症例詳細
Case detail
【インプラント】銀歯が取れて歯ごと折れた
治療症例の内容
- 患者様
- 60代男性
- 治療期間
- 9ヶ月
- 治療回数
- 5-10回
- 治療計画
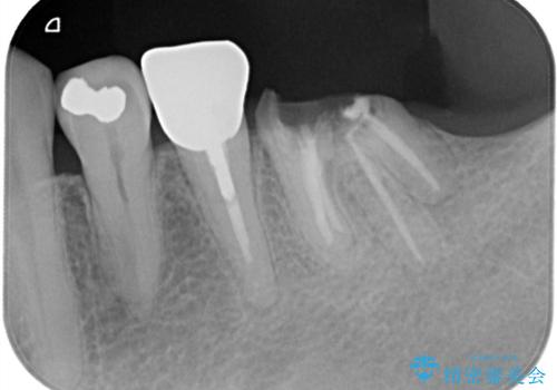
- 「奥歯の銀歯が取れた」を主訴に来院された患者さんです。
診査診断を行った結果、歯が折れた位置が深く、虫歯にもなっていたため抜歯後、インプラントで治療を行いました。
- 費用(概算)
- 44万円(インプラント体+カスタムアバットメント+オールセラミッククラウンの費用)費用は治療当時の料金となります
治療について
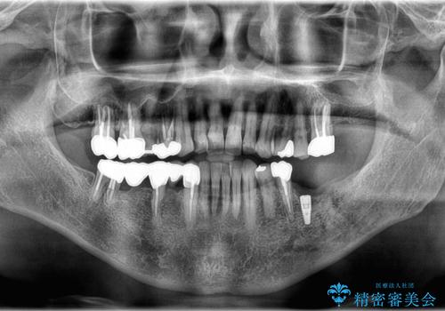
残根状態の歯を抜歯後、抜歯窩の治癒を待ちインプラントを埋入しています。
アバットメントの材質は咬合力を考慮しチタン合金にしました。
被せ物はオールセラミッククラウンを入れています。
患者さんから、インプラント埋入オペ後も痛みが殆どなく、咬めるようになったので治療をして良かったですと言って頂けました。
セラミック治療の注意事項(リスク・副作用など)
- 天然歯を削ります
- 硬い素材は天然歯を傷つけてしまう場合があります
- かみ合わせや歯ぎしりが強すぎる方はセラミックが割れてしまう可能性があります
- 自費診療(保険適用外治療)となります
インプラント治療の注意事項(リスク・副作用など)
- 外科手術のため、術後に痛みや腫れ、違和感を伴います
- メンテナンスを怠ったり喫煙により、お口の中に大きな悪影響を及ぼすインプラント周囲炎等にかかる可能性があります
- 糖尿病、肝硬変、心臓病等の場合、インプラント治療ができない可能性があります
- 高血圧、貧血・不整脈等の場合、インプラント治療後に治癒不全を招く可能性があります
- 自費診療(保険適用外治療)となります
当サイトの内容、テキスト、画像等の無断転載、複製、複写、盗用を固く禁じます。
















