症例詳細
Case detail
驚くほど短期間で前歯のガタツキを解消! マウスピース矯正の効果
治療症例の内容
- 担当医
- 患者様
- 20代女性
- 矯正装置
- インビザライン
- 治療期間
- 1年1ヶ月
- 治療回数
- 10-30回
- 治療計画
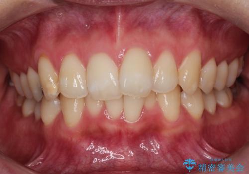
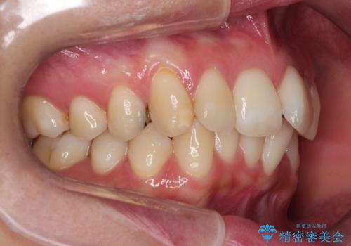
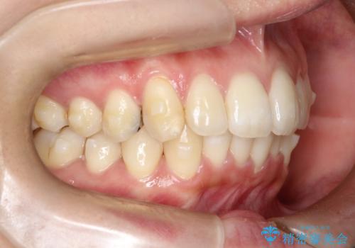
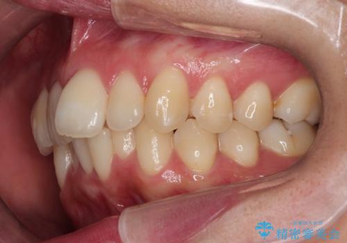
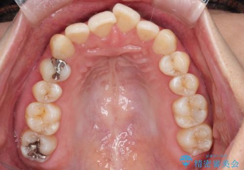
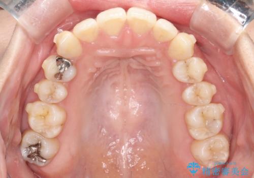
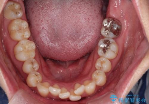
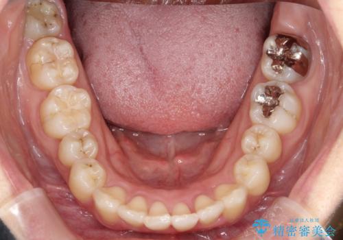
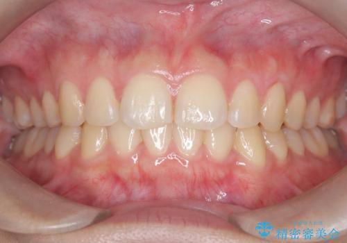
- 前歯のでこぼこが気になると来院されました。
マウスピース矯正治療を選択しました。
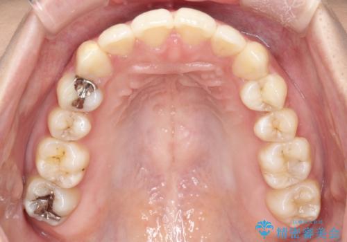
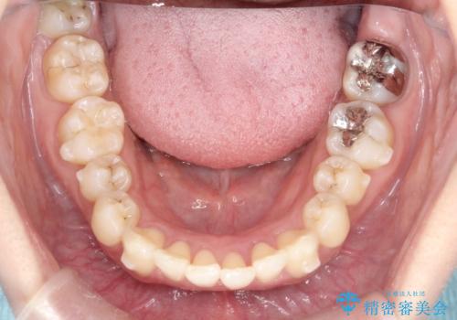
奥歯の噛み合わせは綺麗に噛んでいたため、前歯の叢生(でこぼこ)を、短期間で治療完了するように計画しました。
- 費用(概算)
- 88万円費用は治療当時の料金となります
治療について
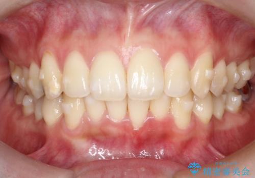
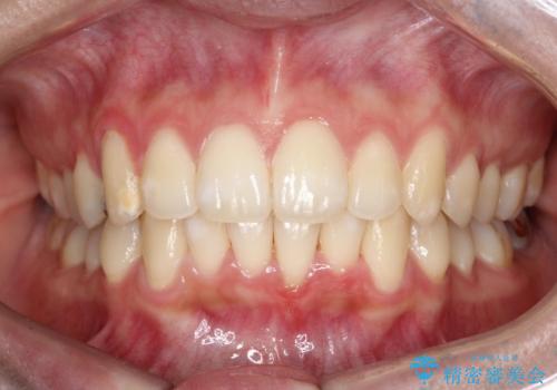
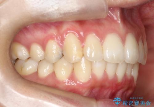
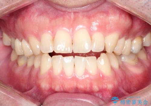
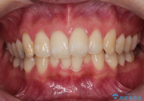
奥歯の噛み合わせは整っていたため、前歯の並びを美しく修正することに専念できました。マウスピース矯正による治療で短期間で改善しました。
前歯のガタツキを改善する治療法として、マウスピース矯正が適していることが多いです。
マウスピース矯正は、金属製のブラケットやワイヤーを使用せずに、透明なマウスピースを装着して歯を移動させる方法です。そのため、目立たず、痛みも少ないです。
マウスピース矯正で前歯のガタツキを治したい方は、ぜひ当院にご相談ください。
マウスピース矯正の注意事項(リスク・副作用など)
- 口腔内・歯並びの状態によっては対応できない場合があります
- マウスピース型矯正装置の長時間装着(1日20時間以上)が必須です
- 治療計画通りに進めるためには、患者様の意志が重要になります
- 矯正治療後の保定が不十分だと後戻り(元の位置に戻ろうとする動き)をします
- 薬機法対象外の矯正歯科装置のため医薬品副作用被害救済制度の対象外となる場合があります
- 自費診療(保険適用外)となります
当サイトの内容、テキスト、画像等の無断転載、複製、複写、盗用を固く禁じます。















