症例詳細
Case detail
【ハイブリッドインレー】銀歯を白くしたい
治療症例の内容
- 診療科目
- 治療カテゴリ
- 担当医
- 河野豊嘉(ドクタープロフィール)
- 患者様
- 20代女性
- 治療期間
- 1ヶ月
- 治療回数
- 2-5回
- 治療計画
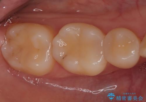
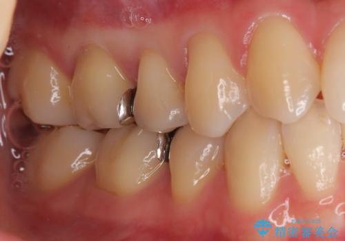
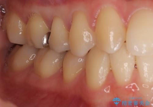
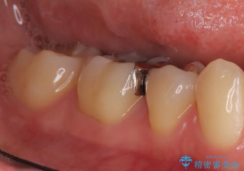
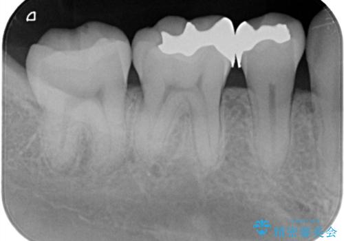
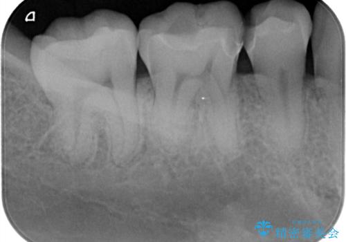
- 「銀歯を白しくしたい」を主訴に来院された患者さんです。
銀歯を外し、虫歯を除去した後にハイブリッドインレーで治療を行いました。
- 費用(概算)
- 11万円(ハイブリッドインレー5万5千円×2本)費用は治療当時の料金となります
治療について
ハイブリッドインレーはセラミックと合成樹脂が混ざったものです。従って経年劣化や色の変化はあるものの、保険適応の被せ物に比べ、セラミックの含有率が高く、型取りの材料もシリコン材料を使用出来るので適合も優れています。
セラミック治療の注意事項(リスク・副作用など)
- 天然歯を削ります
- 硬い素材は天然歯を傷つけてしまう場合があります
- かみ合わせや歯ぎしりが強すぎる方はセラミックが割れてしまう可能性があります
- 自費診療(保険適用外治療)となります
当サイトの内容、テキスト、画像等の無断転載、複製、複写、盗用を固く禁じます。











