症例詳細
Case detail
奥歯に物が挟まる セラミックインレーによる虫歯治療
治療症例の内容
- 診療科目
- 治療カテゴリ
- 担当医
- 藤巻太一朗(ドクタープロフィール)
- 患者様
- 30代女性
- 治療期間
- 1ヶ月
- 治療回数
- 2-5回
- 治療計画
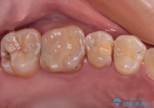
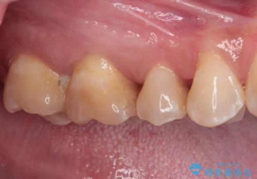
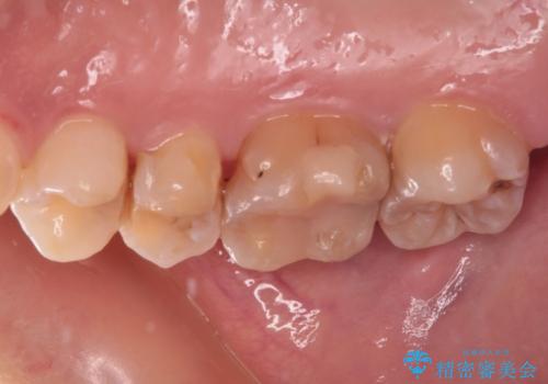
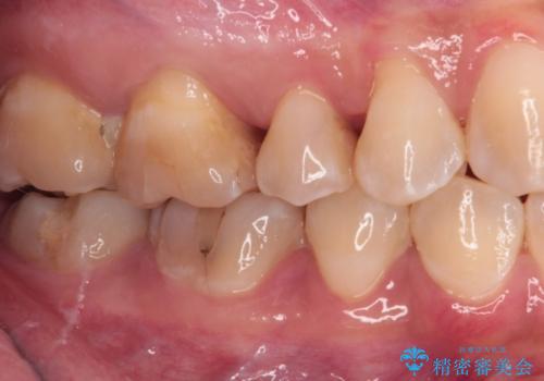
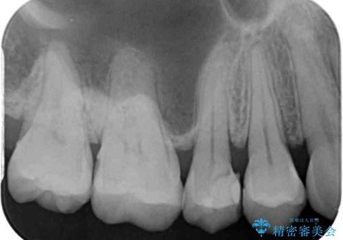
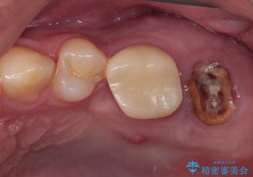
- 以前詰め物をした奥歯に物が頻繁に挟まるとのことで来院された患者様です。
充填物は形態が不正であり、歯肉付近にバリのように充填材料が飛び出していたため、歯肉が腫れやすい状態でした。
精密に治療を行うため、型取りを行った上でセラミックインレーによる修復治療を行うこととしました。
- 費用(概算)
- 治療費の目安: 8万円(税込)費用は治療当時の料金となります
治療について
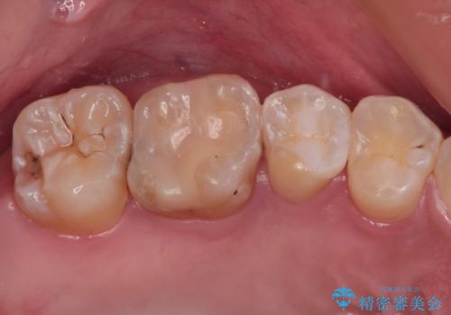
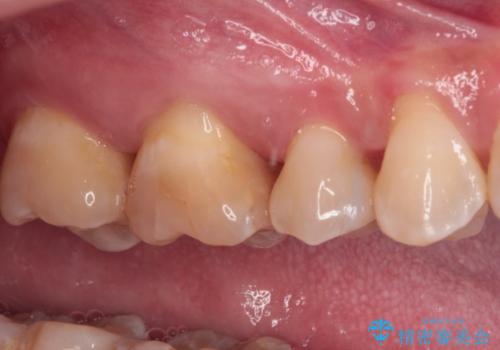
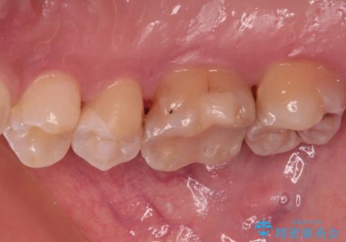
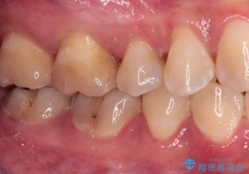
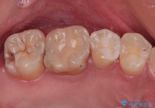
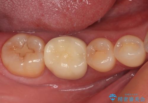
治療後は物が挟まることもなく、フロスが引っかかったり出血したりすることが減りました。
セラミック治療の注意事項(リスク・副作用など)
- 天然歯を削ります
- 硬い素材は天然歯を傷つけてしまう場合があります
- かみ合わせや歯ぎしりが強すぎる方はセラミックが割れてしまう可能性があります
- 自費診療(保険適用外治療)となります
当サイトの内容、テキスト、画像等の無断転載、複製、複写、盗用を固く禁じます。











