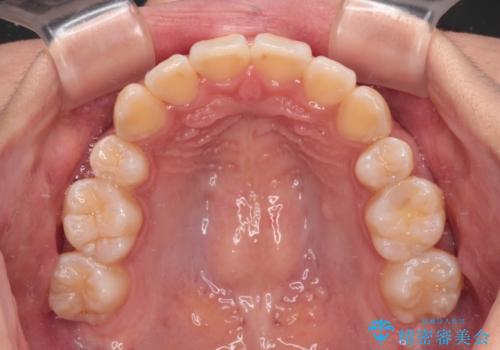
- 治療期間
- 2年6ヶ月
- 治療回数
- 10-30回
- 治療計画
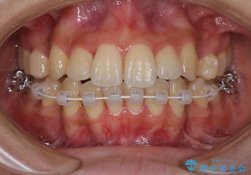
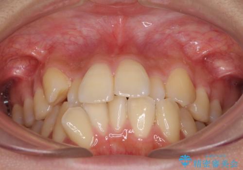
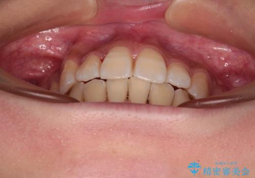
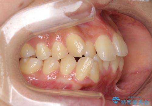
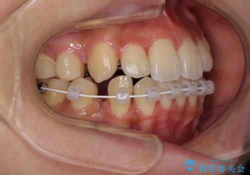
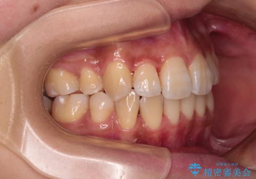
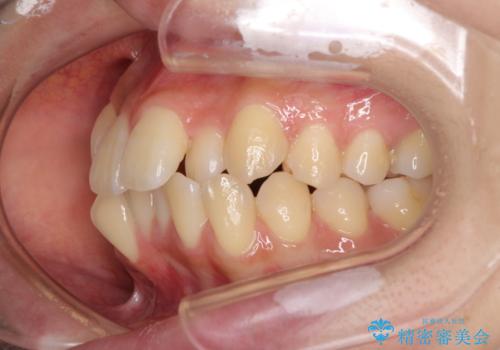
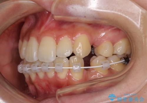
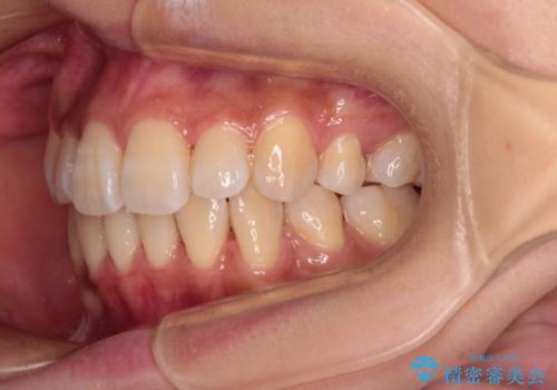
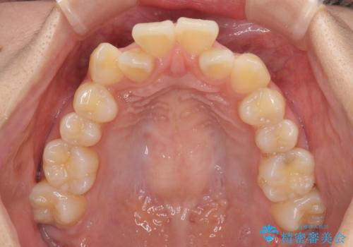
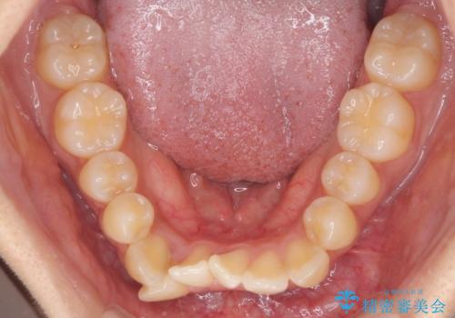
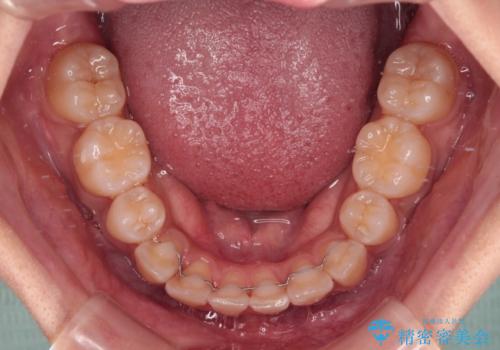
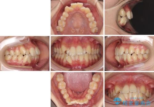
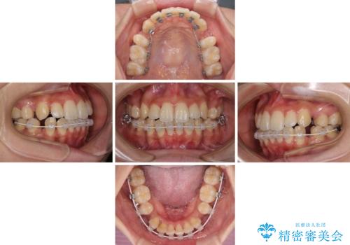
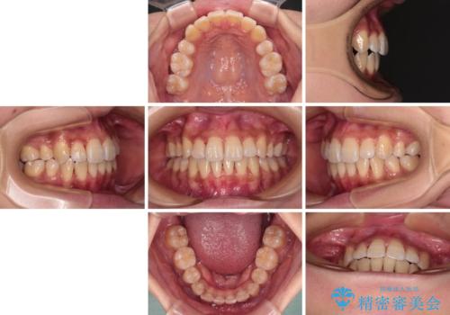
- 前歯のデコボコやクロスバイトと上顎の前突感による口の閉じにくさを気にして来院された患者様です。
目立たない装置を希望されたので、上顎が裏側装置のハーフリンガルを選択し、上下左右の小臼歯(計4歯)を抜歯して矯正治療を行うこととしました。
- 費用(概算)
- 治療費の目安: 120万円(税込)費用は治療当時の料金となります
治療について
表側のワイヤー矯正に比べると治療期間は長く、費用も高額となりますが、どうしても目立たせたくないという方にはお勧めの抜歯矯正です。
マウスピース矯正の注意事項(リスク・副作用など)
- 口腔内・歯並びの状態によっては対応できない場合があります
- マウスピース型矯正装置の長時間装着(1日20時間以上)が必須です
- 治療計画通りに進めるためには、患者様の意志が重要になります
- 矯正治療後の保定が不十分だと後戻り(元の位置に戻ろうとする動き)をします
- 薬機法対象外の矯正歯科装置のため医薬品副作用被害救済制度の対象外となる場合があります
- 自費診療(保険適用外)となります
当サイトの内容、テキスト、画像等の無断転載、複製、複写、盗用を固く禁じます。


























